Cookie preferences
This website uses cookies, which are necessary for the technical operation of the website and are always set. Other cookies, which increase the comfort when using this website, are used for direct advertising or to facilitate interaction with other websites and social networks, are only set with your consent.
Configuration
Technically required
These cookies are necessary for the basic functions of the shop.
"Allow all cookies" cookie
"Decline all cookies" cookie
CSRF token
Cookie preferences
Currency change
Customer-specific caching
FACT-Finder tracking
Individual prices
Selected shop
Session
Comfort functions
These cookies are used to make the shopping experience even more appealing, for example for the recognition of the visitor.
Note
Show the facebook fanpage in the right blod sidebar
Statistics & Tracking
Affiliate program
Conversion and usertracking via Google Tag Manager
Track device being used
If you have any questions, please use our Contact Form.
You can also order by e-mail: info@biomol.com
Larger quantity required? Request bulk
You can also order by e-mail: info@biomol.com
Larger quantity required? Request bulk
SIRT1,also named as SIR2L1,contains a deacetylase sirtuin-type domain and belongs to the sirtuin... more
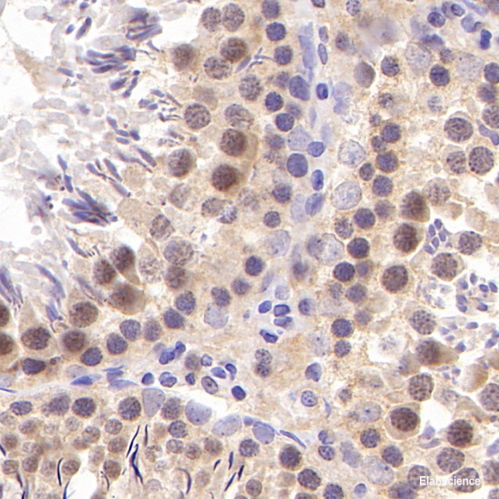
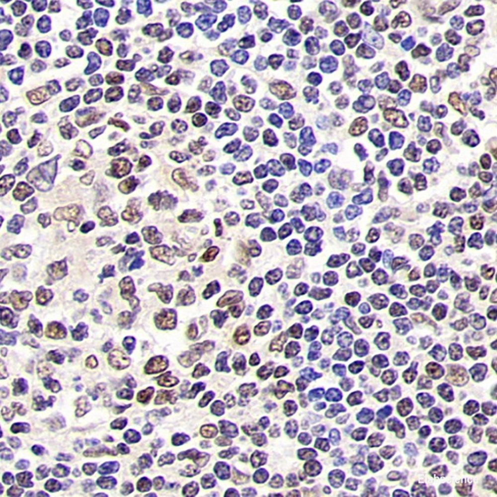
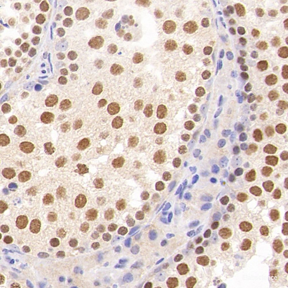
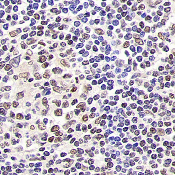
Product information "Anti-SIRT1"
SIRT1,also named as SIR2L1,contains a deacetylase sirtuin-type domain and belongs to the sirtuin family. It regulates processes such as apoptosis and muscle differentiation by deacetylating key proteins. SIRT1 in particular initiates several signalling events relevant to cardioprotection,including: activation of endothelial nitric oxide synthase,insulin receptor signalling,and autophagy. In addition SIRT1 activation elicits resistance to oxidative stress via regulation of transcription factors and co-activators such as FOXO,Hif-2a,and NF-kB. SIRT1 regulates the p53-dependent DNA damage response pathway by binding to and deacetylating p53,specifically at Lysine 382. Protein function: NAD-dependent protein deacetylase that links transcriptional regulation directly to intracellular energetics and participates in the coordination of several separated cellular functions such as cell cycle, response to DNA damage, metobolism, apoptosis and autophagy (PubMed:11672523, PubMed:12006491, PubMed:14976264, PubMed:14980222, PubMed:15126506, PubMed:15152190, PubMed:15205477, PubMed:15469825, PubMed:15692560, PubMed:16079181, PubMed:16166628, PubMed:16892051, PubMed:16998810, PubMed:17283066, PubMed:17290224, PubMed:17334224, PubMed:17505061, PubMed:17612497, PubMed:17620057, PubMed:17936707, PubMed:18203716, PubMed:18296641, PubMed:18662546, PubMed:18687677, PubMed:19188449, PubMed:19220062, PubMed:19364925, PubMed:19690166, PubMed:19934257, PubMed:20097625, PubMed:20100829, PubMed:20203304, PubMed:20375098, PubMed:20620956, PubMed:20670893, PubMed:20817729, PubMed:20955178, PubMed:21149730, PubMed:21245319, PubMed:21471201, PubMed:21504832, PubMed:21555002, PubMed:21698133, PubMed:21701047, PubMed:21775285, PubMed:21807113, PubMed:21841822, PubMed:21890893, PubMed:21947282, PubMed:22274616, PubMed:24415752, PubMed:24824780). Can modulate chromatin function through deacetylation of histones and can promote alterations in the methylation of histones and DNA, leading to transcriptional repression (PubMed:15469825). Deacetylates a broad range