Cookie preferences
This website uses cookies, which are necessary for the technical operation of the website and are always set. Other cookies, which increase the comfort when using this website, are used for direct advertising or to facilitate interaction with other websites and social networks, are only set with your consent.
Configuration
Technically required
These cookies are necessary for the basic functions of the shop.
"Allow all cookies" cookie
"Decline all cookies" cookie
CSRF token
Cookie preferences
Currency change
Customer-specific caching
FACT-Finder tracking
Individual prices
Selected shop
Session
Comfort functions
These cookies are used to make the shopping experience even more appealing, for example for the recognition of the visitor.
Note
Show the facebook fanpage in the right blod sidebar
Statistics & Tracking
Affiliate program
Conversion and usertracking via Google Tag Manager
Track device being used
| Item number | Size | Datasheet | Manual | SDS | Delivery time | Quantity | Price |
|---|---|---|---|---|---|---|---|
| E-AN301880L.50 | 50 µl | - |
7 - 16 business days* |
304.00€
|
|||
| E-AN301880L.100 | 100 µl | - |
7 - 16 business days* |
464.00€
|
If you have any questions, please use our Contact Form.
You can also order by e-mail: info@biomol.com
Larger quantity required? Request bulk
You can also order by e-mail: info@biomol.com
Larger quantity required? Request bulk
Beta-tubulin is a protein that forms the backbone of cells. Tubulin can be divided into several... more
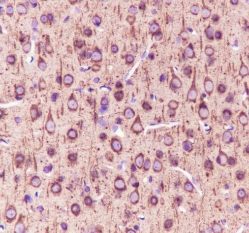
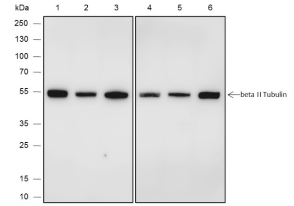
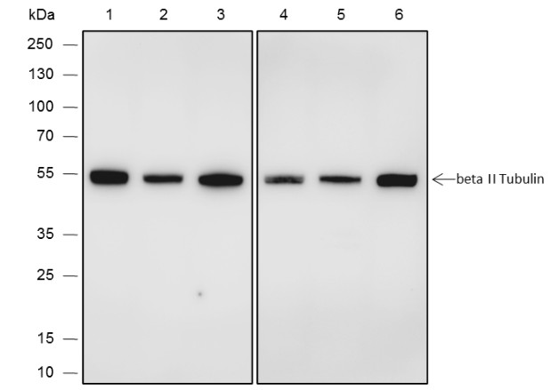
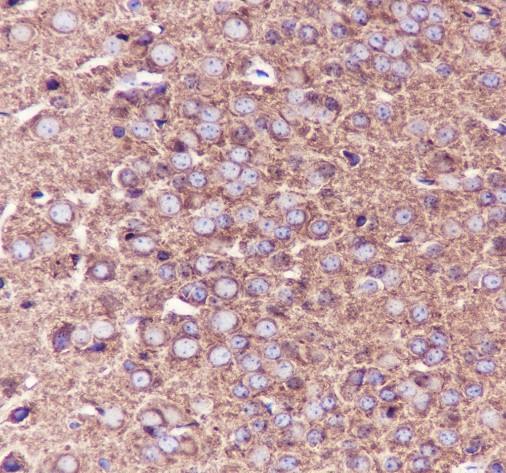
Product information "Anti-Recombinant beta II Tubulin, clone A592"
Beta-tubulin is a protein that forms the backbone of cells. Tubulin can be divided into several kinds of Tubulin, including alpha, beta, gamma, delta, and epsilon, among which alpha -tubulin and beta -tubulin can form heterodimers and are the two most important Tubulin for microtubule formation. The molecular weights of alpha-tubulin and beta-tubulin are 55kDa and 50kDa, respectively, and the actual detected bands are around 55kDa. As an internal reference protein, the protein levels of beta tubulin generally do not change. Therefore, it has been widely used as a reference for the consistency of sample loading in Western Bloting and also for immunostaining to observe the microtubule structure of cells.
| Keywords: | Anti-TUBB2B, Anti-Tubulin beta-2B chain, Recombinant beta II Tubulin Monoclonal Antibody |
| Supplier: | Elabscience |
| Supplier-Nr: | E-AN301880L |
Properties
| Application: | WB, IHC, IP |
| Antibody Type: | Monoclonal |
| Clone: | A592 |
| Conjugate: | No |
| Host: | Rabbit |
| Species reactivity: | human, rat, mouse |
| Immunogen: | Recombinant human beta II Tubulin fragment |
| MW: | 55 kD |
Database Information
| KEGG ID : | K07375 | Matching products |
| UniProt ID : | Q9BVA1 | Matching products |
| Gene ID : | GeneID 347733 | Matching products |
Handling & Safety
| Storage: | -20°C |
| Shipping: | -20°C (International: -20°C) |
| Signal Word: | Warning |
| GHS Hazard Pictograms: |
|
| H Phrases: | H317 |
| P Phrases: | P261, P272, P280, P302+352, P333+313 |
Caution
Our products are for laboratory research use only: Not for administration to humans!
Our products are for laboratory research use only: Not for administration to humans!
Information about the product reference will follow.
more
You will get a certificate here
Viewed