If you have any questions, please use our Contact Form.
You can also order by e-mail: info@biomol.com
Larger quantity required? Request bulk
You can also order by e-mail: info@biomol.com
Larger quantity required? Request bulk
Viewed
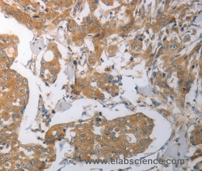
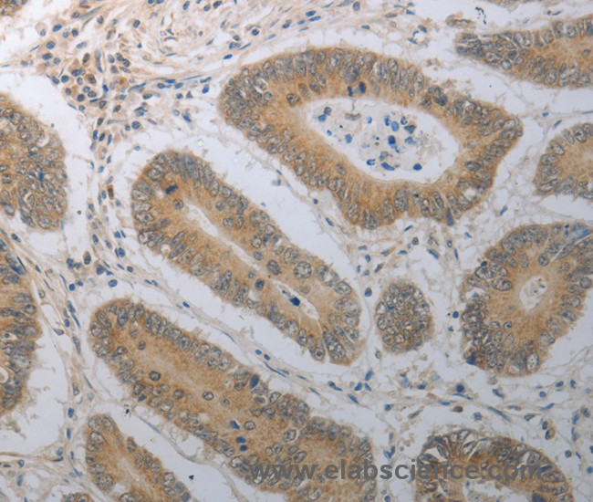
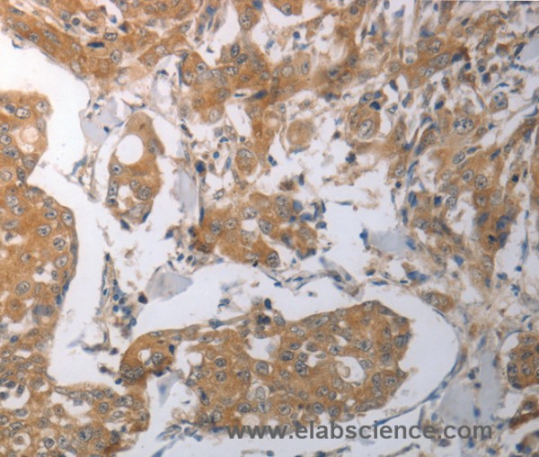
| Keywords: | , SHH Polyclonal Antibody |
| Supplier: | Elabscience |
| Supplier-Nr: | E-AB-12636 |
Properties
| Application: | IHC, ELISA |
| Antibody Type: | Polyclonal |
| Conjugate: | No |
| Host: | Rabbit |
| Species reactivity: | human, mouse, rat |
| Immunogen: | Synthetic peptide of human SHH |
| Format: | Purified |
Database Information
| KEGG ID : | K11988 | Matching products |
| UniProt ID : | Q15465 | Matching products |
| Gene ID : | GeneID 6469 | Matching products |
Handling & Safety
| Storage: | -20°C |
| Shipping: | 4°C (International: -20°C) |