Anti-VMAT2 / SLC18A2, clone SLC18A2/7983

Item number Size Datasheet Manual SDS Delivery time Quantity Price
NSJ-V4123-20UG 20 µg - -

3 - 10 business days*

375.00€
NSJ-V4123-100UG 100 µg - -

3 - 10 business days*

810.00€
 
0.2 mg/ml in 1X PBS with 0.1 mg/ml BSA (US sourced), 0.05% sodium azide. Neurotransmission... more
Product information "Anti-VMAT2 / SLC18A2, clone SLC18A2/7983"
0.2 mg/ml in 1X PBS with 0.1 mg/ml BSA (US sourced), 0.05% sodium azide. Neurotransmission depends on the regulated exocytotic release of chemical transmitter molecules. This requires the packaging of these substances into the specialized secretory vesicles of neurons and neuroendocrine cells, a process mediated by specific vesicular transporters. The family of genes encoding the vesicular transporters of monoamines (VMAT 1 and VMAT 2) and acetylcholine (VACht) have been cloned and functionally characterized. The sequence of these integral membrane proteins predicts twelve transmembrane domains and weak homology to a class of bacterial antibiotic resistance proteins. The vesicular transport of neurotransmitter molecules has been shown to be an active ATP- and proton dependent transport mechanism. Protein function: Electrogenic antiporter that exchanges one cationic monoamine with two intravesicular protons across the membrane of secretory and synaptic vesicles. Uses the electrochemical proton gradient established by the V-type proton-pump ATPase to accumulate high concentrations of monoamines inside the vesicles prior to their release via exocytosis. Transports a variety of catecholamines such as dopamine, adrenaline and noradrenaline, histamine, and indolamines such as serotonin (PubMed:8643547, PubMed:23363473). Regulates the transvesicular monoaminergic gradient that determines the quantal size. Mediates somatodendritic dopamine release in hippocampal neurons, likely as part of a regulated secretory pathway that integrates retrograde synaptic signals. Acts as a primary transporter for striatal dopamine loading ensuring impulse-dependent release of dopamine at the synaptic cleft. Responsible for histamine and serotonin storage and subsequent corelease from mast cell granules (PubMed:8860238). [The UniProt Consortium]
Keywords: Anti-VAT2, Anti-SVMT, Anti-SLC18A2, Anti-Monoamine transporter, Anti-Vesicular amine transporter 2, Anti-Solute carrier family 18 member 2, Anti-Synaptic vesicular amine transporter, VMAT2 Antibody / SLC18A2
Supplier: NSJ Bioreagents
Supplier-Nr: V4123

Properties

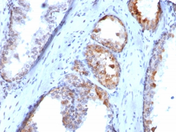
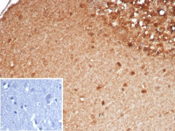
Application: IHC (paraffin)
Antibody Type: Monoclonal
Clone: SLC18A2/7983
Conjugate: No
Host: Mouse
Species reactivity: human
Immunogen: A recombinant fragment of human SLC18A2 protein
Format: Neuro & Channel Proteins

Handling & Safety

Storage: -20°C
Shipping: -20°C (International: -20°C)
Caution
Our products are for laboratory research use only: Not for administration to humans!
You will get a certificate here
or to request a certificate of analysis.
Read, write and discuss reviews... more
Customer review for "Anti-VMAT2 / SLC18A2, clone SLC18A2/7983"
Write a review
or to review a product.
Viewed