of transcription factors and coregulators, thereby regulating target gene expression positively and negatively (PubMed:15152190, PubMed:14980222, PubMed:14976264). Serves as a sensor of the cytosolic ratio of NAD(+)/NADH which is altered by glucose deprivation and metabolic changes associated with caloric restriction (PubMed:15205477). Is essential in skeletal muscle cell differentiation and in response to low nutrients mediates the inhibitory effect on skeletal myoblast differentiation which also involves 5'-AMP-activated protein kinase (AMPK) and nicotinamide phosphoribosyltransferase (NAMPT). Component of the eNoSC (energy-dependent nucleolar silencing) complex, a complex that mediates silencing of rDNA in response to intracellular energy status and acts by recruiting histone- modifying enzymes (PubMed:18485871). The eNoSC complex is able to sense the energy status of cell: upon glucose starvation, elevation of NAD(+)/NADP(+) ratio activates SIRT1, leading to histone H3 deacetylation followed by dimethylation of H3 at 'Lys- 9' (H3K9me2) by SUV39H1 and the formation of silent chromatin in the rDNA locus (PubMed:18485871, PubMed:21504832). Deacetylates 'Lys-266' of SUV39H1, leading to its activation (PubMed:21504832). Inhibits skeletal muscle differentiation by deacetylating PCAF and MYOD1 (PubMed:19188449). Deacetylates H2A and 'Lys-26' of HIST1H1E (PubMed:15469825). Deacetylates 'Lys-16' of histone H4 (in vitro). Involved in NR0B2/SHP corepression function through chromatin remodeling: Recruited to LRH1 target gene promoters by NR0B2/SHP thereby stimulating histone H3 and H4 deacetylation leading to transcriptional repression (PubMed:20375098). Proposed to contribute to genomic integrity via positive regulation of telomere length, however, reports on localization to pericentromeric heterochromatin are conflicting. Proposed to play a role in constitutive heterochromatin (CH) formation and/or maintenance through regulation of the available pool of nuclear SUV39H1 (PubMed:15469825, PubMed:18004385). Upon oxidative/metabolic stress decreases SUV39H1 degradation by inhibiting SUV39H1 polyubiquitination by MDM2 (PubMed:18004385, PubMed:21504832). This increase in SUV39H1 levels enhances SUV39H1 turnover in CH, which in turn seems to accelerate renewal of the heterochromatin which correlates with greater genomic integrity during stress response (PubMed:18004385, PubMed:21504832). Deacetylates 'Lys-382' of p53/TP53 and impairs its ability to induce transcription-dependent proapoptotic program and modulate cell senescence (PubMed:11672523, PubMed:12006491). Deacetylates TAF1B and thereby represses rDNA transcription by the RNA polymerase I. Deacetylates MYC, promotes the association of MYC with MAX and decreases MYC stability leading to compromised transformational capability (PubMed:19364925, PubMed:21807113). Deacetylates FOXO3 in response to oxidative stress thereby increasing its ability to induce cell cycle arrest and resistance to oxidative stress but inhibiting FOXO3-mediated induction of apoptosis transcriptional activity, also leading to FOXO3 ubiquitination and protesomal degradation (PubMed:14980222, PubMed:14976264, PubMed:21841822). Appears to have a similar effect on MLLT7/FOXO4 in regulation of transcriptional activity and apoptosis (PubMed:15126506). Deacetylates DNMT1, thereby impairs DNMT1 methyltransferase-independent transcription repressor activity, modulates DNMT1 cell cycle regulatory function and DNMT1-mediated gene silencing (PubMed:21947282). Deacetylates RELA/NF-kappa-B p65 thereby inhibiting its transactivating potential and augments apoptosis in response to TNF-alpha (PubMed:15152190). Deacetylates HIF1A, KAT5/TIP60, RB1 and HIC1 (PubMed:17620057, PubMed:17283066, PubMed:20100829, PubMed:20620956). Deacetylates FOXO1 resulting in its nuclear retention and enhancement of its transcriptional activity leading to increased gluconeogenesis in liver (PubMed:15692560). Inhibits E2F1 transcriptional activity and apoptotic function, possibly by deacetylation (PubMed:16892051). Involved in HES1- and HEY2- mediated transcriptional repression (PubMed:12535671). In cooperation with MYCN seems to be involved in transcriptional repression of DUSP6/MAPK3 leading to MYCN stabilization by phosphorylation at 'Ser-62' (PubMed:21698133). Deacetylates MEF2D (PubMed:16166628). Required for antagonist-mediated transcription suppression of AR-dependent genes which may be linked to local deacetylation of histone H3 (PubMed:17505061). Represses HNF1A- mediated transcription. Required for the repression of ESRRG by CREBZF (PubMed:19690166). Deacetylates NR1H3 and NR1H2 and deacetylation of NR1H3 at 'Lys-434' positively regulates transcription of NR1H3:RXR target genes, promotes NR1H3 proteosomal degradation and results in cholesterol efflux, a promoter clearing mechanism after reach round of transcription is proposed (PubMed:17936707). Involved in lipid metabolism (PubMed:20817729). Implicated in regulation of adipogenesis and fat mobilization in white adipocytes by repression of PPARG which probably involves association with NCOR1 and SMRT/NCOR2. Deacetylates p300/EP300 and PRMT1. Deacetylates ACSS2 leading to its activation, and HMGCS1 deacetylation (PubMed:21701047). Involved in liver and muscle metabolism. Through deacteylation and activation of PPARGC1A is required to activate fatty acid oxidation in skeletel muscle under low-glucose conditions and is involved in glucose homeostasis. Involved in regulation of PPARA and fatty acid beta-oxidation in liver. Involved in positive regulation of insulin secretion in pancreatic beta cells in response to glucose, the function seems to imply transcriptional repression of UCP2. Proposed to deacetylate IRS2 thereby facilitating its insulin-induced tyrosine phosphorylation. Deacetylates SREBF1 isoform SREBP-1C thereby decreasing its stability and transactivation in lipogenic gene expression (PubMed:17290224, PubMed:20817729). Involved in DNA damage response by repressing genes which are involved in DNA repair, such as XPC and TP73, deacetylating XRCC6/Ku70, and faciliting recruitment of additional factors to sites of damaged DNA, such as SIRT1-deacetylated NBN can recruit ATM to initiate DNA repair and SIRT1-deacetylated XPA interacts with RPA2 (PubMed:15205477, PubMed:17334224, PubMed:16998810, PubMed:17612497, PubMed:20670893, PubMed:21149730). Also involved in DNA repair of DNA double-strand breaks by homologous recombination and specifically single-strand annealing independently of XRCC6/Ku70 and NBN (PubMed:15205477, PubMed:17334224, PubMed:20097625). Transcriptional suppression of XPC probably involves an E2F4:RBL2 suppressor complex and protein kinase B (AKT) signaling. Transcriptional suppression of TP73 probably involves E2F4 and PCAF. Deacetylates WRN thereby regulating its helicase and exonuclease activities and regulates WRN nuclear translocation in response to DNA damage (PubMed:18203716). Deacetylates APEX1 at 'Lys-6' and 'Lys-7' and stimulates cellular AP