Cookie preferences
This website uses cookies, which are necessary for the technical operation of the website and are always set. Other cookies, which increase the comfort when using this website, are used for direct advertising or to facilitate interaction with other websites and social networks, are only set with your consent.
Configuration
Technically required
These cookies are necessary for the basic functions of the shop.
"Allow all cookies" cookie
"Decline all cookies" cookie
CSRF token
Cookie preferences
Currency change
Customer-specific caching
FACT-Finder tracking
Individual prices
Selected shop
Session
Comfort functions
These cookies are used to make the shopping experience even more appealing, for example for the recognition of the visitor.
Note
Show the facebook fanpage in the right blod sidebar
Statistics & Tracking
Affiliate program
Conversion and usertracking via Google Tag Manager
Track device being used
| Item number | Size | Datasheet | Manual | SDS | Delivery time | Quantity | Price |
|---|---|---|---|---|---|---|---|
| NSJ-FY12193 | 100 µg | - | - |
3 - 10 business days* |
790.00€
|
If you have any questions, please use our Contact Form.
You can also order by e-mail: info@biomol.com
Larger quantity required? Request bulk
You can also order by e-mail: info@biomol.com
Larger quantity required? Request bulk
Adding 0.2 ml of distilled water will yield a concentration of 500 ug/ml. TYRO3 antibody detects... more
Product information "Anti-TYRO3 / TYRO3 protein tyrosine kinase"
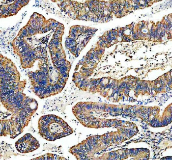
Adding 0.2 ml of distilled water will yield a concentration of 500 ug/ml. TYRO3 antibody detects TYRO3 protein tyrosine kinase, encoded by the TYRO3 gene on chromosome 15q15.1. TYRO3 antibody is widely applied in studies of receptor tyrosine kinase signaling, cell survival, and immune regulation. TYRO3 is part of the TAM receptor family, which also includes AXL and MERTK. It functions as a receptor for ligands such as Gas6 and Protein S, activating intracellular signaling pathways that regulate cell proliferation, survival, phagocytosis, and immune modulation. Expression is broad, with high levels in brain, reproductive tissues, and immune cells.Structurally, TYRO3 is a type I transmembrane protein with extracellular immunoglobulin-like domains that mediate ligand binding, followed by fibronectin type III domains, a single transmembrane helix, and an intracellular tyrosine kinase domain. Upon ligand binding, TYRO3 undergoes autophosphorylation and recruits signaling molecules including PI3K, GRB2, and SRC family kinases. These interactions activate pathways such as PI3K-AKT and MAPK, promoting survival and proliferation.Functionally, TYRO3 contributes to tissue homeostasis by supporting cell survival, clearance of apoptotic cells, and regulation of immune responses. In neurons, it promotes survival and myelination. In immune cells, TYRO3 suppresses excessive inflammatory responses, maintaining tolerance and preventing autoimmunity. In reproductive biology, it supports spermatogenesis and fertility. Knockout models show neurological defects, immune dysregulation, and reproductive impairment. Researchers use TYRO3 antibody to study tyrosine kinase signaling, neural survival, and immune regulation.Clinically, TYRO3 dysregulation is linked to cancer, autoimmune disease, and neurodegeneration. Overexpression of TYRO3 supports survival and drug resistance in cancers such as melanoma, glioblastoma, and breast cancer. In contrast, reduced TYRO3 signaling contributes to multiple sclerosis and lupus, where clearance of apoptotic cells is impaired. TYRO3 also has neuroprotective roles, with reduced activity associated with Parkinson's and Alzheimer's disease. NSJ Bioreagents offers TYRO3 antibody as a validated reagent for oncology, neurobiology, and immunology research.Experimentally, TYRO3 antibody is applied in western blotting to detect the ~140 kDa protein, in immunohistochemistry to assess expression in tumors or brain tissue, and in immunofluorescence microscopy to study receptor localization. Immunoprecipitation with TYRO3 antibody reveals signaling complexes with ligands and kinases, providing insight into downstream pathways.
| Keywords: | Anti-TYRO3, Anti-Tyrosine-protein kinase SKY, Anti-Tyrosine-protein kinase RSE, Anti-Tyrosine-protein kinase BYK, Anti-Tyrosine-protein kinase TIF, Anti-Tyrosine-protein kinase DTK, Anti-Tyrosine-protein kinase receptor TYRO3, TYRO3 Antibody / TYRO3 prote |
| Supplier: | NSJ Bioreagents |
| Supplier-Nr: | FY12193 |
Properties
| Application: | WB, IHC, ELISA |
| Antibody Type: | Polyclonal |
| Conjugate: | No |
| Host: | Rabbit |
| Species reactivity: | human, mouse, rat |
| Immunogen: | E.coli-derived human TYRO3 recombinant protein (Position: A48-Q882) |
| Format: | Purified |
Database Information
| KEGG ID : | K05116 | Matching products |
| UniProt ID : | Q06418 | Matching products |
| Gene ID : | GeneID 7301 | Matching products |
Handling & Safety
| Storage: | +4°C |
| Shipping: | +4°C (International: +4°C) |
Caution
Our products are for laboratory research use only: Not for administration to humans!
Our products are for laboratory research use only: Not for administration to humans!
Information about the product reference will follow.
more
You will get a certificate here
Viewed