Cookie preferences
This website uses cookies, which are necessary for the technical operation of the website and are always set. Other cookies, which increase the comfort when using this website, are used for direct advertising or to facilitate interaction with other websites and social networks, are only set with your consent.
Configuration
Technically required
These cookies are necessary for the basic functions of the shop.
"Allow all cookies" cookie
"Decline all cookies" cookie
CSRF token
Cookie preferences
Currency change
Customer-specific caching
FACT-Finder tracking
Individual prices
Selected shop
Session
Comfort functions
These cookies are used to make the shopping experience even more appealing, for example for the recognition of the visitor.
Note
Show the facebook fanpage in the right blod sidebar
Statistics & Tracking
Affiliate program
Conversion and usertracking via Google Tag Manager
Track device being used
| Item number | Size | Datasheet | Manual | SDS | Delivery time | Quantity | Price |
|---|---|---|---|---|---|---|---|
| NSJ-R32038 | 100 µg | - | - |
3 - 10 business days* |
790.00€
|
If you have any questions, please use our Contact Form.
You can also order by e-mail: info@biomol.com
Larger quantity required? Request bulk
You can also order by e-mail: info@biomol.com
Larger quantity required? Request bulk
0.5mg/ml if reconstituted with 0.2ml sterile DI water. Phospholamban is a 52 amino acid integral... more
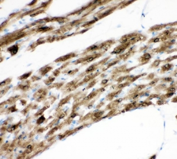
Product information "Anti-Phospholamban / PLN"
0.5mg/ml if reconstituted with 0.2ml sterile DI water. Phospholamban is a 52 amino acid integral membrane protein that regulates the Ca2+ pump in cardiac muscle and skeletal muscle cells. The subsequent activation of the Ca(2+) pump leads to enhanced muscle relaxation rates, thereby contributing to the inotropic response elicited in heart by beta-agonists. Phospholamban is also expressed in slow-twitch skeletal muscle and some smooth muscle cells. It is observed that human ventricle and quadriceps displayed high levels of phospholamban transcripts and proteins, with markedly lower expression observed in smooth muscles, while the right atrium also expressed low levels of phospholamban. The structure of the human phospholamban gene closely resembles that reported for chicken, rabbit, rat, and mouse. Comparison of the human to other mammalian phospholamban genes indicated a marked conservation of sequence for at least 217 bp upstream of the transcription start site. Protein function: Reversibly inhibits the activity of ATP2A2 in cardiac sarcoplasmic reticulum by decreasing the apparent affinity of the ATPase for Ca(2+) (PubMed:28890335). Modulates the contractility of the heart muscle in response to physiological stimuli via its effects on ATP2A2. Modulates calcium re-uptake during muscle relaxation and plays an important role in calcium homeostasis in the heart muscle. The degree of ATP2A2 inhibition depends on the oligomeric state of PLN. ATP2A2 inhibition is alleviated by PLN phosphorylation. Controls intracellular Ca(2+) levels in elongated spermatids. May play a role in germ cell differentiation. [The UniProt Consortium]
| Keywords: | Anti-PLB, Anti-Cardiac phospholamban, Phospholamban Antibody / PLN |
| Supplier: | NSJ Bioreagents |
| Supplier-Nr: | R32038 |
Properties
| Application: | WB, IHC (paraffin) |
| Antibody Type: | Polyclonal |
| Conjugate: | No |
| Host: | Rabbit |
| Species reactivity: | mouse, rat |
| Immunogen: | Amino acids MEKVQYLTRSAIRRASTIEMPQQARQKLQNLFINF of human PLN |
| Format: | Purified |
Database Information
| KEGG ID : | K05852 | Matching products |
| UniProt ID : | P26678 | Matching products |
| Gene ID : | GeneID 5350 | Matching products |
Handling & Safety
| Storage: | -20°C |
| Shipping: | -20°C (International: -20°C) |
Caution
Our products are for laboratory research use only: Not for administration to humans!
Our products are for laboratory research use only: Not for administration to humans!
Information about the product reference will follow.
more
You will get a certificate here
Viewed