endonuclease activity by promoting the association of APEX1 to XRCC1 (PubMed:19934257). Increases p53/TP53-mediated transcription-independent apoptosis by blocking nuclear translocation of cytoplasmic p53/TP53 and probably redirecting it to mitochondria. Deacetylates XRCC6/Ku70 at 'Lys- 539' and 'Lys-542' causing it to sequester BAX away from mitochondria thereby inhibiting stress-induced apoptosis. Is involved in autophagy, presumably by deacetylating ATG5, ATG7 and MAP1LC3B/ATG8 (PubMed:18296641). Deacetylates AKT1 which leads to enhanced binding of AKT1 and PDK1 to PIP3 and promotes their activation (PubMed:21775285). Proposed to play role in regulation of STK11/LBK1-dependent AMPK signaling pathways implicated in cellular senescence which seems to involve the regulation of the acetylation status of STK11/LBK1. Can deacetylate STK11/LBK1 and thereby increase its activity, cytoplasmic localization and association with STRAD, however, the relevance of such activity in normal cells is unclear (PubMed:18687677, PubMed:20203304). In endothelial cells is shown to inhibit STK11/LBK1 activity and to promote its degradation. Deacetylates SMAD7 at 'Lys-64' and 'Lys- 70' thereby promoting its degradation. Deacetylates CIITA and augments its MHC class II transactivation and contributes to its stability (PubMed:21890893). Deacteylates MECOM/EVI1 (PubMed:21555002). Deacetylates PML at 'Lys-487' and this deacetylation promotes PML control of PER2 nuclear localization (PubMed:22274616). During the neurogenic transition, repress selective NOTCH1-target genes through histone deacetylation in a BCL6-dependent manner and leading to neuronal differentiation. Regulates the circadian expression of several core clock genes, including ARNTL/BMAL1, RORC, PER2 and CRY1 and plays a critical role in maintaining a controlled rhythmicity in histone acetylation, thereby contributing to circadian chromatin remodeling (PubMed:18662546). Deacetylates ARNTL/BMAL1 and histones at the circadian gene promoters in order to facilitate repression by inhibitory components of the circadian oscillator. Deacetylates PER2, facilitating its ubiquitination and degradation by the proteosome. Protects cardiomyocytes against palmitate-induced apoptosis. Deacetylates XBP1 isoform 2, deacetylation decreases protein stability of XBP1 isoform 2 and inhibits its transcriptional activity (PubMed:20955178). Involved in the CCAR2- mediated regulation of PCK1 and NR1D1 (PubMed:24415752). Deacetylates CTNB1 at 'Lys-49' (PubMed:24824780). In POMC (pro- opiomelanocortin) neurons, required for leptin-induced activation of PI3K signaling. [The UniProt Consortium]
| Keywords: | Anti-SIRT1, Anti-SIR2L1, EC=3.5.1.-, SIRT1 Polyclonal Antibody |
| Supplier: | Elabscience |
| Supplier-Nr: | E-AB-70071 |
Properties
| Application: | IHC |
| Antibody Type: | Polyclonal |
| Conjugate: | No |
| Host: | Rabbit |
| Species reactivity: | human, mouse, rat |
| Immunogen: | KLH conjugated Synthetic peptide corresponding to Mouse SIRT1 |
Database Information
| KEGG ID : | K11411 | Matching products |
| UniProt ID : | Q96EB6 | Matching products |
| Gene ID : | GeneID 23411 | Matching products |
Handling & Safety
| Storage: | -20°C |
| Shipping: | 4°C (International: -20°C) |
Caution
Our products are for laboratory research use only: Not for administration to humans!
Our products are for laboratory research use only: Not for administration to humans!
Information about the product reference will follow.
more
You will get a certificate here
Viewed