Anti-PPAR alpha

Item number Size Datasheet Manual SDS Delivery time Quantity Price
ARG55240.100 100 µl - -

6 - 14 business days*

616.00€
 
Protein function: Ligand-activated transcription factor. Key regulator of lipid metabolism.... more
Product information "Anti-PPAR alpha"
Protein function: Ligand-activated transcription factor. Key regulator of lipid metabolism. Activated by the endogenous ligand 1-palmitoyl- 2-oleoyl-sn-glycerol-3-phosphocholine (16:0/18:1-GPC). Activated by oleylethanolamide, a naturally occurring lipid that regulates satiety. Receptor for peroxisome proliferators such as hypolipidemic drugs and fatty acids. Regulates the peroxisomal beta-oxidation pathway of fatty acids. Functions as transcription activator for the ACOX1 and P450 genes. Transactivation activity requires heterodimerization with RXRA and is antagonized by NR2C2. May be required for the propagation of clock information to metabolic pathways regulated by PER2. [The UniProt Consortium]
Keywords: Anti-PPARA, Anti-NR1C1, Anti-PPAR-alpha, Anti-Nuclear receptor subfamily 1 group C member 1, Anti-Peroxisome proliferator-activated receptor alpha
Supplier: Arigo Biolaboratories
Supplier-Nr: ARG55240

Properties

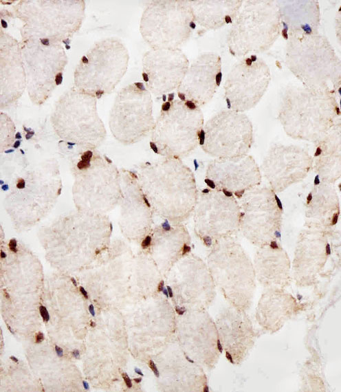
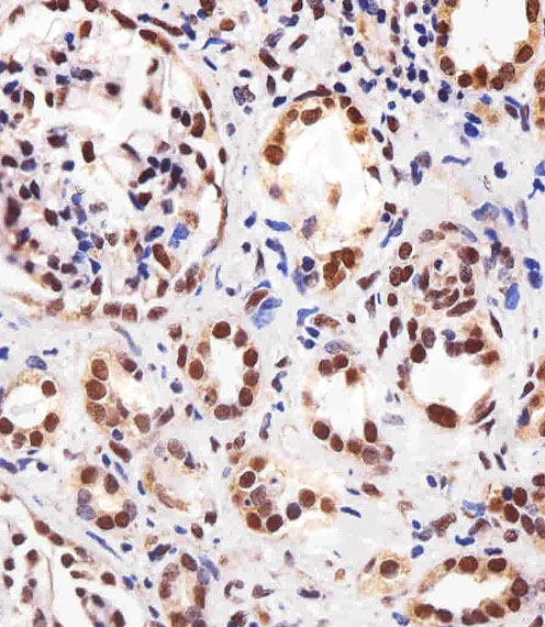
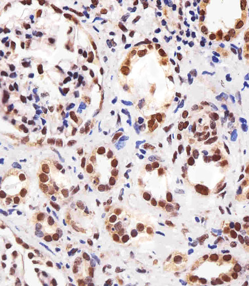
Application: WB, FC, ICC, IF, IHC
Antibody Type: Monoclonal
Conjugate: No
Host: Mouse
Species reactivity: human, mouse
Immunogen: Recombination protein of Human PPAR alpha (Swiss: Q07869)
Format: Purified

Handling & Safety

Storage: -20°C
Shipping: +4°C (International: +4°C)
Caution
Our products are for laboratory research use only: Not for administration to humans!
You will get a certificate here
or to request a certificate of analysis.
Read, write and discuss reviews... more
Customer review for "Anti-PPAR alpha"
Write a review
or to review a product.
Viewed