Cookie preferences
This website uses cookies, which are necessary for the technical operation of the website and are always set. Other cookies, which increase the comfort when using this website, are used for direct advertising or to facilitate interaction with other websites and social networks, are only set with your consent.
Configuration
Technically required
These cookies are necessary for the basic functions of the shop.
"Allow all cookies" cookie
"Decline all cookies" cookie
CSRF token
Cookie preferences
Currency change
Customer-specific caching
FACT-Finder tracking
Individual prices
Selected shop
Session
Comfort functions
These cookies are used to make the shopping experience even more appealing, for example for the recognition of the visitor.
Note
Show the facebook fanpage in the right blod sidebar
Statistics & Tracking
Affiliate program
Conversion and usertracking via Google Tag Manager
Track device being used
| Item number | Size | Datasheet | Manual | SDS | Delivery time | Quantity | Price |
|---|---|---|---|---|---|---|---|
| E-AN301395L.100 | 100 µl | - |
7 - 16 business days* |
391.00€
|
If you have any questions, please use our Contact Form.
You can also order by e-mail: info@biomol.com
Larger quantity required? Request bulk
You can also order by e-mail: info@biomol.com
Larger quantity required? Request bulk
Histones are basic nuclear proteins that are responsible for the nucleosome structure of the... more
Product information "Anti-Recombinant Histone H4 (Acetyl Lys16), clone 11A6"
Histones are basic nuclear proteins that are responsible for the nucleosome structure of the chromosomal fiber in eukaryotes. Two molecules of each of the four core histones (H2A, H2B, H3, and H4) form an octamer, around which approximately 146 bp of DNA is wrapped in repeating units, called nucleosomes. The linker histone, H1, interacts with linker DNA between nucleosomes and functions in the compaction of chromatin into higher order structures. This gene is intronless and encodes a replication-dependent histone that is a member of the histone H4 family. Transcripts from this gene lack polyA tails but instead contain a palindromic termination element. This gene is found in the histone microcluster on chromosome 6p21.33.
| Keywords: | Anti-H4C2, Anti-H4C8, Anti-H4C3, Anti-H4C5, Anti-H4C6, Anti-H4C4, Anti-H4C9, Anti-H4C1, Anti-H4C16, Anti-H4C14, Anti-H4C11, Anti-H4C13, Anti-H4C15, Anti-H4C12, Anti-Histone H4, Recombinant Histone H4 (Acetyl Lys16) Monoclonal Antibody |
| Supplier: | Elabscience |
| Supplier-Nr: | E-AN301395L |
Properties
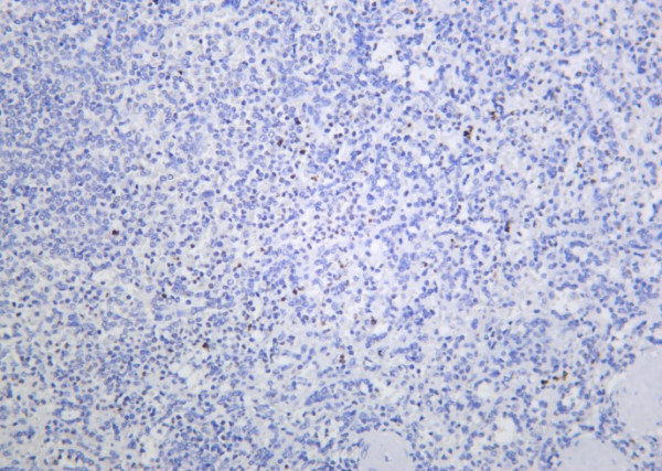
| Application: | IHC |
| Antibody Type: | Monoclonal |
| Clone: | 11A6 |
| Conjugate: | No |
| Host: | Rabbit |
| Species reactivity: | human, mouse, rat |
| Immunogen: | A synthetic peptide corresponding to residues around (Lys16) of Human Acetyl-Histone H4 |
Database Information
| KEGG ID : | K11254 | Matching products |
| UniProt ID : | P62805 | Matching products |
| Gene ID : | GeneID 121504 | Matching products |
Handling & Safety
| Storage: | -20°C |
| Shipping: | -20°C (International: -20°C) |
| Signal Word: | Warning |
| GHS Hazard Pictograms: |
|
| H Phrases: | H317 |
| P Phrases: | P261, P272, P280, P302+352, P333+313 |
Caution
Our products are for laboratory research use only: Not for administration to humans!
Our products are for laboratory research use only: Not for administration to humans!
Information about the product reference will follow.
more
You will get a certificate here
Viewed