This website uses cookies, which are necessary for the technical operation of the website and are always set. Other cookies, which increase the comfort when using this website, are used for direct advertising or to facilitate interaction with other websites and social networks, are only set with your consent.
Configuration
Technically required
These cookies are necessary for the basic functions of the shop.
"Allow all cookies" cookie
"Decline all cookies" cookie
CSRF token
Cookie preferences
Currency change
Customer-specific caching
FACT-Finder tracking
Individual prices
Selected shop
Session
Comfort functions
These cookies are used to make the shopping experience even more appealing, for example for the recognition of the visitor.
Note
Show the facebook fanpage in the right blod sidebar
Statistics & Tracking
Affiliate program
Conversion and usertracking via Google Tag Manager
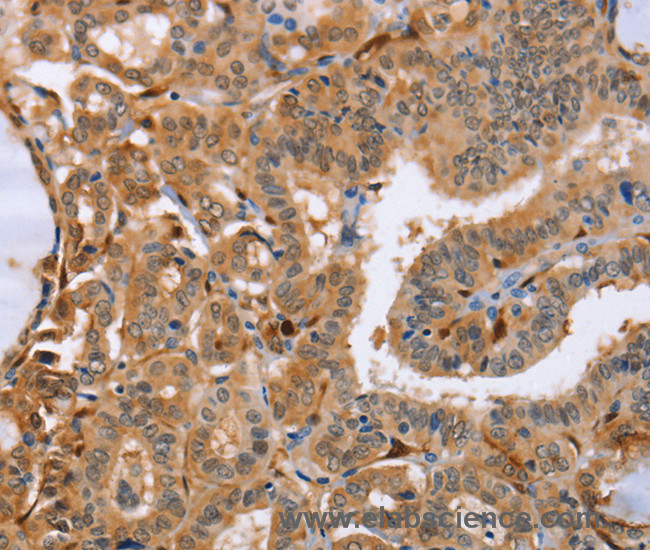
Latexin, also designated endogenous carboxypeptidase inhibitor (ECI) or tissue carboxypeptidase inhibitor (TCI), belongs to the protease inhibitor I47 family of proteins. Latexin acts as a non-competitive, reversible inhibitor for metallocarboxypeptidases (MCPs), including CPA1, CPA2 and CPA4. It is a cytoplasmic protein that is highly expressed in heart, prostate, pancreas, ovary, kidney, brain and colon. Latexin consists of two topologically equivalent subdomains that bind to MCPs with low specificity, which gives it with the flexibility to inhibit all vertebrate A/B MCPs. Protein function: Hardly reversible, non-competitive, and potent inhibitor of CPA1, CPA2 and CPA4. May play a role in inflammation. [The UniProt Consortium]
This website uses cookies, which are necessary for the technical operation of the website and are always set. Other cookies, which increase the usability of this website, serve for direct advertising or simplify interaction with other websites and social networks, will only be used with your consent.
More information