Cookie preferences
This website uses cookies, which are necessary for the technical operation of the website and are always set. Other cookies, which increase the comfort when using this website, are used for direct advertising or to facilitate interaction with other websites and social networks, are only set with your consent.
Configuration
Technically required
These cookies are necessary for the basic functions of the shop.
"Allow all cookies" cookie
"Decline all cookies" cookie
CSRF token
Cookie preferences
Currency change
Customer-specific caching
FACT-Finder tracking
Individual prices
Selected shop
Session
Comfort functions
These cookies are used to make the shopping experience even more appealing, for example for the recognition of the visitor.
Note
Show the facebook fanpage in the right blod sidebar
Statistics & Tracking
Affiliate program
Conversion and usertracking via Google Tag Manager
Track device being used
| Item number | Size | Datasheet | Manual | SDS | Delivery time | Quantity | Price |
|---|---|---|---|---|---|---|---|
| NSJ-R32164 | 100 µg | - | - |
3 - 10 business days* |
790.00€
|
If you have any questions, please use our Contact Form.
You can also order by e-mail: info@biomol.com
Larger quantity required? Request bulk
You can also order by e-mail: info@biomol.com
Larger quantity required? Request bulk
0.5mg/ml if reconstituted with 0.2ml sterile DI water. YBX1 (Y box binding protein 1), commonly... more
Product information "Anti-YB1"
0.5mg/ml if reconstituted with 0.2ml sterile DI water. YBX1 (Y box binding protein 1), commonly referred to as YB-1 by researchers, is a human protein. YB1 binding has an absolute requirement for the CCAAT box and relative specificity for the Y box. It has a molecular mass of 35,414 and contains 18% basic residues and putative nuclear localization signals. The YBX1 gene is mapped on 1p34.2. Ybx1 was highly expressed in mouse erythroid myeloid lymphoid clone-1 (EML), a hematopoietic precursor cell line, but that it was downregulated in myeloid progenitors and in Gmcsf-treated EML cells during myeloid differentiation. Ybx1 was expressed at high levels in myeloid leukemic cells at different developmental stages. Knockdown of YBX1 in a human leukemic cell line inhibited proliferation ability, induced apoptosis, and induced megakaryocytic differentiation in response to arsenic trioxide treatment. YBX1 is downregulated during myeloid differentiation and aberrant YBX1 expression in leukemic cells may contribute to leukemia development by blocking differentiation. Protein function: DNA- and RNA-binding protein involved in various processes, such as translational repression, RNA stabilization, mRNA splicing, DNA repair and transcription regulation (PubMed:8188694, PubMed:10817758, PubMed:11698476, PubMed:14718551, PubMed:18809583, PubMed:31358969). Predominantly acts as a RNA-binding protein: binds preferentially to the 5'-[CU]CUGCG-3' RNA motif and specifically recognizes mRNA transcripts modified by C5-methylcytosine (m5C) (PubMed:19561594, PubMed:31358969). Promotes mRNA stabilization: acts by binding to m5C- containing mRNAs and recruiting the mRNA stability maintainer ELAVL1, thereby preventing mRNA decay (PubMed:10817758, PubMed:11698476, PubMed:31358969). Component of the CRD-mediated complex that promotes MYC mRNA stability (PubMed:19029303). Contributes to the regulation of translation by modulating the interaction between the mRNA and eukaryotic initiation factors. Plays a key role in RNA composition of extracellular exosomes by defining the sorting of small non-coding RNAs, such as tRNAs, Y RNAs, Vault RNAs and miRNAs (PubMed:27559612, PubMed:29073095). Probably sorts RNAs in exosomes by recognizing and binding C5-methylcytosine (m5C)-containing RNAs (PubMed:28341602, PubMed:29073095). Acts as a key effector of epidermal progenitors by preventing epidermal progenitor senescence: acts by regulating the translation of a senescence-associated subset of cytokine mRNAs, possibly by binding to m5C-containing mRNAs (PubMed:29712925). Also involved in pre-mRNA alternative splicing regulation: binds to splice sites in pre-mRNA and regulates splice site selection (PubMed:12604611). Also able to bind DNA: regulates transcription of the multidrug resistance gene MDR1 is enhanced in presence of the APEX1 acetylated form at 'Lys-6' and 'Lys-7' (PubMed:18809583). Binds to promoters that contain a Y-box (5'- CTGATTGGCCAA-3'), such as MDR1 and HLA class II genes (PubMed:8188694, PubMed:18809583). Promotes separation of DNA strands that contain mismatches or are modified by cisplatin (PubMed:14718551). Has endonucleolytic activity and can introduce nicks or breaks into double- stranded DNA, suggesting a role in DNA repair (PubMed:14718551). The secreted form acts as an extracellular mitogen and stimulates cell migration and proliferation (PubMed:19483673). [The UniProt Consortium]
| Keywords: | Anti-DBPB, Anti-YB-1, Anti-EFI-A, Anti-CBF-A, Anti-DNA-binding protein B, Anti-Y-box-binding protein 1, Anti-Y-box transcription factor, Anti-Enhancer factor I subunit A, Anti-Nuclease-sensitive element-binding protein 1, YB1 Antibody |
| Supplier: | NSJ Bioreagents |
| Supplier-Nr: | R32164 |
Properties
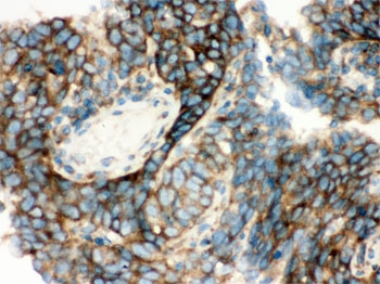
| Application: | WB, IHC (paraffin), (IF), IF, FC |
| Antibody Type: | Polyclonal |
| Conjugate: | No |
| Host: | Rabbit |
| Species reactivity: | human, mouse, rat |
| Immunogen: | Amino acids ENPKPQDGKETKAADPPAENSSAPEAEQ of human YB1 |
| Format: | Purified |
Database Information
| KEGG ID : | K09276 | Matching products |
| UniProt ID : | P67809 | Matching products |
| Gene ID : | GeneID 4904 | Matching products |
Handling & Safety
| Storage: | -20°C |
| Shipping: | -20°C (International: -20°C) |
Caution
Our products are for laboratory research use only: Not for administration to humans!
Our products are for laboratory research use only: Not for administration to humans!
Information about the product reference will follow.
more
You will get a certificate here
Viewed