Cookie preferences
This website uses cookies, which are necessary for the technical operation of the website and are always set. Other cookies, which increase the comfort when using this website, are used for direct advertising or to facilitate interaction with other websites and social networks, are only set with your consent.
Configuration
Technically required
These cookies are necessary for the basic functions of the shop.
"Allow all cookies" cookie
"Decline all cookies" cookie
CSRF token
Cookie preferences
Currency change
Customer-specific caching
FACT-Finder tracking
Individual prices
Selected shop
Session
Comfort functions
These cookies are used to make the shopping experience even more appealing, for example for the recognition of the visitor.
Note
Show the facebook fanpage in the right blod sidebar
Statistics & Tracking
Affiliate program
Conversion and usertracking via Google Tag Manager
Track device being used
| Item number | Size | Datasheet | Manual | SDS | Delivery time | Quantity | Price |
|---|---|---|---|---|---|---|---|
| NSJ-FY12367 | 100 µl | - | - |
3 - 10 business days* |
790.00€
|
If you have any questions, please use our Contact Form.
You can also order by e-mail: info@biomol.com
Larger quantity required? Request bulk
You can also order by e-mail: info@biomol.com
Larger quantity required? Request bulk
Rabbit IgG in phosphate buffered saline, pH 7.4, 150mM NaCl, 0.02% sodium azide and 50% glycerol,... more
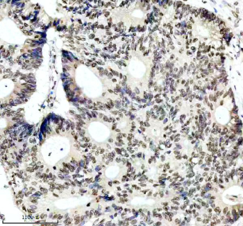
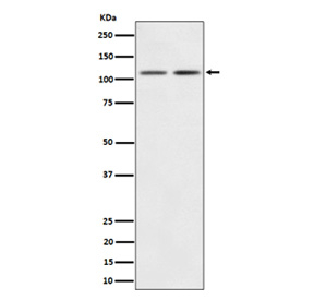
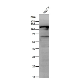
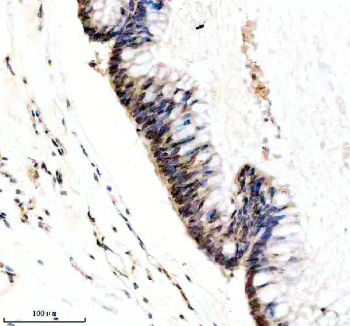
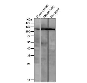
Product information "Anti-PIK3CB / PI3 Kinase p110 beta, clone 30P53"
Rabbit IgG in phosphate buffered saline, pH 7.4, 150mM NaCl, 0.02% sodium azide and 50% glycerol, 0.4-0.5mg/ml BSA. PIK3CB antibody detects phosphatidylinositol 4,5 bisphosphate 3 kinase catalytic subunit beta, also known as PI3 kinase p110 beta. This protein is one of the catalytic isoforms of class I PI3 kinases, which phosphorylate phosphatidylinositol 4,5 bisphosphate to generate phosphatidylinositol 3,4,5 trisphosphate. This lipid second messenger recruits signaling proteins with pleckstrin homology domains to the plasma membrane, initiating downstream signaling cascades that regulate cell growth, proliferation, survival, and metabolism.PIK3CB antibody is widely used in cancer biology, immunology, and metabolic research. PI3 kinase p110 beta is activated downstream of receptor tyrosine kinases, G protein coupled receptors, and integrins, playing a unique role in signaling integration. Dysregulation of PI3 kinase activity contributes to oncogenesis, insulin resistance, and immune dysfunction. By detecting the beta catalytic subunit, researchers can investigate isoform specific functions that differ from those of PI3 kinase alpha, delta, or gamma.The antibody is suitable for western blotting, immunohistochemistry, immunofluorescence, and flow cytometry. In western blot assays, PIK3CB antibody identifies the protein with high specificity, enabling quantitative comparisons across cell types and conditions. Immunohistochemistry localizes expression patterns in tissues, with high levels often detected in tumors. Immunofluorescence studies reveal subcellular localization at the plasma membrane and cytosol, consistent with its role in lipid signaling.PI3 kinase p110 beta has drawn particular attention in oncology. It is frequently upregulated in prostate and breast cancers, and mutations or amplification of PIK3CB drive abnormal cell survival signaling. Targeted inhibition of p110 beta is under active investigation as a therapeutic approach, particularly for tumors resistant to inhibitors of other PI3 kinase isoforms. Monitoring expression with PIK3CB antibody helps define the contribution of this isoform to tumor biology and drug sensitivity.Beyond oncology, PIK3CB antibody is relevant to immunology. PI3 kinase beta regulates platelet activation, neutrophil migration, and T cell signaling. Altered activity contributes to inflammation and autoimmunity, making it an important target for therapeutic modulation. In metabolism research, it plays a role in insulin signaling and glucose homeostasis, with implications for diabetes and metabolic syndrome.PIK3CB antibody offered by NSJ Bioreagents provides a reliable reagent for investigating signaling pathways mediated by PI3 kinase beta. Its specificity ensures accurate detection across experimental methods, supporting studies in cancer, immunity, and metabolism.
| Keywords: | Anti-PIK3CB, Anti-Serine/threonine protein kinase PIK3CB, Anti-Phosphatidylinositol 4,5-bisphosphate 3-kinase 110 kDa catalytic subunit beta, Anti-Phosphatidylinositol 4,5-bisphosphate 3-kinase catalytic subunit beta isoform, PIK3CB Antibody / PI3 Kinase |
| Supplier: | NSJ Bioreagents |
| Supplier-Nr: | FY12367 |
Properties
| Application: | WB, IHC, ICC, IF |
| Antibody Type: | Monoclonal |
| Clone: | 30P53 |
| Conjugate: | No |
| Host: | Rabbit |
| Species reactivity: | human, mouse, rat |
| Immunogen: | A synthesized peptide derived from human PI3 Kinase p110 beta |
| Format: | Purified |
Database Information
| KEGG ID : | K00922 | Matching products |
| UniProt ID : | P42338 | Matching products |
| Gene ID : | GeneID 5291 | Matching products |
Handling & Safety
| Storage: | -20°C |
| Shipping: | -20°C (International: -20°C) |
Caution
Our products are for laboratory research use only: Not for administration to humans!
Our products are for laboratory research use only: Not for administration to humans!
Information about the product reference will follow.
more
You will get a certificate here
Viewed