Cookie preferences
This website uses cookies, which are necessary for the technical operation of the website and are always set. Other cookies, which increase the comfort when using this website, are used for direct advertising or to facilitate interaction with other websites and social networks, are only set with your consent.
Configuration
Technically required
These cookies are necessary for the basic functions of the shop.
"Allow all cookies" cookie
"Decline all cookies" cookie
CSRF token
Cookie preferences
Currency change
Customer-specific caching
FACT-Finder tracking
Individual prices
Selected shop
Session
Comfort functions
These cookies are used to make the shopping experience even more appealing, for example for the recognition of the visitor.
Note
Show the facebook fanpage in the right blod sidebar
Statistics & Tracking
Affiliate program
Conversion and usertracking via Google Tag Manager
Track device being used
| Item number | Size | Datasheet | Manual | SDS | Delivery time | Quantity | Price |
|---|---|---|---|---|---|---|---|
| NSJ-FY12093 | 100 µg | - | - |
3 - 10 business days* |
790.00€
|
If you have any questions, please use our Contact Form.
You can also order by e-mail: info@biomol.com
Larger quantity required? Request bulk
You can also order by e-mail: info@biomol.com
Larger quantity required? Request bulk
Adding 0.2 ml of distilled water will yield a concentration of 500 ug/ml. TOP1MT antibody detects... more
Product information "Anti-TOP1MT / DNA topoisomerase 1 mitochondrial"
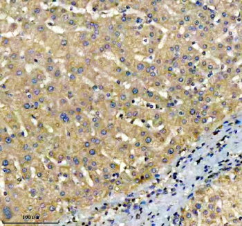
Adding 0.2 ml of distilled water will yield a concentration of 500 ug/ml. TOP1MT antibody detects DNA topoisomerase 1 mitochondrial, encoded by the TOP1MT gene. DNA topoisomerase 1 mitochondrial is an enzyme located in the mitochondrial matrix that relaxes supercoiled mitochondrial DNA, enabling replication, transcription, and repair. TOP1MT antibody provides researchers with a specific reagent for studying mitochondrial DNA metabolism, genome maintenance, and disease.DNA topoisomerase 1 mitochondrial functions by introducing transient single-strand breaks in DNA, relieving torsional stress during replication and transcription. Research using TOP1MT antibody has shown that this enzyme maintains mitochondrial genome integrity by resolving supercoils generated during transcription of mitochondrial genes. Its activity is essential for proper mitochondrial gene expression and energy production.Studies with TOP1MT antibody have revealed that loss of TOP1MT disrupts mitochondrial transcription and translation, impairing oxidative phosphorylation. This leads to reduced ATP generation, altered mitochondrial morphology, and increased oxidative stress. These phenotypes underscore its central role in mitochondrial biology.Dysregulation of DNA topoisomerase 1 mitochondrial has been associated with human disease. Research using TOP1MT antibody has shown that variants can contribute to mitochondrial dysfunction, neuromuscular disorders, and cardiomyopathies. Furthermore, reduced TOP1MT activity exacerbates mitochondrial genome instability, linking it to degenerative and metabolic diseases.Beyond mitochondrial maintenance, TOP1MT has been implicated in cellular stress responses and cancer. Research using TOP1MT antibody has shown that altered expression influences sensitivity to chemotherapy agents targeting topoisomerases, suggesting potential relevance in therapeutic response.TOP1MT antibody is widely applied in immunohistochemistry, western blotting, and mitochondrial fractionation studies. Immunohistochemistry demonstrates mitochondrial localization, western blotting quantifies expression across tissues, and fractionation confirms enrichment in mitochondria. These applications make TOP1MT antibody indispensable in mitochondrial research.By supplying validated TOP1MT antibody reagents, NSJ Bioreagents supports studies into mitochondrial genome regulation, oxidative phosphorylation, and disease. Detection of DNA topoisomerase 1 mitochondrial provides researchers with insight into how mitochondrial enzymes preserve genome stability and energy metabolism.
| Keywords: | Anti-TOP1MT, Anti-DNA topoisomerase I, mitochondrial, TOP1MT Antibody / DNA topoisomerase 1 mitochondrial |
| Supplier: | NSJ Bioreagents |
| Supplier-Nr: | FY12093 |
Properties
| Application: | WB, IHC, FC, ELISA |
| Antibody Type: | Polyclonal |
| Conjugate: | No |
| Host: | Rabbit |
| Species reactivity: | human, mouse |
| Immunogen: | E.coli-derived human TOP1MT recombinant protein (Position: E18-F601) |
| Format: | Purified |
Database Information
| KEGG ID : | K03163 | Matching products |
| UniProt ID : | Q969P6 | Matching products |
| Gene ID : | GeneID 116447 | Matching products |
Handling & Safety
| Storage: | +4°C |
| Shipping: | +4°C (International: +4°C) |
Caution
Our products are for laboratory research use only: Not for administration to humans!
Our products are for laboratory research use only: Not for administration to humans!
Information about the product reference will follow.
more
You will get a certificate here
Viewed