Cookie preferences
This website uses cookies, which are necessary for the technical operation of the website and are always set. Other cookies, which increase the comfort when using this website, are used for direct advertising or to facilitate interaction with other websites and social networks, are only set with your consent.
Configuration
Technically required
These cookies are necessary for the basic functions of the shop.
"Allow all cookies" cookie
"Decline all cookies" cookie
CSRF token
Cookie preferences
Currency change
Customer-specific caching
FACT-Finder tracking
Individual prices
Selected shop
Session
Comfort functions
These cookies are used to make the shopping experience even more appealing, for example for the recognition of the visitor.
Note
Show the facebook fanpage in the right blod sidebar
Statistics & Tracking
Affiliate program
Conversion and usertracking via Google Tag Manager
Track device being used
| Item number | Size | Datasheet | Manual | SDS | Delivery time | Quantity | Price |
|---|---|---|---|---|---|---|---|
| E-AN301060L.50 | 50 µl | - |
7 - 16 business days* |
258.00€
|
|||
| E-AN301060L.100 | 100 µl | - |
7 - 16 business days* |
391.00€
|
If you have any questions, please use our Contact Form.
You can also order by e-mail: info@biomol.com
Larger quantity required? Request bulk
You can also order by e-mail: info@biomol.com
Larger quantity required? Request bulk
Cyclin dependent kinase 6(CDK6) Homo sapiens The protein encoded by this gene is a member of the... more
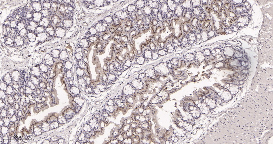
Product information "Anti-Recombinant CDK6, clone 8D8"
Cyclin dependent kinase 6(CDK6) Homo sapiens The protein encoded by this gene is a member of the cyclin-dependent protein kinase (CDK) family. CDK family members are highly similar to the gene products of Saccharomyces cerevisiae cdc28, and Schizosaccharomyces pombe cdc2, and are known to be important regulators of cell cycle progression. This kinase is a catalytic subunit of the protein kinase complex that is important for cell cycle G1 phase progression and G1/S transition. The activity of this kinase first appears in mid-G1 phase, which is controlled by the regulatory subunits including D-type cyclins and members of INK4 family of CDK inhibitors. This kinase, as well as CDK4, has been shown to phosphorylate, and thus regulate the activity of, tumor suppressor protein Rb. Expression of this gene is up-regulated in some types of cancer. Multiple alternatively spliced variants, encoding the same protein, have been identified.
| Keywords: | Anti-CDK6, Anti-Cyclin-dependent kinase 6, Anti-Cell division protein kinase 6, Anti-Serine/threonine-protein kinase PLSTIRE, Recombinant CDK6 Monoclonal Antibody |
| Supplier: | Elabscience |
| Supplier-Nr: | E-AN301060L |
Properties
| Application: | WB, IHC |
| Antibody Type: | Monoclonal |
| Clone: | 8D8 |
| Conjugate: | No |
| Host: | Rabbit |
| Species reactivity: | human |
| Immunogen: | Recombinant Human CDK6 protein |
| MW: | 37 kD |
Database Information
| KEGG ID : | K02091 | Matching products |
| UniProt ID : | Q00534 | Matching products |
| Gene ID : | GeneID 1021 | Matching products |
Handling & Safety
| Storage: | -20°C |
| Shipping: | -20°C (International: -20°C) |
| Signal Word: | Warning |
| GHS Hazard Pictograms: |
|
| H Phrases: | H317 |
| P Phrases: | P261, P272, P280, P302+352, P333+313 |
Caution
Our products are for laboratory research use only: Not for administration to humans!
Our products are for laboratory research use only: Not for administration to humans!
Information about the product reference will follow.
more
You will get a certificate here
Viewed