Anti-VDR

Item number Size Datasheet Manual SDS Delivery time Quantity Price
NSJ-R31945 100 µg - -

3 - 10 business days*

790.00€
 
0.5mg/ml if reconstituted with 0.2ml sterile DI water. VDR (Vitamin D Receptor), also known as... more
Product information "Anti-VDR"
0.5mg/ml if reconstituted with 0.2ml sterile DI water. VDR (Vitamin D Receptor), also known as Vitamin D Hormone Receptor, is a member of the nuclear receptor family of transcription factors. Labuda et al. (1991) assigned the VDR gene to 12q12-q14 by in situ hybridization. Using mutation analysis, Jurutka et al. (2000) characterized arg18/arg22, VDR residues immediately N-terminal of the first DNA-binding zinc finger, as vital for contact with the general transcription factor IIB (TFIIB). A natural polymorphic variant of VDR, termed F/M4 (missing a FokI restriction site), which lacks only the first 3 amino acids (including glu2), interacted more efficiently with TFIIB and also possessed elevated transcriptional activity compared with the full-length (f/M1) receptor. Shah et al. (2006) stated that the signaling and oncogenic activity of beta-catenin (CTNNB1) can be repressed by activation of VDR. Conversely, high levels of beta-catenin can potentiate the transcriptional activity of 1,25- dihydroxyvitamin D3. Protein function: Nuclear hormone receptor. Transcription factor that mediates the action of vitamin D3 by controlling the expression of hormone sensitive genes. Recruited to promoters via its interaction with BAZ1B/WSTF which mediates the interaction with acetylated histones, an essential step for VDR-promoter association. Plays a central role in calcium homeostasis. [The UniProt Consortium]
Keywords: Anti-VDR, Anti-NR1I1, Anti-Vitamin D3 receptor, Anti-1,25-dihydroxyvitamin D3 receptor, Anti-Nuclear receptor subfamily 1 group I member 1, VDR Antibody
Supplier: NSJ Bioreagents
Supplier-Nr: R31945

Properties

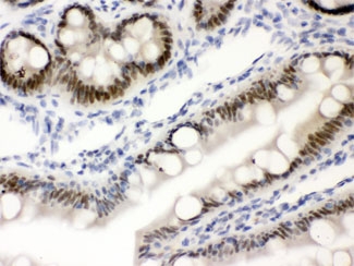
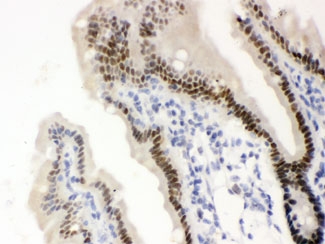
Application: WB, IHC (paraffin)
Antibody Type: Polyclonal
Conjugate: No
Host: Rabbit
Species reactivity: human, mouse, rat
Immunogen: Amino acids HLLYAKMIQKLADLRSLNEEHSKQYR of human VDR were used as the immunogen for the VDR antibody.
Format: Purified

Handling & Safety

Storage: -20°C
Shipping: -20°C (International: -20°C)
Caution
Our products are for laboratory research use only: Not for administration to humans!
You will get a certificate here
or to request a certificate of analysis.
Read, write and discuss reviews... more
Customer review for "Anti-VDR"
Write a review
or to review a product.
Viewed