Cookie preferences
This website uses cookies, which are necessary for the technical operation of the website and are always set. Other cookies, which increase the comfort when using this website, are used for direct advertising or to facilitate interaction with other websites and social networks, are only set with your consent.
Configuration
Technically required
These cookies are necessary for the basic functions of the shop.
"Allow all cookies" cookie
"Decline all cookies" cookie
CSRF token
Cookie preferences
Currency change
Customer-specific caching
FACT-Finder tracking
Individual prices
Selected shop
Session
Comfort functions
These cookies are used to make the shopping experience even more appealing, for example for the recognition of the visitor.
Note
Show the facebook fanpage in the right blod sidebar
Statistics & Tracking
Affiliate program
Conversion and usertracking via Google Tag Manager
Track device being used
| Item number | Size | Datasheet | Manual | SDS | Delivery time | Quantity | Price |
|---|---|---|---|---|---|---|---|
| REV-31-1158-00-R100 | 100 µl | - | - |
3 - 9 business days* |
541.00€
|
If you have any questions, please use our Contact Form.
You can also order by e-mail: info@biomol.com
Larger quantity required? Request bulk
You can also order by e-mail: info@biomol.com
Larger quantity required? Request bulk
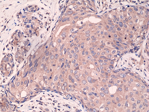
Recombinant Antibody. This antibody reacts to human Smad4. This antibody may also react to mouse... more
Product information "Anti-Smad4 (human), Rabbit Monoclonal (RM277)"
Recombinant Antibody. This antibody reacts to human Smad4. This antibody may also react to mouse or rat Smad4, as predicted by immunogen homology. Applications: WB, IHC. Source: Rabbit. Liquid. 50% Glycerol/PBS with 1% BSA and 0.09% sodium azide. Members of the Smad family of signal transduction molecules are components of a critical intracellular pathway that transmits TGF-beta signals from the cell surface into the nucleus. Three distinct classes of Smads have been defined: the receptor-regulated Smads (R-Smads), which include Smad1, 2, 3, 5, 8, the common-mediator Smad (co-Smad), Smad4, and the antagonistic or inhibitory Smads (I-Smads), Smad6 and 7. Binding of the TGF-beta superfamily of ligands that includes Transforming Growth Factor-beta (TGF-beta) and bone morphogenetic protein (BMP) to its cognate receptor allows phosphorylation of Smad 1, 2, 3, 5 and 8 (R-Smad, Receptor Smad). This signals for heterotrimerization with Smad4 (co-Smad, co-mediator Smad) and translocation of the complex to the nucleus. Inhibitory or antagonistic Smad (I-Smad) that includes Smad 6 and 7, interact with activated R-Smads and attenuate the signaling pathway. Smad4 acts as a tumor suppressor protein by transcriptionally regulating its target genes such as Cyclin D1 (downregulation) and collagen (upregulation) that inhibit cell proliferation. Dephosphorylation regulates nuclear export and nucleocytoplasmic dynamics of Smads.
| Keywords: | DPC4, Smad4, SMAD4, hSMAD4, SMAD 4, MAD Homolog 4, SMAD Family Member 4, Mothers Against DPP Homolog 4, Mothers Against Decapentaplegic Homolog 4, Deletion Target in Pancreatic Carcinoma 4 |
| Supplier: | RevMAb Biosciences |
| Supplier-Nr: | 31-1158-00 |
Properties
| Application: | WB, IHC |
| Antibody Type: | Monoclonal |
| Clone: | RM277 |
| Conjugate: | No |
| Host: | Rabbit |
| Species reactivity: | human |
| Format: | Purified |
Database Information
| KEGG ID : | K04501 | Matching products |
| UniProt ID : | Q13485 | Matching products |
| Gene ID : | GeneID 4089 | Matching products |
Handling & Safety
| Storage: | -20°C |
| Shipping: | +4°C (International: +4°C) |
Caution
Our products are for laboratory research use only: Not for administration to humans!
Our products are for laboratory research use only: Not for administration to humans!
Information about the product reference will follow.
more
You will get a certificate here
Viewed