Cookie preferences
This website uses cookies, which are necessary for the technical operation of the website and are always set. Other cookies, which increase the comfort when using this website, are used for direct advertising or to facilitate interaction with other websites and social networks, are only set with your consent.
Configuration
Technically required
These cookies are necessary for the basic functions of the shop.
"Allow all cookies" cookie
"Decline all cookies" cookie
CSRF token
Cookie preferences
Currency change
Customer-specific caching
FACT-Finder tracking
Individual prices
Selected shop
Session
Comfort functions
These cookies are used to make the shopping experience even more appealing, for example for the recognition of the visitor.
Note
Show the facebook fanpage in the right blod sidebar
Statistics & Tracking
Affiliate program
Conversion and usertracking via Google Tag Manager
Track device being used
If you have any questions, please use our Contact Form.
You can also order by e-mail: info@biomol.com
Larger quantity required? Request bulk
You can also order by e-mail: info@biomol.com
Larger quantity required? Request bulk
This gene is ubiquitously expressed and is involved in the transcriptional coactivation of many... more
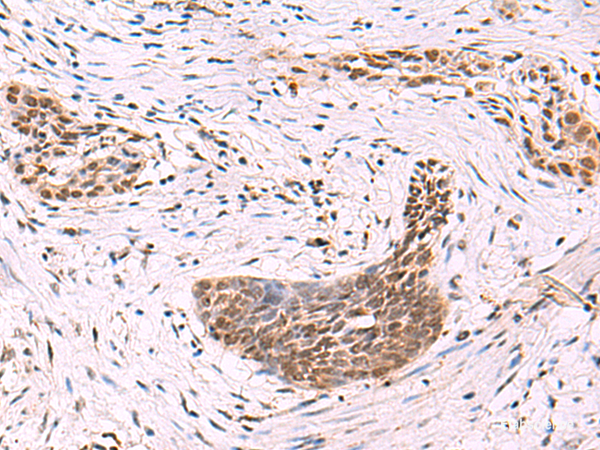
Product information "Anti-CREBBP"
This gene is ubiquitously expressed and is involved in the transcriptional coactivation of many different transcription factors. First isolated as a nuclear protein that binds to cAMP-response element binding protein (CREB), this gene is now known to play critical roles in embryonic development, growth control, and homeostasis by coupling chromatin remodeling to transcription factor recognition. The protein encoded by this gene has intrinsic histone acetyltransferase activity and also acts as a scaffold to stabilize additional protein interactions with the transcription complex. This protein acetylates both histone and non-histone proteins. This protein shares regions of very high sequence similarity with protein p300 in its bromodomain, cysteine-histidine-rich regions, and histone acetyltransferase domain. Mutations in this gene cause Rubinstein-Taybi syndrome (RTS). Chromosomal translocations involving this gene have been associated with acute myeloid leukemia. Alternative splicing results in multiple transcript variants encoding different isoforms. Protein function: Acetylates histones, giving a specific tag for transcriptional activation (PubMed:24616510). Also acetylates non- histone proteins, like DDX21, FBL, IRF2, MAFG, NCOA3, POLR1E/PAF53 and FOXO1 (PubMed:10490106, PubMed:11154691, PubMed:12738767, PubMed:12929931, PubMed:9707565, PubMed:24207024, PubMed:28790157, PubMed:30540930). Binds specifically to phosphorylated CREB and enhances its transcriptional activity toward cAMP-responsive genes. Acts as a coactivator of ALX1. Acts as a circadian transcriptional coactivator which enhances the activity of the circadian transcriptional activators: NPAS2-ARNTL/BMAL1 and CLOCK-ARNTL/BMAL1 heterodimers (PubMed:14645221). Acetylates PCNA, acetylation promotes removal of chromatin-bound PCNA and its degradation during nucleotide excision repair (NER) (PubMed:24939902). Acetylates POLR1E/PAF53, leading to decreased association of RNA polymerase I with the rDNA promoter region and coding region (PubMed:24207024). Acetylates DDX21, thereby inhibiting DDX21 helicase activity (PubMed:28790157). Acetylates FBL, preventing methylation of 'Gln-105' of histone H2A (H2AQ104me) (PubMed:30540930). Functions as a transcriptional coactivator for SMAD4 in the TGF-beta signaling pathway (PubMed:25514493). [The UniProt Consortium]
| Keywords: | Anti-CBP, Anti-CREBBP, Anti-CREB-binding protein, Anti-Protein-lysine acetyltransferase CREBBP, Anti-Histone lysine acetyltransferase CREBBP, CREBBP Polyclonal Antibody |
| Supplier: | Elabscience |
| Supplier-Nr: | E-AB-52070 |
Properties
| Application: | IHC, ELISA |
| Antibody Type: | Polyclonal |
| Conjugate: | No |
| Host: | Rabbit |
| Species reactivity: | human, mouse, rat |
| Immunogen: | Synthetic peptide of human CREBBP |
Database Information
| KEGG ID : | K04498 | Matching products |
| UniProt ID : | Q92793 | Matching products |
| Gene ID : | GeneID 1387 | Matching products |
Handling & Safety
| Storage: | -20°C |
| Shipping: | 4°C (International: -20°C) |
Caution
Our products are for laboratory research use only: Not for administration to humans!
Our products are for laboratory research use only: Not for administration to humans!
Information about the product reference will follow.
more
You will get a certificate here
Viewed