Cookie preferences
This website uses cookies, which are necessary for the technical operation of the website and are always set. Other cookies, which increase the comfort when using this website, are used for direct advertising or to facilitate interaction with other websites and social networks, are only set with your consent.
Configuration
Technically required
These cookies are necessary for the basic functions of the shop.
"Allow all cookies" cookie
"Decline all cookies" cookie
CSRF token
Cookie preferences
Currency change
Customer-specific caching
FACT-Finder tracking
Individual prices
Selected shop
Session
Comfort functions
These cookies are used to make the shopping experience even more appealing, for example for the recognition of the visitor.
Note
Show the facebook fanpage in the right blod sidebar
Statistics & Tracking
Affiliate program
Conversion and usertracking via Google Tag Manager
Track device being used
| Item number | Size | Datasheet | Manual | SDS | Delivery time | Quantity | Price |
|---|---|---|---|---|---|---|---|
| A301-618A-T | 10 µl (2 µg) | - |
2 - 8 business days* |
165.00€
|
|||
| A301-618A | 100 µl | - |
2 - 8 business days* |
586.00€
|
If you have any questions, please use our Contact Form.
You can also order by e-mail: info@biomol.com
Larger quantity required? Request bulk
You can also order by e-mail: info@biomol.com
Larger quantity required? Request bulk
Protein function: DNA repair enzyme that can remove a variety of covalent adducts from DNA... more
Product information "Anti-TDP1"
Protein function: DNA repair enzyme that can remove a variety of covalent adducts from DNA through hydrolysis of a 3'-phosphodiester bond, giving rise to DNA with a free 3' phosphate. Catalyzes the hydrolysis of dead-end complexes between DNA and the topoisomerase I active site tyrosine residue. Hydrolyzes 3'-phosphoglycolates on protruding 3' ends on DNA double-strand breaks due to DNA damage by radiation and free radicals. Acts on blunt-ended double-strand DNA breaks and on single-stranded DNA. Has low 3'exonuclease activity and can remove a single nucleoside from the 3'end of DNA and RNA molecules with 3'hydroxyl groups. Has no exonuclease activity towards DNA or RNA with a 3'phosphate. [The UniProt Consortium]
| Keywords: | Anti-TDP1, Anti-Tyr-DNA phosphodiesterase 1, Anti-Tyrosyl-DNA phosphodiesterase 1 |
| Supplier: | Bethyl Laboratories |
| Supplier-Nr: | A301-618A |
Properties
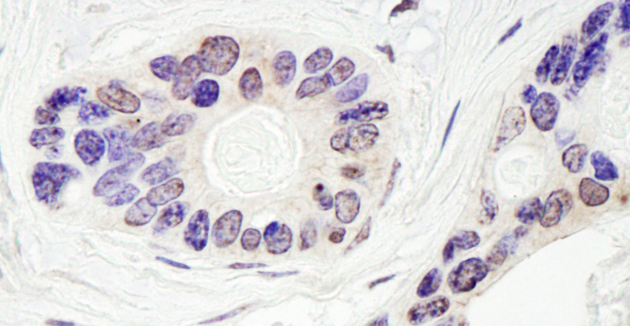
| Application: | WB, IP, IHC |
| Antibody Type: | Polyclonal |
| Conjugate: | No |
| Host: | Rabbit |
| Species reactivity: | human (Expected: orangutan, gorilla, chimpanzee) |
| Immunogen: | synthetic peptide. The epitope recognized by A301-618A-T maps to a region between residue 1 and 50 of human tyrosyl-DNA phosphodiesterase 1 using the numbering given in entry NP_001008744.1 (GeneID 55775). |
| Format: | Antigen Affinity Purified |
Database Information
| KEGG ID : | K10862 | Matching products |
| UniProt ID : | Q9NUW8 | Matching products |
| Gene ID : | GeneID 55775 | Matching products |
Handling & Safety
| Storage: | +4°C |
| Shipping: | +4°C (International: +4°C) |
Caution
Our products are for laboratory research use only: Not for administration to humans!
Our products are for laboratory research use only: Not for administration to humans!
Information about the product reference will follow.
more
You will get a certificate here
Viewed