Cookie preferences
This website uses cookies, which are necessary for the technical operation of the website and are always set. Other cookies, which increase the comfort when using this website, are used for direct advertising or to facilitate interaction with other websites and social networks, are only set with your consent.
Configuration
Technically required
These cookies are necessary for the basic functions of the shop.
"Allow all cookies" cookie
"Decline all cookies" cookie
CSRF token
Cookie preferences
Currency change
Customer-specific caching
FACT-Finder tracking
Individual prices
Selected shop
Session
Comfort functions
These cookies are used to make the shopping experience even more appealing, for example for the recognition of the visitor.
Note
Show the facebook fanpage in the right blod sidebar
Statistics & Tracking
Affiliate program
Conversion and usertracking via Google Tag Manager
Track device being used
| Item number | Size | Datasheet | Manual | SDS | Delivery time | Quantity | Price |
|---|---|---|---|---|---|---|---|
| NSJ-RQ8702 | 100 µl | - | - |
3 - 10 business days* |
790.00€
|
If you have any questions, please use our Contact Form.
You can also order by e-mail: info@biomol.com
Larger quantity required? Request bulk
You can also order by e-mail: info@biomol.com
Larger quantity required? Request bulk
Antibody in PBS with 0.02% sodium azide, 50% glycerol and 0.4-0.5mg/ml BSA. Phosphorylated MDM2... more
Product information "Anti-phospho-MDM2 (Ser166), clone 29M35"
Antibody in PBS with 0.02% sodium azide, 50% glycerol and 0.4-0.5mg/ml BSA. Phosphorylated MDM2 is a post-translationally modified form of the MDM2 protein, an E3 ubiquitin ligase that regulates the stability and activity of the tumor suppressor p53. Phosphorylation of MDM2 at specific residues modulates its localization, interaction with binding partners, and overall activity in the p53 pathway. Researchers often use a Phospho-MDM2 antibody to study these regulatory mechanisms. Cellular stress signals such as DNA damage or growth factor stimulation can trigger phosphorylation of MDM2, altering its ability to degrade p53 and impacting cell cycle progression, DNA repair, and apoptosis. Employing a Phospho-MDM2 antibody enables detection of these phosphorylation-dependent changes and provides insights into signaling cascades that control cell fate. NSJ Bioreagents offers a high-quality Phospho-MDM2 antibody for applications including western blot, immunoprecipitation, and immunofluorescence. Selecting the right Phospho-MDM2 antibody ensures reliable detection of this critical regulatory modification in cancer biology, cell cycle control, and stress response studies.
| Keywords: | Anti-phospho-MDM2, Anti-phospho-Oncoprotein Mdm2, Anti-phospho-Double minute 2 protein, Anti-phospho-p53-binding protein Mdm2, Anti-phospho-E3 ubiquitin-protein ligase Mdm2, Anti-phospho-RING-type E3 ubiquitin transferase Mdm2, Phospho-MDM2 Antibody (pS16 |
| Supplier: | NSJ Bioreagents |
| Supplier-Nr: | RQ8702 |
Properties
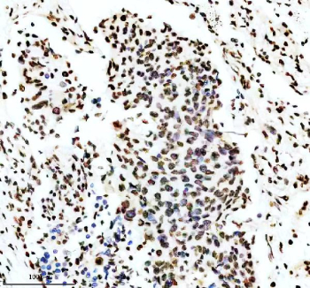
| Application: | WB, IF, IHC (paraffin) |
| Antibody Type: | Monoclonal |
| Clone: | 29M35 |
| Conjugate: | No |
| Host: | Rabbit |
| Species reactivity: | human, mouse, rat |
| Immunogen: | A synthetic peptide specific to the region of human MDM2 protein surrounding phosphorylated serine 166 |
| Format: | Affinity Purified |
Database Information
| KEGG ID : | K06643 | Matching products |
| UniProt ID : | Q00987 | Matching products |
| Gene ID : | GeneID 4193 | Matching products |
Handling & Safety
| Storage: | -20°C |
| Shipping: | -20°C (International: -20°C) |
Caution
Our products are for laboratory research use only: Not for administration to humans!
Our products are for laboratory research use only: Not for administration to humans!
Information about the product reference will follow.
more
You will get a certificate here
Viewed