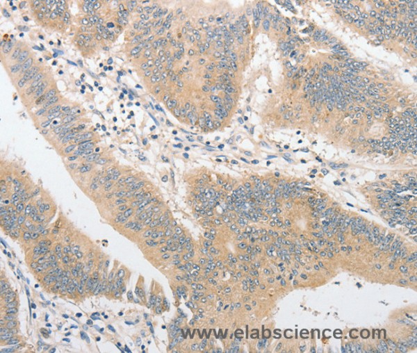
Anti-TLR4

Anti-TLR4
Item number Size Datasheet Manual SDS Delivery time Quantity Price
E-AB-10871.20 20 µl -

7 - 16 business days*

89.00€
E-AB-10871.60 60 µl -

7 - 16 business days*

174.00€
E-AB-10871.120 120 µl -

7 - 16 business days*

292.00€
E-AB-10871.200 200 µl -

7 - 16 business days*

485.00€
 
The protein encoded by this gene is a member of the Toll-like receptor (TLR) family which plays a... more
Product information "Anti-TLR4"
The protein encoded by this gene is a member of the Toll-like receptor (TLR) family which plays a fundamental role in pathogen recognition and activation of innate immunity. TLRs are highly conserved from Drosophila to humans and share structural and functional similarities. They recognize pathogen-associated molecular patterns that are expressed on infectious agents, and mediate the production of cytokines necessary for the development of effective immunity. The various TLRs exhibit different patterns of expression. This receptor has been implicated in signal transduction events induced by lipopolysaccharide (LPS) found in most gram-negative bacteria. Mutations in this gene have been associated with differences in LPS responsiveness. Protein function: Cooperates with LY96 and CD14 to mediate the innate immune response to bacterial lipopolysaccharide (LPS). Acts via MYD88, TIRAP and TRAF6, leading to NF-kappa-B activation, cytokine secretion and the inflammatory response (PubMed:9237759, PubMed:10835634). Also involved in LPS-independent inflammatory responses triggered by free fatty acids, such as palmitate, and Ni(2+). Responses triggered by Ni(2+) require non-conserved histidines and are, therefore, species-specific (PubMed:20711192). Both M.tuberculosis HSP70 (dnaK) and HSP65 (groEL-2) act via this protein to stimulate NF-kappa-B expression (PubMed:15809303). In complex with TLR6, promotes sterile inflammation in monocytes/macrophages in response to oxidized low-density lipoprotein (oxLDL) or amyloid-beta 42. In this context, the initial signal is provided by oxLDL- or amyloid-beta 42-binding to CD36. This event induces the formation of a heterodimer of TLR4 and TLR6, which is rapidly internalized and triggers inflammatory response, leading to the NF-kappa-B-dependent production of CXCL1, CXCL2 and CCL9 cytokines, via MYD88 signaling pathway, and CCL5 cytokine, via TICAM1 signaling pathway, as well as IL1B secretion. Binds electronegative LDL (LDL(-)) and mediates the cytokine release induced by LDL(-) (PubMed:23880187). Stimulation of monocytes in vitro with M.tuberculosis PstS1 induces p38 MAPK and ERK1/2 activation primarily via TLR2, but also partially via this receptor (PubMed:16622205). [The UniProt Consortium]
Keywords: Anti-TLR4, Anti-CD284, Anti-hToll, Anti-Toll-like receptor 4, TLR4 Polyclonal Antibody
Supplier: Elabscience
Supplier-Nr: E-AB-10871

Properties

Application: IHC, ELISA
Antibody Type: Polyclonal
Conjugate: No
Host: Rabbit
Species reactivity: human
Immunogen: Recombinant protein of human TLR4
Format: Purified

Handling & Safety

Storage: -20°C
Shipping: 4°C (International: -20°C)
Caution
Our products are for laboratory research use only: Not for administration to humans!
You will get a certificate here
or to request a certificate of analysis.
Read, write and discuss reviews... more
Customer review for "Anti-TLR4"
Write a review
or to review a product.
Viewed