Cookie preferences
This website uses cookies, which are necessary for the technical operation of the website and are always set. Other cookies, which increase the comfort when using this website, are used for direct advertising or to facilitate interaction with other websites and social networks, are only set with your consent.
Configuration
Technically required
These cookies are necessary for the basic functions of the shop.
"Allow all cookies" cookie
"Decline all cookies" cookie
CSRF token
Cookie preferences
Currency change
Customer-specific caching
FACT-Finder tracking
Individual prices
Selected shop
Session
Comfort functions
These cookies are used to make the shopping experience even more appealing, for example for the recognition of the visitor.
Note
Show the facebook fanpage in the right blod sidebar
Statistics & Tracking
Affiliate program
Conversion and usertracking via Google Tag Manager
Track device being used
| Item number | Size | Datasheet | Manual | SDS | Delivery time | Quantity | Price |
|---|---|---|---|---|---|---|---|
| NSJ-V7344SAF-100UG | 100 µg | - | - |
3 - 10 business days* |
810.00€
|
If you have any questions, please use our Contact Form.
You can also order by e-mail: info@biomol.com
Larger quantity required? Request bulk
You can also order by e-mail: info@biomol.com
Larger quantity required? Request bulk
1 mg/ml in 1X PBS, BSA free, sodium azide free. S100A4 belongs to the S100 super-family of... more
Product information "Anti-S100A4 / FSP1, clone S100A4/2750R"
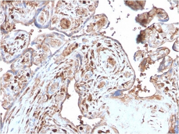
1 mg/ml in 1X PBS, BSA free, sodium azide free. S100A4 belongs to the S100 super-family of proteins containing 2 EF-hand calcium-binding domains. S100 genes include at least 25 members, including S100A1-S100A18, trichohyalin, filaggrin, repetin, S100P, and S100Z. S100A4 exerts its function via direct interaction with a number of proteins including P53, P63, non-muscle myosin IIA, 64 integrin, and liprin b1. S100A4 is overexpressed in highly metastatic cancers, which makes it useful as a marker of tumor progression.
| Keywords: | Anti-CAPL, Anti-S100A4, Anti-Metastasin, Anti-Calvasculin, Anti-Protein Mts1, Anti-Protein S100-A4, Anti-S100 calcium-binding protein A4, Anti-Placental calcium-binding protein, S100A4 Antibody / FSP1 |
| Supplier: | NSJ Bioreagents |
| Supplier-Nr: | V7344SAF |
Properties
| Application: | IHC (paraffin), WB |
| Antibody Type: | Monoclonal |
| Clone: | S100A4/2750R |
| Conjugate: | No |
| Host: | Rabbit |
| Species reactivity: | human, mouse |
| Immunogen: | A portion of amino acids 1-200 from the human protein |
| Format: | Purified |
Database Information
| KEGG ID : | K23761 | Matching products |
| UniProt ID : | P26447 | Matching products |
| Gene ID : | GeneID 6275 | Matching products |
Handling & Safety
| Storage: | +4°C |
| Shipping: | +4°C (International: +4°C) |
Caution
Our products are for laboratory research use only: Not for administration to humans!
Our products are for laboratory research use only: Not for administration to humans!
Information about the product reference will follow.
more
You will get a certificate here
Viewed