Cookie preferences
This website uses cookies, which are necessary for the technical operation of the website and are always set. Other cookies, which increase the comfort when using this website, are used for direct advertising or to facilitate interaction with other websites and social networks, are only set with your consent.
Configuration
Technically required
These cookies are necessary for the basic functions of the shop.
"Allow all cookies" cookie
"Decline all cookies" cookie
CSRF token
Cookie preferences
Currency change
Customer-specific caching
FACT-Finder tracking
Individual prices
Selected shop
Session
Comfort functions
These cookies are used to make the shopping experience even more appealing, for example for the recognition of the visitor.
Note
Show the facebook fanpage in the right blod sidebar
Statistics & Tracking
Affiliate program
Conversion and usertracking via Google Tag Manager
Track device being used
| Item number | Size | Datasheet | Manual | SDS | Delivery time | Quantity | Price |
|---|---|---|---|---|---|---|---|
| NSJ-FY12991 | 100 µl | - | - |
3 - 10 business days* |
790.00€
|
If you have any questions, please use our Contact Form.
You can also order by e-mail: info@biomol.com
Larger quantity required? Request bulk
You can also order by e-mail: info@biomol.com
Larger quantity required? Request bulk
Rabbit IgG in phosphate buffered saline, pH 7.4, 150mM NaCl, 0.02% sodium azide and 50% glycerol,... more
Product information "Anti-phospho-p38 (Thr180) / MAPK14, clone 31M76"
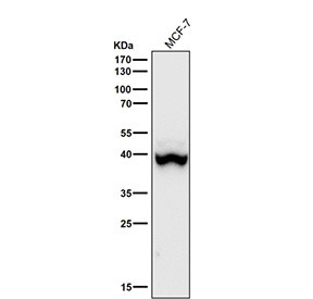
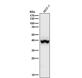
Rabbit IgG in phosphate buffered saline, pH 7.4, 150mM NaCl, 0.02% sodium azide and 50% glycerol, 0.4-0.5mg/ml BSA. Phospho-p38 (Thr180) antibody detects p38 mitogen activated protein kinase when phosphorylated at threonine 180. The protein is encoded by the MAPK14 gene and is a key member of the stress activated MAP kinase family. Activation of p38 occurs through dual phosphorylation at threonine 180 and tyrosine 182 by upstream kinases such as MKK3 and MKK6. Phospho-p38 (Thr180) antibody provides a specific reagent to monitor pathway activation during responses to cytokines, ultraviolet radiation, osmotic stress, and inflammatory signals.p38 mitogen activated protein kinase regulates a wide range of biological processes, including transcription, cell cycle arrest, apoptosis, and cytokine production. Following phosphorylation at threonine 180, p38 phosphorylates substrates such as ATF2, MAPKAPK2, and HSP27, linking stress signals to gene expression and cytoskeletal remodeling. Studies with Phospho-p38 (Thr180) antibody have shown that pathway activation is transient and tightly controlled, ensuring that cellular stress responses are adaptive rather than destructive. Dysregulation of this phosphorylation event contributes to inflammatory disease, cancer, and neurodegeneration.In immune biology, p38 activation promotes the production of cytokines such as TNF alpha, IL6, and IL1 beta. Research using Phospho-p38 (Thr180) antibody has demonstrated that inhibition of p38 phosphorylation reduces inflammatory cytokine output, supporting therapeutic strategies targeting this pathway. In oncology, altered p38 signaling influences tumor cell apoptosis, angiogenesis, and metastasis, making it a subject of active drug development. In neurons, aberrant phosphorylation contributes to synaptic dysfunction and degenerative disease.Phospho-p38 (Thr180) antibody is widely used in western blotting, immunohistochemistry, and immunofluorescence. Western blotting reveals activation status across experimental conditions, while immunohistochemistry highlights tissue specific phosphorylation patterns. Immunofluorescence demonstrates subcellular distribution of active kinase in stressed cells. These applications provide critical insights into stress signaling, immune regulation, and pathological responses.NSJ Bioreagents provides Phospho-p38 (Thr180) antibody to support research into MAP kinase pathways, stress responses, and therapeutic development. By enabling precise detection of this key phosphorylation event, researchers can study how stress activated signaling influences health and disease.
| Keywords: | Anti-phospho-MAPK14, Anti-phospho-MAP kinase MXI2, Anti-phospho-MAX-interacting protein 2, Anti-phospho-Stress-activated protein kinase 2a, Anti-phospho-Mitogen-activated protein kinase 14, Anti-phospho-Mitogen-activated protein kinase p38 alpha, Anti-pho |
| Supplier: | NSJ Bioreagents |
| Supplier-Nr: | FY12991 |
Properties
| Application: | WB, IHC |
| Antibody Type: | Monoclonal |
| Clone: | 31M76 |
| Conjugate: | No |
| Host: | Rabbit |
| Species reactivity: | human |
| Immunogen: | A synthesized peptide derived from human Phospho-p38 (T180) |
| Format: | Purified |
Database Information
| KEGG ID : | K04441 | Matching products |
| UniProt ID : | Q16539 | Matching products |
| Gene ID : | GeneID 1432 | Matching products |
Handling & Safety
| Storage: | -20°C |
| Shipping: | -20°C (International: -20°C) |
Caution
Our products are for laboratory research use only: Not for administration to humans!
Our products are for laboratory research use only: Not for administration to humans!
Information about the product reference will follow.
more
You will get a certificate here
Viewed