Cookie preferences
This website uses cookies, which are necessary for the technical operation of the website and are always set. Other cookies, which increase the comfort when using this website, are used for direct advertising or to facilitate interaction with other websites and social networks, are only set with your consent.
Configuration
Technically required
These cookies are necessary for the basic functions of the shop.
"Allow all cookies" cookie
"Decline all cookies" cookie
CSRF token
Cookie preferences
Currency change
Customer-specific caching
FACT-Finder tracking
Individual prices
Selected shop
Session
Comfort functions
These cookies are used to make the shopping experience even more appealing, for example for the recognition of the visitor.
Note
Show the facebook fanpage in the right blod sidebar
Statistics & Tracking
Affiliate program
Conversion and usertracking via Google Tag Manager
Track device being used
| Item number | Size | Datasheet | Manual | SDS | Delivery time | Quantity | Price |
|---|---|---|---|---|---|---|---|
| A300-081A-T | 10 µl (10 µg) | - |
2 - 8 business days* |
165.00€
|
|||
| A300-081A | 100 µl (100 µg) | - |
2 - 8 business days* |
624.00€
|
If you have any questions, please use our Contact Form.
You can also order by e-mail: info@biomol.com
Larger quantity required? Request bulk
You can also order by e-mail: info@biomol.com
Larger quantity required? Request bulk
Protein function: Variant histone H2A which replaces conventional H2A in a subset of nucleosomes.... more
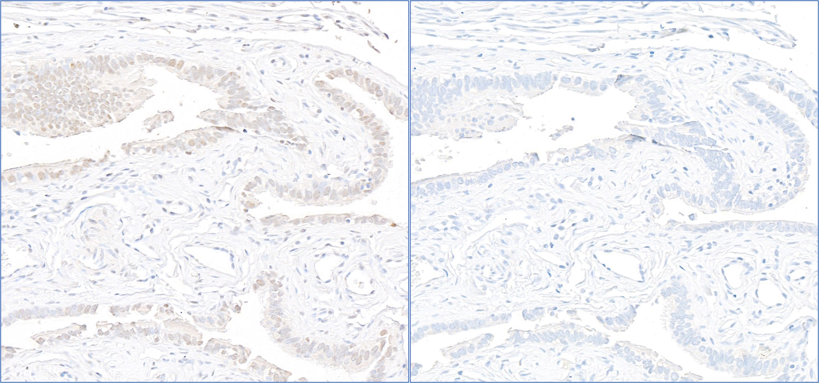
Product information "Anti-gamma-H2AX"
Protein function: Variant histone H2A which replaces conventional H2A in a subset of nucleosomes. Nucleosomes wrap and compact DNA into chromatin, limiting DNA accessibility to the cellular machineries which require DNA as a template. Histones thereby play a central role in transcription regulation, DNA repair, DNA replication and chromosomal stability. DNA accessibility is regulated via a complex set of post-translational modifications of histones, also called histone code, and nucleosome remodeling. Required for checkpoint-mediated arrest of cell cycle progression in response to low doses of ionizing radiation and for efficient repair of DNA double strand breaks (DSBs) specifically when modified by C- terminal phosphorylation. [The UniProt Consortium]
| Keywords: | Anti-H2AX, Anti-H2AFX, Anti-H2a/x, Anti-Histone H2AX, Anti-Histone H2A.X |
| Supplier: | Bethyl Laboratories |
| Supplier-Nr: | A300-081A |
Properties
| Application: | WB, IHC, ICC-IF |
| Antibody Type: | Polyclonal |
| Conjugate: | No |
| Host: | Rabbit |
| Species reactivity: | human, mouse (Expected: bovine, dog, rabbit, guinea pig_10141, pig, rhesus monkey, gorilla, crab-eating macaque, chinese hamster, thirteen-lined ground squirrel, little brown bat) |
| Immunogen: | synthetic peptide. The epitope recongized by A300-081A-T maps to a region surrounding phosphorylated serine 139 of human histone H2AX using the numbering given for Swiss-Prot entry P16104 (GeneID 3014) |
| Format: | Antigen Affinity Purified |
Database Information
| KEGG ID : | K11251 | Matching products |
| UniProt ID : | P16104 | Matching products |
| Gene ID : | GeneID 3014 | Matching products |
Handling & Safety
| Storage: | +4°C |
| Shipping: | +4°C (International: +4°C) |
Caution
Our products are for laboratory research use only: Not for administration to humans!
Our products are for laboratory research use only: Not for administration to humans!
Information about the product reference will follow.
more
You will get a certificate here
Viewed