Cookie preferences
This website uses cookies, which are necessary for the technical operation of the website and are always set. Other cookies, which increase the comfort when using this website, are used for direct advertising or to facilitate interaction with other websites and social networks, are only set with your consent.
Configuration
Technically required
These cookies are necessary for the basic functions of the shop.
"Allow all cookies" cookie
"Decline all cookies" cookie
CSRF token
Cookie preferences
Currency change
Customer-specific caching
FACT-Finder tracking
Individual prices
Selected shop
Session
Comfort functions
These cookies are used to make the shopping experience even more appealing, for example for the recognition of the visitor.
Note
Show the facebook fanpage in the right blod sidebar
Statistics & Tracking
Affiliate program
Conversion and usertracking via Google Tag Manager
Track device being used
| Item number | Size | Datasheet | Manual | SDS | Delivery time | Quantity | Price |
|---|---|---|---|---|---|---|---|
| A301-134A-T | 10 µl (2 µg) | - |
2 - 8 business days* |
165.00€
|
|||
| A301-134A | 100 µl | - |
2 - 8 business days* |
586.00€
|
If you have any questions, please use our Contact Form.
You can also order by e-mail: info@biomol.com
Larger quantity required? Request bulk
You can also order by e-mail: info@biomol.com
Larger quantity required? Request bulk
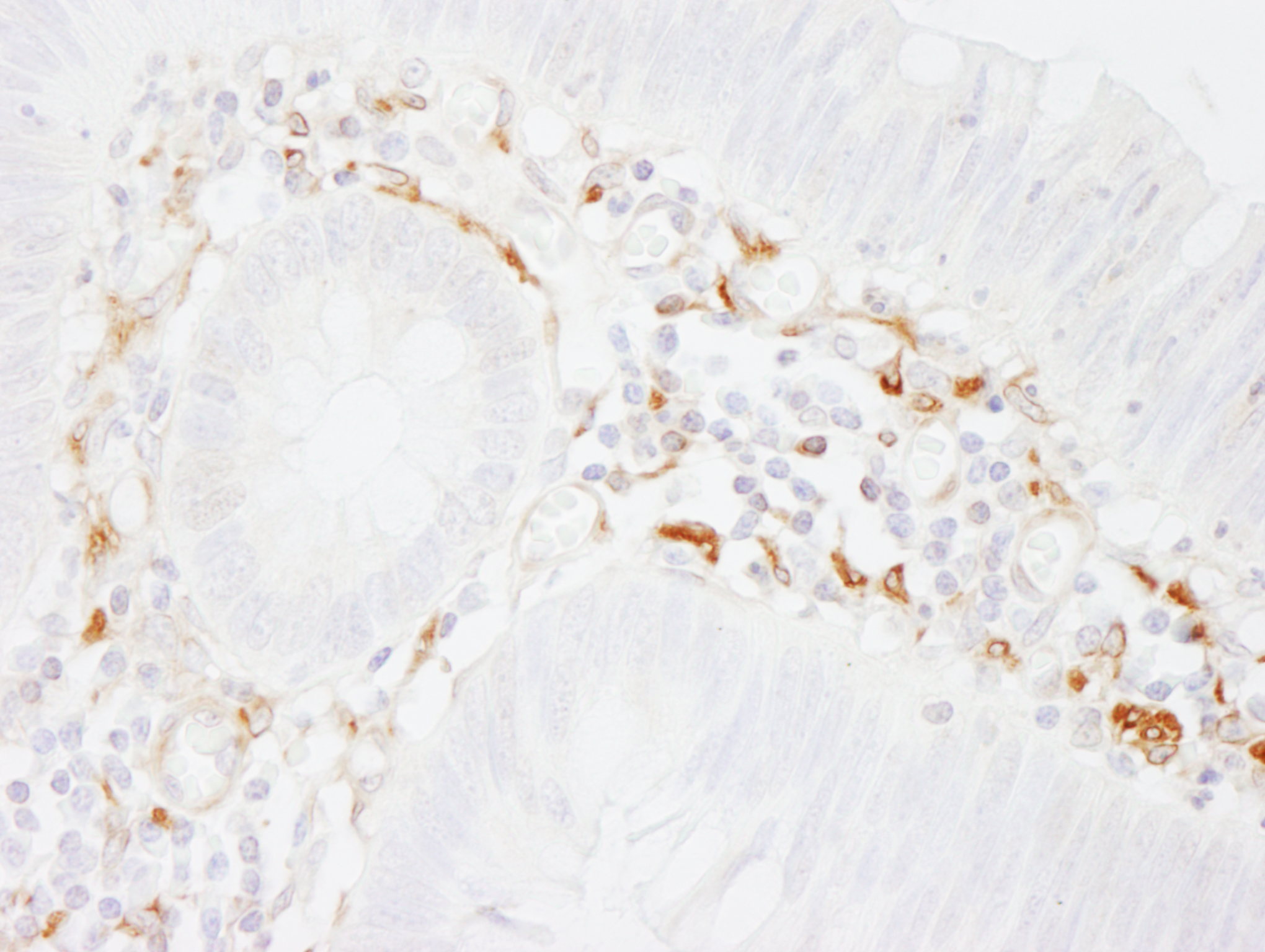
Protein function: Promotes orthogonal branching of actin filaments and links actin filaments to... more
Product information "Anti-Filamin A"
Protein function: Promotes orthogonal branching of actin filaments and links actin filaments to membrane glycoproteins. Anchors various transmembrane proteins to the actin cytoskeleton and serves as a scaffold for a wide range of cytoplasmic signaling proteins. Interaction with FLNA may allow neuroblast migration from the ventricular zone into the cortical plate. Tethers cell surface- localized furin, modulates its rate of internalization and directs its intracellular trafficking. Involved in ciliogenesis. Plays a role in cell-cell contacts and adherens junctions during the development of blood vessels, heart and brain organs. Plays a role in platelets morphology through interaction with SYK that regulates ITAM- and ITAM-like-containing receptor signaling, resulting in by platelet cytoskeleton organization maintainance. [The UniProt Consortium]
| Keywords: | Anti-FLN, Anti-FLNA, Anti-FLN-A, Anti-ABP-280, Anti-Filamin-1, Anti-Filamin-A, Anti-Alpha-filamin, Anti-Non-muscle filamin, Anti-Actin-binding protein 280, Anti-Endothelial actin-binding protein |
| Supplier: | Bethyl Laboratories |
| Supplier-Nr: | A301-134A |
Properties
| Application: | WB, IP, IHC |
| Antibody Type: | Polyclonal |
| Conjugate: | No |
| Host: | Rabbit |
| Species reactivity: | human, mouse (Expected: orangutan, rhesus monkey, gorilla, white-tufted-ear marmoset, dusky titi monkey, crab-eating macaque, olive baboon, northern white-cheeked gibbon) |
| Immunogen: | synthetic peptide. The epitope recognized by A301-134A-T maps to a region between residue 1725 and 1775 of human Filamin A using the numbering given in entry NP_001447.1 (GeneID 2316). |
| Format: | Antigen Affinity Purified |
Database Information
| KEGG ID : | K04437 | Matching products |
| UniProt ID : | P21333 | Matching products |
| Gene ID : | GeneID 2316 | Matching products |
Handling & Safety
| Storage: | +4°C |
| Shipping: | +4°C (International: +4°C) |
Caution
Our products are for laboratory research use only: Not for administration to humans!
Our products are for laboratory research use only: Not for administration to humans!
Information about the product reference will follow.
more
You will get a certificate here
Viewed