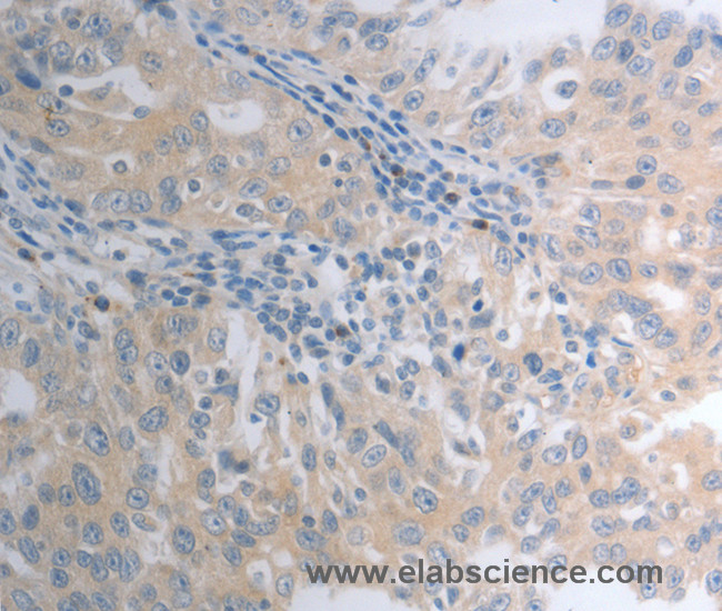
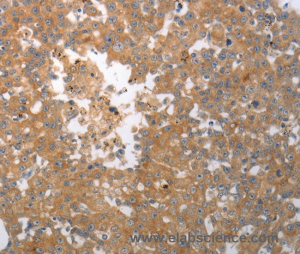
Anti-SHH

Item number Size Datasheet Manual SDS Delivery time Quantity Price
E-AB-15842.20 20 µl -

7 - 16 business days*

89.00€
E-AB-15842.60 60 µl -

7 - 16 business days*

174.00€
E-AB-15842.120 120 µl -

7 - 16 business days*

292.00€
E-AB-15842.200 200 µl -

7 - 16 business days*

485.00€
 
This gene encodes a protein that is instrumental in patterning the early embryo. It has been... more
Product information "Anti-SHH"
This gene encodes a protein that is instrumental in patterning the early embryo. It has been implicated as the key inductive signal in patterning of the ventral neural tube, the anterior-posterior limb axis, and the ventral somites. Of three human proteins showing sequence and functional similarity to the sonic hedgehog protein of Drosophila, this protein is the most similar. The protein is made as a precursor that is autocatalytically cleaved, the N-terminal portion is soluble and contains the signalling activity while the C-terminal portion is involved in precursor processing. More importantly, the C-terminal product covalently attaches a cholesterol moiety to the N-terminal product, restricting the N-terminal product to the cell surface and preventing it from freely diffusing throughout the developing embryo. Defects in this protein or in its signalling pathway are a cause of holoprosencephaly (HPE), a disorder in which the developing forebrain fails to correctly separate into right and left hemispheres. HPE is manifested by facial deformities. It is also thought that mutations in this gene or in its signalling pathway may be responsible for VACTERL syndrome, which is characterized by vertebral defects, anal atresia, tracheoesophageal fistula with esophageal atresia, radial and renal dysplasia, cardiac anomalies, and limb abnormalities. Additionally, mutations in a long range enhancer located approximately 1 megabase upstream of this gene disrupt limb patterning and can result in preaxial polydactyly. Protein function: Sonic hedgehog protein: The C-terminal part of the sonic hedgehog protein precursor displays an autoproteolysis and a cholesterol transferase activity. Both activities result in the cleavage of the full-length protein into two parts (ShhN and ShhC) followed by the covalent attachment of a cholesterol moiety to the C-terminal of the newly generated ShhN. Both activities occur in the reticulum endoplasmic. Once cleaved, ShhC is degraded in the endoplasmic reticulum. [The UniProt Consortium]
Keywords: , SHH Polyclonal Antibody
Supplier: Elabscience
Supplier-Nr: E-AB-15842

Properties

Application: IHC, ELISA
Antibody Type: Polyclonal
Conjugate: No
Host: Rabbit
Species reactivity: human, mouse, rat
Immunogen: Synthetic peptide of human SHH
Format: Purified

Handling & Safety

Storage: -20°C
Shipping: 4°C (International: -20°C)
Caution
Our products are for laboratory research use only: Not for administration to humans!
You will get a certificate here
or to request a certificate of analysis.
Read, write and discuss reviews... more
Customer review for "Anti-SHH"
Write a review
or to review a product.
Viewed