Anti-Topo II Beta

Item number Size Datasheet Manual SDS Delivery time Quantity Price
A300-950A-T 10 µl (2 µg) -

2 - 8 business days*

165.00€
A300-950A 100 µl -

2 - 8 business days*

586.00€
 
Protein function: Control of topological states of DNA by transient breakage and subsequent... more
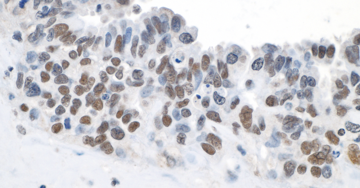
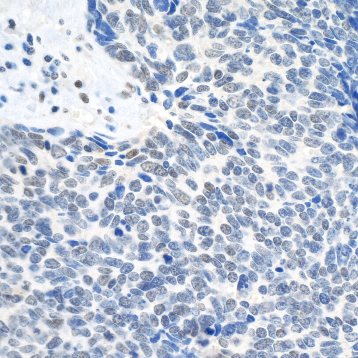
Product information "Anti-Topo II Beta"
Protein function: Control of topological states of DNA by transient breakage and subsequent rejoining of DNA strands. Topoisomerase II makes double-strand breaks. [The UniProt Consortium]
Keywords: Anti-TOP2B, EC=5.99.1.3, Anti-DNA topoisomerase 2-beta, Anti-DNA topoisomerase II, beta isozyme
Supplier: Bethyl Laboratories
Supplier-Nr: A300-950A

Properties

Application: WB, IP, IHC
Antibody Type: Polyclonal
Conjugate: No
Host: Rabbit
Species reactivity: human, mouse (Expected: white-tufted-ear marmoset, little brown bat)
Immunogen: synthetic peptide. The epitope recognized by A300-950A-T maps to a region between residue 1475 and 1525 of human DNA Topoisomerase II Beta using the numbering given in entry NP_001059.2 (GeneID 7155).
Format: Antigen Affinity Purified

Handling & Safety

Storage: +4°C
Shipping: +4°C (International: +4°C)
Caution
Our products are for laboratory research use only: Not for administration to humans!
You will get a certificate here
or to request a certificate of analysis.
Read, write and discuss reviews... more
Customer review for "Anti-Topo II Beta"
Write a review
or to review a product.
Viewed