Cookie preferences
This website uses cookies, which are necessary for the technical operation of the website and are always set. Other cookies, which increase the comfort when using this website, are used for direct advertising or to facilitate interaction with other websites and social networks, are only set with your consent.
Configuration
Technically required
These cookies are necessary for the basic functions of the shop.
"Allow all cookies" cookie
"Decline all cookies" cookie
CSRF token
Cookie preferences
Currency change
Customer-specific caching
FACT-Finder tracking
Individual prices
Selected shop
Session
Comfort functions
These cookies are used to make the shopping experience even more appealing, for example for the recognition of the visitor.
Note
Show the facebook fanpage in the right blod sidebar
Statistics & Tracking
Affiliate program
Conversion and usertracking via Google Tag Manager
Track device being used
| Item number | Size | Datasheet | Manual | SDS | Delivery time | Quantity | Price |
|---|---|---|---|---|---|---|---|
| NSJ-RQ6906 | 100 µg | - | - |
3 - 10 business days* |
790.00€
|
If you have any questions, please use our Contact Form.
You can also order by e-mail: info@biomol.com
Larger quantity required? Request bulk
You can also order by e-mail: info@biomol.com
Larger quantity required? Request bulk
0.5mg/ml if reconstituted with 0.2ml sterile DI water. SLC25A51 gene ontology annotations related... more
Product information "Anti-SLC25A51/52 / MCART1/2"
0.5mg/ml if reconstituted with 0.2ml sterile DI water. SLC25A51 gene ontology annotations related to this gene include transmembrane transporter activity. Protein function: Mitochondrial membrane carrier protein that mediates the import of NAD(+) into mitochondria (PubMed:32906142, PubMed:33262325). Mitochondrial NAD(+) is required for glycolysis and mitochondrial respiration (PubMed:32906142, PubMed:33262325). Compared to SLC25A52, SLC25A51-mediated transport is essential for the import of NAD(+) in mitochondria (PubMed:32906142). [The UniProt Consortium]
| Keywords: | Anti-Solute carrier family 25 member 51, Anti-Mitochondrial NAD(+) transporter SLC25A51, Anti-Mitochondrial carrier triple repeat protein 1, Anti-Mitochondrial nicotinamide adenine dinucleotide transporter SLC25A51, SLC25A51/52 Antibody / MCART1/2 |
| Supplier: | NSJ Bioreagents |
| Supplier-Nr: | RQ6906 |
Properties
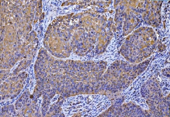
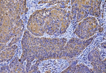
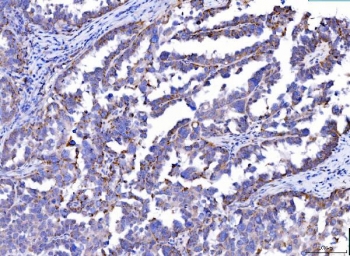
| Application: | WB, IHC (paraffin), IF, FC, Direct ELISA |
| Antibody Type: | Polyclonal |
| Conjugate: | No |
| Host: | Rabbit |
| Species reactivity: | human, mouse |
| Immunogen: | Recombinant human protein (amino acids M1-E291) |
| Format: | Neuro & Channel Proteins |
Database Information
| KEGG ID : | K04456 | Matching products |
| UniProt ID : | Q9H1U9 | Matching products |
| Gene ID : | GeneID 92014 | Matching products |
Handling & Safety
| Storage: | +4°C |
| Shipping: | +4°C (International: +4°C) |
Caution
Our products are for laboratory research use only: Not for administration to humans!
Our products are for laboratory research use only: Not for administration to humans!
Information about the product reference will follow.
more
You will get a certificate here
Viewed