Cookie preferences
This website uses cookies, which are necessary for the technical operation of the website and are always set. Other cookies, which increase the comfort when using this website, are used for direct advertising or to facilitate interaction with other websites and social networks, are only set with your consent.
Configuration
Technically required
These cookies are necessary for the basic functions of the shop.
"Allow all cookies" cookie
"Decline all cookies" cookie
CSRF token
Cookie preferences
Currency change
Customer-specific caching
FACT-Finder tracking
Individual prices
Selected shop
Session
Comfort functions
These cookies are used to make the shopping experience even more appealing, for example for the recognition of the visitor.
Note
Show the facebook fanpage in the right blod sidebar
Statistics & Tracking
Affiliate program
Conversion and usertracking via Google Tag Manager
Track device being used
| Item number | Size | Datasheet | Manual | SDS | Delivery time | Quantity | Price |
|---|---|---|---|---|---|---|---|
| NSJ-FY12403 | 100 µl | - | - |
3 - 10 business days* |
790.00€
|
If you have any questions, please use our Contact Form.
You can also order by e-mail: info@biomol.com
Larger quantity required? Request bulk
You can also order by e-mail: info@biomol.com
Larger quantity required? Request bulk
Rabbit IgG in phosphate buffered saline, pH 7.4, 150mM NaCl, 0.02% sodium azide and 50% glycerol,... more
Product information "Anti-phospho-PKC alpha (Thr497) / Protein kinase C alpha, clone 32P00"
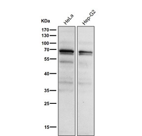
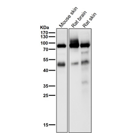
Rabbit IgG in phosphate buffered saline, pH 7.4, 150mM NaCl, 0.02% sodium azide and 50% glycerol, 0.4-0.5mg/ml BSA. Phospho-PKC alpha Thr497 antibody recognizes protein kinase C alpha phosphorylated at threonine 497, an activation site essential for catalytic function. PKC alpha is a member of the conventional protein kinase C family that functions as a serine threonine kinase. It is activated by calcium, diacylglycerol, and phospholipids, and it regulates processes including cell proliferation, differentiation, apoptosis, and migration. Phosphorylation at Thr497 stabilizes the kinase in an active conformation and promotes downstream substrate phosphorylation.Phospho-PKC alpha Thr497 antibody is widely applied in signaling and phosphorylation research. By distinguishing the phosphorylated active form from inactive PKC alpha, it enables precise monitoring of pathway activation. This is particularly relevant in studies of cancer, cardiovascular disease, and neuronal signaling where PKC alpha activity is tightly regulated.The antibody is validated for use in western blotting, immunohistochemistry, and immunofluorescence. In western blot assays, Phospho PKC alpha Thr497 antibody detects phosphorylated isoforms and allows quantification of activation under various stimuli. In immunohistochemistry, it highlights phosphorylation dependent localization within tissues, while immunofluorescence provides single cell resolution of active PKC alpha.PKC alpha has been implicated in cancer progression, where dysregulated activation contributes to survival, proliferation, and metastasis. Monitoring Thr497 phosphorylation with phospho specific antibodies provides mechanistic insight into tumor biology and therapeutic targeting. In cardiovascular research, PKC alpha activity is linked to hypertrophy, contractility, and vascular remodeling. In the nervous system, PKC alpha influences synaptic plasticity and long term potentiation.Phospho-PKC alpha Thr497 antibody offered by NSJ Bioreagents provides strong specificity for activated PKC alpha, supporting studies across oncology, cardiology, and neuroscience. It is a critical reagent for examining phosphorylation dependent signaling in health and disease.
| Keywords: | Anti-phospho-PRKCA, Anti-phospho-Protein kinase C alpha type, Phospho-PKC alpha (Thr497) Antibody / Protein kinase C alpha |
| Supplier: | NSJ Bioreagents |
| Supplier-Nr: | FY12403 |
Properties
| Application: | WB, IHC |
| Antibody Type: | Monoclonal |
| Clone: | 32P00 |
| Conjugate: | No |
| Host: | Rabbit |
| Species reactivity: | human, mouse, rat |
| Immunogen: | A synthesized peptide derived from human Phospho-PKC alpha (T497) |
| Format: | Purified |
Database Information
| KEGG ID : | K02677 | Matching products |
| UniProt ID : | P17252 | Matching products |
| Gene ID : | GeneID 5578 | Matching products |
Handling & Safety
| Storage: | -20°C |
| Shipping: | -20°C (International: -20°C) |
Caution
Our products are for laboratory research use only: Not for administration to humans!
Our products are for laboratory research use only: Not for administration to humans!
Information about the product reference will follow.
more
You will get a certificate here
Viewed