Cookie preferences
This website uses cookies, which are necessary for the technical operation of the website and are always set. Other cookies, which increase the comfort when using this website, are used for direct advertising or to facilitate interaction with other websites and social networks, are only set with your consent.
Configuration
Technically required
These cookies are necessary for the basic functions of the shop.
"Allow all cookies" cookie
"Decline all cookies" cookie
CSRF token
Cookie preferences
Currency change
Customer-specific caching
FACT-Finder tracking
Individual prices
Selected shop
Session
Comfort functions
These cookies are used to make the shopping experience even more appealing, for example for the recognition of the visitor.
Note
Show the facebook fanpage in the right blod sidebar
Statistics & Tracking
Affiliate program
Conversion and usertracking via Google Tag Manager
Track device being used
| Item number | Size | Datasheet | Manual | SDS | Delivery time | Quantity | Price |
|---|---|---|---|---|---|---|---|
| A303-987A-T | 10 µl (10 µg) | - |
2 - 8 business days* |
165.00€
|
|||
| A303-987A | 100 µl (100 µg) | - |
2 - 8 business days* |
586.00€
|
If you have any questions, please use our Contact Form.
You can also order by e-mail: info@biomol.com
Larger quantity required? Request bulk
You can also order by e-mail: info@biomol.com
Larger quantity required? Request bulk
Protein function: Putative catalytic component of the RNA exosome complex which has 3'->5'... more
Product information "Anti-EXOSC10"
Protein function: Putative catalytic component of the RNA exosome complex which has 3'->5' exoribonuclease activity and participates in a multitude of cellular RNA processing and degradation events. In the nucleus, the RNA exosome complex is involved in proper maturation of stable RNA species such as rRNA, snRNA and snoRNA, in the elimination of RNA processing by-products and non-coding 'pervasive' transcripts, such as antisense RNA species and promoter-upstream transcripts (PROMPTs), and of mRNAs with processing defects, thereby limiting or excluding their export to the cytoplasm. The RNA exosome may be involved in Ig class switch recombination (CSR) and/or Ig variable region somatic hypermutation (SHM) by targeting AICDA deamination activity to transcribed dsDNA substrates. In the cytoplasm, the RNA exosome complex is involved in general mRNA turnover and specifically degrades inherently unstable mRNAs containing AU-rich elements (AREs) within their 3' untranslated regions, and in RNA surveillance pathways, preventing translation of aberrant mRNAs. It seems to be involved in degradation of histone mRNA. EXOSC10 has 3'-5' exonuclease activity. EXOSC10 is required for nucleolar localization of C1D and probably mediates the association of SKIV2L2, C1D and MPP6 wth the RNA exosome involved in the maturation of 5.8S rRNA. [The UniProt Consortium]
| Keywords: | Anti-PMSCL, Anti-EXOSC10, Anti-PM/Scl-100, EC=3.1.13.-, Anti-Autoantigen PM/Scl 2, Anti-Exosome component 10, Anti-Polymyositis/scleroderma autoantigen 2, Anti-Polymyositis/scleroderma autoantigen 100 kDa |
| Supplier: | Bethyl Laboratories |
| Supplier-Nr: | A303-987A |
Properties
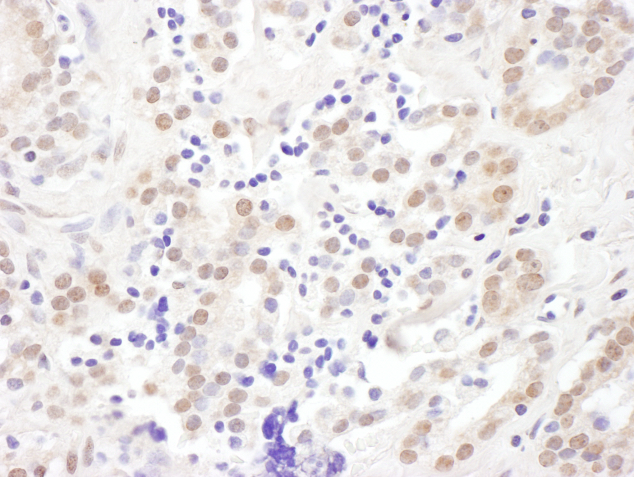
| Application: | WB, IP, IHC |
| Antibody Type: | Polyclonal |
| Conjugate: | No |
| Host: | Rabbit |
| Species reactivity: | human, mouse (Expected: rat, bovine, dog, rabbit, guinea pig_10141, panda, orangutan, rhesus monkey, gorilla, chimpanzee, white-tufted-ear marmoset, crab-eating macaque, northern white-cheeked gibbon, thirteen-lined ground squirrel) |
| Immunogen: | synthetic peptide. The epitope recognized by A303-987A-T maps to a region between residue 200 to 250 of human Exosome Component 10 using the numbering given in entry NP_001001998.1 (GeneID 5394). |
| Format: | Antigen Affinity Purified |
Database Information
| KEGG ID : | K12591 | Matching products |
| UniProt ID : | Q01780 | Matching products |
| Gene ID : | GeneID 5394 | Matching products |
Handling & Safety
| Storage: | +4°C |
| Shipping: | +4°C (International: +4°C) |
Caution
Our products are for laboratory research use only: Not for administration to humans!
Our products are for laboratory research use only: Not for administration to humans!
Information about the product reference will follow.
more
You will get a certificate here
Viewed