Cookie preferences
This website uses cookies, which are necessary for the technical operation of the website and are always set. Other cookies, which increase the comfort when using this website, are used for direct advertising or to facilitate interaction with other websites and social networks, are only set with your consent.
Configuration
Technically required
These cookies are necessary for the basic functions of the shop.
"Allow all cookies" cookie
"Decline all cookies" cookie
CSRF token
Cookie preferences
Currency change
Customer-specific caching
FACT-Finder tracking
Individual prices
Selected shop
Session
Comfort functions
These cookies are used to make the shopping experience even more appealing, for example for the recognition of the visitor.
Note
Show the facebook fanpage in the right blod sidebar
Statistics & Tracking
Affiliate program
Conversion and usertracking via Google Tag Manager
Track device being used
| Item number | Size | Datasheet | Manual | SDS | Delivery time | Quantity | Price |
|---|---|---|---|---|---|---|---|
| NSJ-FY12494 | 100 µl | - | - |
3 - 10 business days* |
790.00€
|
If you have any questions, please use our Contact Form.
You can also order by e-mail: info@biomol.com
Larger quantity required? Request bulk
You can also order by e-mail: info@biomol.com
Larger quantity required? Request bulk
Adding 0.2 ml of distilled water will yield a concentration of 500 ug/ml. SLC7A11 antibody... more
Product information "Anti-SLC7A11 / XCT / Solute carrier family 7 member 11"
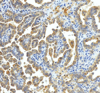
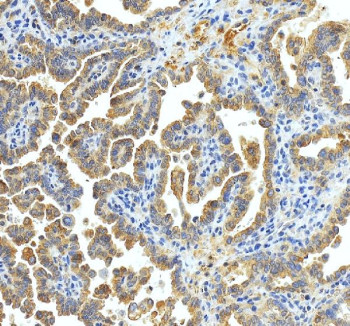
Adding 0.2 ml of distilled water will yield a concentration of 500 ug/ml. SLC7A11 antibody detects Solute carrier family 7 member 11, a cystine/glutamate antiporter subunit that mediates cellular cystine uptake in exchange for intracellular glutamate export. SLC7A11, also known as xCT, forms part of the system Xc- transporter complex, playing an essential role in maintaining redox balance through glutathione synthesis. The SLC7A11 antibody is widely used in cancer, neurobiology, and oxidative stress research to investigate mechanisms of redox regulation and ferroptosis resistance.SLC7A11 is encoded by the SLC7A11 gene located on human chromosome 4q28.3. The protein is approximately 55 kilodaltons and partners with the heavy chain subunit SLC3A2 (4F2hc) to form a functional heterodimeric transporter. This complex mediates sodium-independent cystine uptake coupled to glutamate export. Cystine is rapidly reduced intracellularly to cysteine, a rate-limiting precursor for glutathione synthesis, which protects cells from oxidative stress. SLC7A11 activity is therefore tightly linked to redox homeostasis and cellular antioxidant capacity.The SLC7A11 antibody typically detects a 55 kilodalton protein by western blot, with strong expression in the plasma membrane and perinuclear compartments. It is transcriptionally regulated by NRF2 under oxidative stress and suppressed by p53 during stress-induced ferroptosis. Overexpression of SLC7A11 confers resistance to ferroptosis, a form of iron-dependent cell death caused by lipid peroxidation. Conversely, inhibition of SLC7A11 sensitizes cells to oxidative damage and promotes ferroptotic death, making it a key therapeutic target in oncology.Functionally, SLC7A11 expression is elevated in various cancers, including lung, breast, and pancreatic tumors, where it supports tumor growth by enhancing glutathione synthesis and metabolic reprogramming. It is also implicated in neurodegenerative diseases and ischemic injury through its role in glutamate release and excitotoxicity. NSJ Bioreagents provides a validated SLC7A11 antibody, enabling high-specificity detection of cystine transporter expression in studies of metabolism, oxidative stress, and ferroptosis signaling.
| Keywords: | Anti-xCT, Anti-SLC7A11, Anti-Cystine/glutamate transporter, Anti-Amino acid transport system xc-, Anti-Solute carrier family 7 member 11, Anti-Calcium channel blocker resistance protein CCBR1, SLC7A11 Antibody / XCT / Solute carrier family 7 member 11 |
| Supplier: | NSJ Bioreagents |
| Supplier-Nr: | FY12494 |
Properties
| Application: | WB, IHC, ELISA |
| Antibody Type: | Polyclonal |
| Conjugate: | No |
| Host: | Rabbit |
| Species reactivity: | human, mouse, rat |
| Immunogen: | A peptide specific to the SLC7A11 protein |
| Format: | Purified |
Database Information
| KEGG ID : | K13869 | Matching products |
| UniProt ID : | Q9UPY5 | Matching products |
| Gene ID : | GeneID 23657 | Matching products |
Handling & Safety
| Storage: | +4°C |
| Shipping: | +4°C (International: +4°C) |
Caution
Our products are for laboratory research use only: Not for administration to humans!
Our products are for laboratory research use only: Not for administration to humans!
Information about the product reference will follow.
more
You will get a certificate here
Viewed