Cookie preferences
This website uses cookies, which are necessary for the technical operation of the website and are always set. Other cookies, which increase the comfort when using this website, are used for direct advertising or to facilitate interaction with other websites and social networks, are only set with your consent.
Configuration
Technically required
These cookies are necessary for the basic functions of the shop.
"Allow all cookies" cookie
"Decline all cookies" cookie
CSRF token
Cookie preferences
Currency change
Customer-specific caching
FACT-Finder tracking
Individual prices
Selected shop
Session
Comfort functions
These cookies are used to make the shopping experience even more appealing, for example for the recognition of the visitor.
Note
Show the facebook fanpage in the right blod sidebar
Statistics & Tracking
Affiliate program
Conversion and usertracking via Google Tag Manager
Track device being used
| Item number | Size | Datasheet | Manual | SDS | Delivery time | Quantity | Price |
|---|---|---|---|---|---|---|---|
| A700-129-T | 10 µl (5+ tests) | - |
2 - 8 business days* |
172.00€
|
|||
| A700-129 | 100 µl (50+ tests) | - |
2 - 8 business days* |
652.00€
521.60€ |
If you have any questions, please use our Contact Form.
You can also order by e-mail: info@biomol.com
Larger quantity required? Request bulk
You can also order by e-mail: info@biomol.com
Larger quantity required? Request bulk
Protein function: E3 ubiquitin-protein ligase which mediates ubiquitination and subsequent... more
Product information "Anti-Lasu1/Ureb1 Recombinant Monoclonal"
Protein function: E3 ubiquitin-protein ligase which mediates ubiquitination and subsequent proteasomal degradation of target proteins. Regulates apoptosis by catalyzing the polyubiquitination and degradation of MCL1. Mediates monoubiquitination of DNA polymerase beta (POLB) at 'Lys-41', 'Lys-61' and 'Lys-81', thereby playing a role in base-excision repair. Also ubiquitinates the p53/TP53 tumor suppressor and core histones including H1, H2A, H2B, H3 and H4. Binds to an upstream initiator-like sequence in the preprodynorphin gene. Regulates neural differentiation and proliferation by catalyzing the polyubiquitination and degradation of MYCN. May regulate abundance of CDC6 after DNA damage by polyubiquitinating and targeting CDC6 to degradation. Mediates polyubiquitination of isoform 2 of PA2G4. [The UniProt Consortium]
| Keywords: | Anti-Mule, Anti-LASU1, Anti-HUWE1, Anti-HectH9, Anti-URE-B1, Anti-ARF-BP1, Anti-HSPC272, Anti-KIAA0312, EC=2.3.2.26, Anti-ARF-binding protein 1, Anti-URE-binding protein 1, Anti-Large structure of UREB1, Anti-Mcl-1 ubiquitin ligase E3 |
| Supplier: | Bethyl Laboratories |
| Supplier-Nr: | A700-129 |
Properties
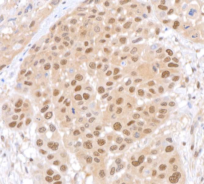
| Application: | WB, IP, IHC, ICC |
| Antibody Type: | Monoclonal |
| Clone: | BLR129H |
| Conjugate: | No |
| Host: | Rabbit |
| Species reactivity: | human, mouse |
| Format: | Antigen Affinity Purified |
Database Information
| KEGG ID : | K10592 | Matching products |
| UniProt ID : | Q7Z6Z7 | Matching products |
| Gene ID : | GeneID 10075 | Matching products |
Handling & Safety
| Storage: | +4°C |
| Shipping: | +4°C (International: +4°C) |
Caution
Our products are for laboratory research use only: Not for administration to humans!
Our products are for laboratory research use only: Not for administration to humans!
Information about the product reference will follow.
more
You will get a certificate here
Viewed