Cookie preferences
This website uses cookies, which are necessary for the technical operation of the website and are always set. Other cookies, which increase the comfort when using this website, are used for direct advertising or to facilitate interaction with other websites and social networks, are only set with your consent.
Configuration
Technically required
These cookies are necessary for the basic functions of the shop.
"Allow all cookies" cookie
"Decline all cookies" cookie
CSRF token
Cookie preferences
Currency change
Customer-specific caching
FACT-Finder tracking
Individual prices
Selected shop
Session
Comfort functions
These cookies are used to make the shopping experience even more appealing, for example for the recognition of the visitor.
Note
Show the facebook fanpage in the right blod sidebar
Statistics & Tracking
Affiliate program
Conversion and usertracking via Google Tag Manager
Track device being used
| Item number | Size | Datasheet | Manual | SDS | Delivery time | Quantity | Price |
|---|---|---|---|---|---|---|---|
| A300-549A-T | 10 µl (2 µg) | - |
2 - 8 business days* |
165.00€
|
|||
| A300-549A | 100 µl | - |
2 - 8 business days* |
586.00€
|
If you have any questions, please use our Contact Form.
You can also order by e-mail: info@biomol.com
Larger quantity required? Request bulk
You can also order by e-mail: info@biomol.com
Larger quantity required? Request bulk
Protein function: Plays a key role in the instruction of early lymphoid progenitors to develop... more
Product information "Anti-ZBTB7/FBI-1"
Protein function: Plays a key role in the instruction of early lymphoid progenitors to develop into B lineage by repressing T-cell instructive Notch signals. Specifically represses the transcription of the CDKN2A gene. Efficiently abrogates E2F1- dependent CDKN2A transactivation/de-repression. Binds to the consensus sequence 5'-[GA][CA]GACCCCCCCCC-3'. [The UniProt Consortium]
| Keywords: | Anti-FBI1, Anti-FBI-1, Anti-TIP21, Anti-ZBTB7A, Anti-Pokemon, Anti-Zinc finger protein 857A, Anti-HIV-1 1st-binding protein 1, Anti-TTF-I-interacting peptide 21, Anti-Factor binding IST protein 1, Anti-Leukemia/lymphoma-related factor |
| Supplier: | Bethyl Laboratories |
| Supplier-Nr: | A300-549A |
Properties
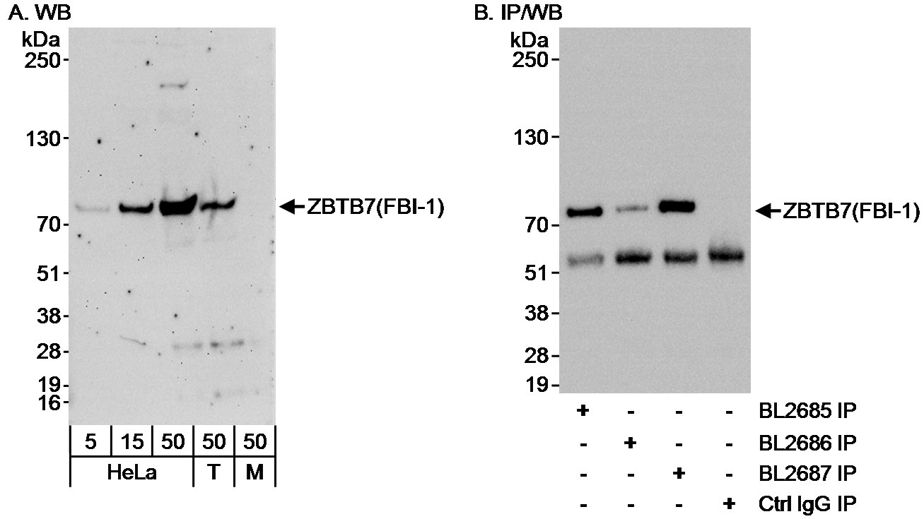
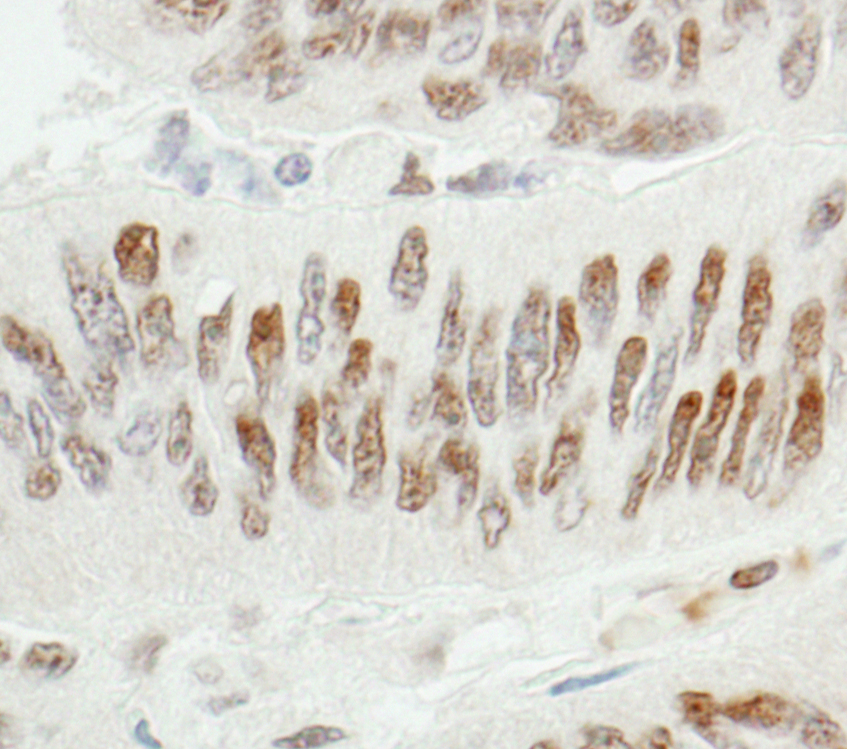
| Application: | WB, IP, IHC |
| Antibody Type: | Polyclonal |
| Conjugate: | No |
| Host: | Rabbit |
| Species reactivity: | human (Expected: rhesus monkey, chimpanzee, small-eared galago, northern white-cheeked gibbon) |
| Immunogen: | synthetic peptide. The epitope recognized by A300-549A-T maps to a region between residue 525 and the C-terminus (residue 584) of human ZBTB7 (Factor Binding IST protein 1) using the numbering given in entry NP_056982.1 (GeneID 51341). |
| Format: | Antigen Affinity Purified |
Database Information
| KEGG ID : | K10494 | Matching products |
| UniProt ID : | O95365 | Matching products |
| Gene ID : | GeneID 51341 | Matching products |
Handling & Safety
| Storage: | +4°C |
| Shipping: | +4°C (International: +4°C) |
Caution
Our products are for laboratory research use only: Not for administration to humans!
Our products are for laboratory research use only: Not for administration to humans!
Information about the product reference will follow.
more
You will get a certificate here
Viewed