Cookie preferences
This website uses cookies, which are necessary for the technical operation of the website and are always set. Other cookies, which increase the comfort when using this website, are used for direct advertising or to facilitate interaction with other websites and social networks, are only set with your consent.
Configuration
Technically required
These cookies are necessary for the basic functions of the shop.
"Allow all cookies" cookie
"Decline all cookies" cookie
CSRF token
Cookie preferences
Currency change
Customer-specific caching
FACT-Finder tracking
Individual prices
Selected shop
Session
Comfort functions
These cookies are used to make the shopping experience even more appealing, for example for the recognition of the visitor.
Note
Show the facebook fanpage in the right blod sidebar
Statistics & Tracking
Affiliate program
Conversion and usertracking via Google Tag Manager
Track device being used
| Item number | Size | Datasheet | Manual | SDS | Delivery time | Quantity | Price |
|---|---|---|---|---|---|---|---|
| NSJ-FY12583 | 100 µg | - | - |
3 - 10 business days* |
790.00€
|
If you have any questions, please use our Contact Form.
You can also order by e-mail: info@biomol.com
Larger quantity required? Request bulk
You can also order by e-mail: info@biomol.com
Larger quantity required? Request bulk
Adding 0.2 ml of distilled water will yield a concentration of 500 ug/ml. SOS1 antibody detects... more
Product information "Anti-SOS1 / Son of sevenless 1"
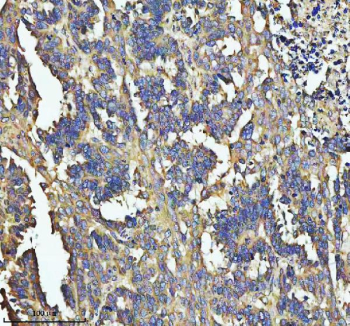
Adding 0.2 ml of distilled water will yield a concentration of 500 ug/ml. SOS1 antibody detects Son of sevenless homolog 1, a guanine nucleotide exchange factor (GEF) that activates Ras and Rac GTPases, serving as a critical link between receptor tyrosine kinases and downstream signaling cascades. SOS1 catalyzes the exchange of GDP for GTP on Ras, thereby triggering MAPK and PI3K pathway activation. The SOS1 antibody is widely used in cell signaling, oncology, and developmental biology to study Ras-mediated signal transduction and growth control.SOS1 is encoded by the SOS1 gene on human chromosome 2p22.1. The protein is approximately 1333 amino acids long and consists of several domains: an N-terminal histone-like fold, a Dbl homology (DH) domain, a pleckstrin homology (PH) domain, and a C-terminal catalytic region responsible for Ras activation. SOS1 is recruited to the plasma membrane through interaction with adaptor proteins such as GRB2 following growth factor stimulation.The SOS1 antibody detects a 155 kilodalton protein in western blot assays and shows cytoplasmic and membrane localization by immunofluorescence. Upon receptor activation, SOS1 facilitates Ras activation at the plasma membrane, leading to phosphorylation of ERK and other downstream targets. Through its DH-PH domains, SOS1 also activates Rac, linking actin cytoskeleton remodeling to growth factor signaling.SOS1 plays essential roles in development, cell proliferation, and differentiation. Germline mutations in SOS1 cause Noonan syndrome, a developmental disorder characterized by short stature and congenital heart defects. In cancer, overexpression or dysregulation of SOS1 contributes to aberrant Ras activation and uncontrolled growth signaling. Its activity is finely tuned by feedback loops involving phosphorylation, ubiquitination, and membrane recruitment dynamics.Because of its central position in the Ras signaling cascade, SOS1 is a valuable target for understanding receptor-driven proliferation and oncogenic transformation. NSJ Bioreagents provides a validated SOS1 antibody optimized for its applications, supporting research into Ras activation, MAPK pathway signaling, and cell differentiation control.
| Keywords: | Anti-SOS1, Anti-Son of sevenless homolog 1, SOS1 Antibody / Son of sevenless 1 |
| Supplier: | NSJ Bioreagents |
| Supplier-Nr: | FY12583 |
Properties
| Application: | WB, IHC, FC, ELISA |
| Antibody Type: | Polyclonal |
| Conjugate: | No |
| Host: | Rabbit |
| Species reactivity: | human, mouse, rat |
| Immunogen: | E.coli-derived human SOS1 recombinant protein (Position: H177-A1288) |
| Format: | Purified |
Database Information
| KEGG ID : | K03099 | Matching products |
| UniProt ID : | Q07889 | Matching products |
| Gene ID : | GeneID 6654 | Matching products |
Handling & Safety
| Storage: | +4°C |
| Shipping: | +4°C (International: +4°C) |
Caution
Our products are for laboratory research use only: Not for administration to humans!
Our products are for laboratory research use only: Not for administration to humans!
Information about the product reference will follow.
more
You will get a certificate here
Viewed