Cookie preferences
This website uses cookies, which are necessary for the technical operation of the website and are always set. Other cookies, which increase the comfort when using this website, are used for direct advertising or to facilitate interaction with other websites and social networks, are only set with your consent.
Configuration
Technically required
These cookies are necessary for the basic functions of the shop.
"Allow all cookies" cookie
"Decline all cookies" cookie
CSRF token
Cookie preferences
Currency change
Customer-specific caching
FACT-Finder tracking
Individual prices
Selected shop
Session
Comfort functions
These cookies are used to make the shopping experience even more appealing, for example for the recognition of the visitor.
Note
Show the facebook fanpage in the right blod sidebar
Statistics & Tracking
Affiliate program
Conversion and usertracking via Google Tag Manager
Track device being used
| Item number | Size | Datasheet | Manual | SDS | Delivery time | Quantity | Price |
|---|---|---|---|---|---|---|---|
| E-AN302114L.50 | 50 µl | - |
7 - 16 business days* |
304.00€
|
|||
| E-AN302114L.100 | 100 µl | - |
7 - 16 business days* |
464.00€
|
If you have any questions, please use our Contact Form.
You can also order by e-mail: info@biomol.com
Larger quantity required? Request bulk
You can also order by e-mail: info@biomol.com
Larger quantity required? Request bulk
The amino-terminal tails of core histones undergo lysine methylation in multiple sites, termed as... more
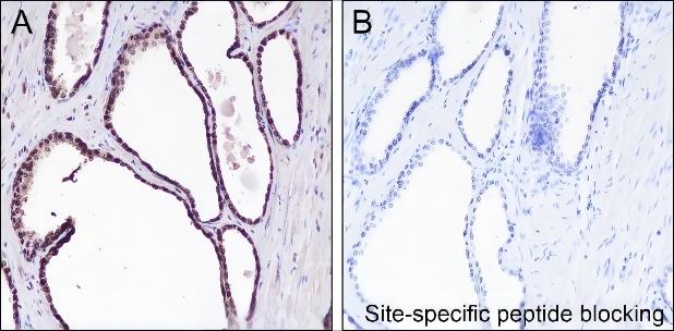
Product information "Anti-Recombinant Histone H4 (Mono Methyl Lys12), clone A838"
The amino-terminal tails of core histones undergo lysine methylation in multiple sites, termed as "histone code" or "epigenetic code". Lysine methylation in core histones is a major determinant for the formation of active and inactive regions of the genome and therefore plays vital roles in multiple cellular events. In most species, lysine methylation occurs primarily on histones H3 (Lys4, 9, 27, 36, 79) and H4 (Lys5, 8, 12, 20) and has been implicated in both transcriptional activation and silencing. Methylation in histones modulated by specific histone methyltransferases (HMTs) and histone demethylases (HDMs) is impaired in the pathologies of cancer and other diseases and therefore, enzymes regulating histone lysine methylation have become promising targets for anti-cancer drugs.
| Keywords: | Anti-H4C2, Anti-H4C8, Anti-H4C3, Anti-H4C5, Anti-H4C6, Anti-H4C4, Anti-H4C9, Anti-H4C1, Anti-H4C16, Anti-H4C14, Anti-H4C11, Anti-H4C13, Anti-H4C15, Anti-H4C12, Anti-Histone H4, Recombinant Histone H4 (Mono Methyl Lys12) Monoclonal Antibody |
| Supplier: | Elabscience |
| Supplier-Nr: | E-AN302114L |
Properties
| Application: | WB, IHC, IF, FCM, IP, ChIP |
| Antibody Type: | Monoclonal |
| Clone: | A838 |
| Conjugate: | No |
| Host: | Rabbit |
| Species reactivity: | human, rat, mouse |
| Immunogen: | Monomethylated human histone H4 (Lys12) peptide |
| MW: | 11 kD |
Database Information
| KEGG ID : | K11254 | Matching products |
| UniProt ID : | P62805 | Matching products |
| Gene ID : | GeneID 121504 | Matching products |
Handling & Safety
| Storage: | -20°C |
| Shipping: | -20°C (International: -20°C) |
| Signal Word: | Warning |
| GHS Hazard Pictograms: |
|
| H Phrases: | H317 |
| P Phrases: | P261, P272, P280, P302+352, P333+313 |
Caution
Our products are for laboratory research use only: Not for administration to humans!
Our products are for laboratory research use only: Not for administration to humans!
Information about the product reference will follow.
more
You will get a certificate here
Viewed