Cookie preferences
This website uses cookies, which are necessary for the technical operation of the website and are always set. Other cookies, which increase the comfort when using this website, are used for direct advertising or to facilitate interaction with other websites and social networks, are only set with your consent.
Configuration
Technically required
These cookies are necessary for the basic functions of the shop.
"Allow all cookies" cookie
"Decline all cookies" cookie
CSRF token
Cookie preferences
Currency change
Customer-specific caching
FACT-Finder tracking
Individual prices
Selected shop
Session
Comfort functions
These cookies are used to make the shopping experience even more appealing, for example for the recognition of the visitor.
Note
Show the facebook fanpage in the right blod sidebar
Statistics & Tracking
Affiliate program
Conversion and usertracking via Google Tag Manager
Track device being used
| Item number | Size | Datasheet | Manual | SDS | Delivery time | Quantity | Price |
|---|---|---|---|---|---|---|---|
| NSJ-V2259SAF-100UG | 100 µg | - | - |
3 - 10 business days* |
810.00€
|
If you have any questions, please use our Contact Form.
You can also order by e-mail: info@biomol.com
Larger quantity required? Request bulk
You can also order by e-mail: info@biomol.com
Larger quantity required? Request bulk
1 mg/ml in sterile PBS, BSA free, sodium azide free. This antibody recognizes a polypeptide of... more
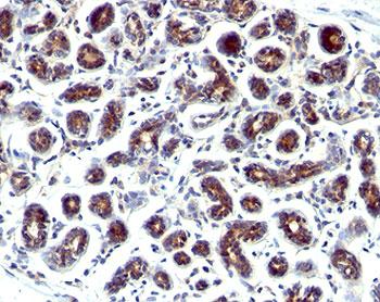
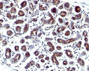
Product information "Anti-Estrogen Inducible Protein pS2, clone GE2"
1 mg/ml in sterile PBS, BSA free, sodium azide free. This antibody recognizes a polypeptide of ~6.5kDa, identified as Estrogen Inducible Protein pS2. The antibody's epitope is localized between amino acids 57-84. pS2 is a trefoil peptide. Trefoil peptides are protease resistant molecules secreted throughout the gut that play a role in mucosal healing. These peptides contain three intrachain disulfide bonds, forming the trefoil motif, or P-domain. Estrogen Inducible Protein pS2 is known to form dimers and this dimerization is thought to play a role in its protective and healing properties. About 60% of breast carcinomas are positive for estrogen inducible protein pS2. Staining is cytoplasmic, often with localization to the Golgi apparatus. It is shown to be localized in normal stomach mucosa, gastric fluid, goblet cells in the colon and small intestine, and in ulcerations of the gastrointestinal tract. Several studies have shown that estrogen inducible protein pS2 is primarily expressed in estrogen receptor-positive breast tumors and it may define a subset of estrogen-dependent tumors that displays an increased likelihood of response to endocrine therapy. Protein function: Stabilizer of the mucous gel overlying the gastrointestinal mucosa that provides a physical barrier against various noxious agents. May inhibit the growth of calcium oxalate crystals in urine. [The UniProt Consortium]
| Keywords: | Anti-BCEI, Anti-TFF1, Anti-hP1.A, Anti-PNR-2, Anti-Protein pS2, Anti-Trefoil factor 1, Anti-Polypeptide P1.A, Anti-Breast cancer estrogen-inducible protein, Estrogen Inducible Protein pS2 Antibody |
| Supplier: | NSJ Bioreagents |
| Supplier-Nr: | V2259SAF |
Properties
| Application: | FC, IHC, IF |
| Antibody Type: | Monoclonal |
| Clone: | GE2 |
| Conjugate: | No |
| Host: | Mouse |
| Species reactivity: | human, cynomolgus monkey |
| Immunogen: | Amino acids CFDDTVRGVPWCFYPNTIDVPPEEECEF (57-84) from the C-terminus of human estrogen inducible protein pS2 was used as the immunogen for this antibody. |
| Format: | Purified |
Database Information
| KEGG ID : | K22456 | Matching products |
| UniProt ID : | P04155 | Matching products |
| Gene ID : | GeneID 7031 | Matching products |
Handling & Safety
| Storage: | +4°C |
| Shipping: | +4°C (International: +4°C) |
Caution
Our products are for laboratory research use only: Not for administration to humans!
Our products are for laboratory research use only: Not for administration to humans!
Information about the product reference will follow.
more
You will get a certificate here
Viewed