Cookie preferences
This website uses cookies, which are necessary for the technical operation of the website and are always set. Other cookies, which increase the comfort when using this website, are used for direct advertising or to facilitate interaction with other websites and social networks, are only set with your consent.
Configuration
Technically required
These cookies are necessary for the basic functions of the shop.
"Allow all cookies" cookie
"Decline all cookies" cookie
CSRF token
Cookie preferences
Currency change
Customer-specific caching
FACT-Finder tracking
Individual prices
Selected shop
Session
Comfort functions
These cookies are used to make the shopping experience even more appealing, for example for the recognition of the visitor.
Note
Show the facebook fanpage in the right blod sidebar
Statistics & Tracking
Affiliate program
Conversion and usertracking via Google Tag Manager
Track device being used
| Item number | Size | Datasheet | Manual | SDS | Delivery time | Quantity | Price |
|---|---|---|---|---|---|---|---|
| NSJ-RZ1208 | 100 µg | - | - |
3 - 10 business days* |
948.00€
|
If you have any questions, please use our Contact Form.
You can also order by e-mail: info@biomol.com
Larger quantity required? Request bulk
You can also order by e-mail: info@biomol.com
Larger quantity required? Request bulk
0.5mg/ml if reconstituted with 0.2ml sterile DI water. Caspase 9 is a key initiator caspase in... more
Product information "Anti-Zebrafish Caspase 9 / Casp9"
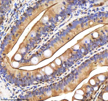
0.5mg/ml if reconstituted with 0.2ml sterile DI water. Caspase 9 is a key initiator caspase in the intrinsic (mitochondrial) apoptotic pathway, responsible for activating downstream effector caspases and orchestrating programmed cell death. In zebrafish (Danio rerio), Caspase 9 plays a conserved role in regulating apoptosis during embryonic development, as well as in maintaining tissue homeostasis and responding to cellular stress.Following mitochondrial outer membrane permeabilization, cytochrome c is released into the cytosol, leading to the formation of the apoptosome complex. Caspase 9 is recruited and activated within this complex, initiating a proteolytic cascade that culminates in the activation of effector caspases such as Caspase 3 and Caspase 7. In zebrafish, casp9 is expressed in multiple tissues during development and is crucial for eliminating damaged, mis-specified, or excess cells.Zebrafish Caspase 9 is widely used in research on cell death mechanisms, neurodevelopment, cancer biology, and toxicology, providing an in vivo model to study mitochondria-mediated apoptosis and the effects of pro- and anti-apoptotic signals. Due to its high degree of functional conservation with mammalian caspase-9, it serves as a valuable tool for both basic and translational research.
| Keywords: | Anti-casp9, Anti-Caspase-9, Anti-im:7136887, Anti-zgc:101776, EC=3.4.22.62, Anti-Apoptotic protease Mch-6, Anti-ICE-like apoptotic protease 6, Anti-Apoptotic protease-activating factor 3, Zebrafish Caspase 9 Antibody / Casp9 |
| Supplier: | NSJ Bioreagents |
| Supplier-Nr: | RZ1208 |
Properties
| Application: | WB, IHC (paraffin) |
| Antibody Type: | Polyclonal |
| Conjugate: | No |
| Host: | Rabbit |
| Species reactivity: | zebrafish |
| Immunogen: | E. coli-derived zebrafish Caspase 9 recombinant protein (amino acids K18-Q417) |
| Format: | Purified |
Database Information
| KEGG ID : | K04399 | Matching products |
| UniProt ID : | F1QSB1 | Matching products |
| Gene ID : | GeneID 492763 | Matching products |
Handling & Safety
| Storage: | +4°C |
| Shipping: | +4°C (International: +4°C) |
Caution
Our products are for laboratory research use only: Not for administration to humans!
Our products are for laboratory research use only: Not for administration to humans!
Information about the product reference will follow.
more
You will get a certificate here
Viewed