Cookie preferences
This website uses cookies, which are necessary for the technical operation of the website and are always set. Other cookies, which increase the comfort when using this website, are used for direct advertising or to facilitate interaction with other websites and social networks, are only set with your consent.
Configuration
Technically required
These cookies are necessary for the basic functions of the shop.
"Allow all cookies" cookie
"Decline all cookies" cookie
CSRF token
Cookie preferences
Currency change
Customer-specific caching
FACT-Finder tracking
Individual prices
Selected shop
Session
Comfort functions
These cookies are used to make the shopping experience even more appealing, for example for the recognition of the visitor.
Note
Show the facebook fanpage in the right blod sidebar
Statistics & Tracking
Affiliate program
Conversion and usertracking via Google Tag Manager
Track device being used
| Item number | Size | Datasheet | Manual | SDS | Delivery time | Quantity | Price |
|---|---|---|---|---|---|---|---|
| IHC-00142-T | 10 µl (2500 ng) | - |
2 - 8 business days* |
165.00€
|
|||
| IHC-00142 | 100 µl (25 µg) | - |
2 - 8 business days* |
621.00€
|
If you have any questions, please use our Contact Form.
You can also order by e-mail: info@biomol.com
Larger quantity required? Request bulk
You can also order by e-mail: info@biomol.com
Larger quantity required? Request bulk
Protein function: Binds to scaffold/matrix attachment region (S/MAR) DNA and forms a molecular... more
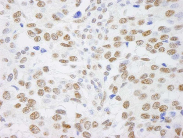
Product information "Anti-SAFB1 (IHC)"
Protein function: Binds to scaffold/matrix attachment region (S/MAR) DNA and forms a molecular assembly point to allow the formation of a 'transcriptosomal' complex (consisting of SR proteins and RNA polymerase II) coupling transcription and RNA processing. Can function as an estrogen receptor corepressor and can also bind to the HSP27 promoter and decrease its transcription. When associated with RBMX, binds to and stimulates transcription from the SREBF1 promoter. Can inhibit cell proliferation. [The UniProt Consortium]
| Keywords: | Anti-HAP, Anti-SAFB, Anti-SAF-B, Anti-SAF-B1, Anti-Scaffold attachment factor B1, Anti-HSP27 ERE-TATA-binding protein, Anti-HSP27 estrogen response element-TATA box-binding protein |
| Supplier: | Bethyl Laboratories |
| Supplier-Nr: | IHC-00142 |
Properties
| Application: | IHC |
| Antibody Type: | Polyclonal |
| Conjugate: | No |
| Host: | Rabbit |
| Species reactivity: | human, mouse (Expected: rabbit, orangutan, rhesus monkey, gorilla, chimpanzee, white-tufted-ear marmoset, crab-eating macaque, chinese hamster, thirteen-lined ground squirrel) |
| Immunogen: | synthetic peptide. The epitope recognized by IHC-00142 maps to a region between residues 875 and the C-terminus (residue 915) of human Scaffold Attachment Factor B using the numbering given in entry NP_002958.2 (GeneID 6294) |
| Format: | Antigen Affinity Purified |
Database Information
| UniProt ID : | Q15424 | Matching products |
| Gene ID : | GeneID 6294 | Matching products |
Handling & Safety
| Storage: | +4°C |
| Shipping: | +4°C (International: +4°C) |
Caution
Our products are for laboratory research use only: Not for administration to humans!
Our products are for laboratory research use only: Not for administration to humans!
Information about the product reference will follow.
more
You will get a certificate here
Viewed