Cookie preferences
This website uses cookies, which are necessary for the technical operation of the website and are always set. Other cookies, which increase the comfort when using this website, are used for direct advertising or to facilitate interaction with other websites and social networks, are only set with your consent.
Configuration
Technically required
These cookies are necessary for the basic functions of the shop.
"Allow all cookies" cookie
"Decline all cookies" cookie
CSRF token
Cookie preferences
Currency change
Customer-specific caching
FACT-Finder tracking
Individual prices
Selected shop
Session
Comfort functions
These cookies are used to make the shopping experience even more appealing, for example for the recognition of the visitor.
Note
Show the facebook fanpage in the right blod sidebar
Statistics & Tracking
Affiliate program
Conversion and usertracking via Google Tag Manager
Track device being used
| Item number | Size | Datasheet | Manual | SDS | Delivery time | Quantity | Price |
|---|---|---|---|---|---|---|---|
| 200-401-GM8 | 100 µg | - | - |
6 - 10 business days* |
733.00€
|
If you have any questions, please use our Contact Form.
You can also order by e-mail: info@biomol.com
Larger quantity required? Request bulk
You can also order by e-mail: info@biomol.com
Larger quantity required? Request bulk
PARP1 (N-term ZF1) was purified from monospecific antiserum by immunoaffinity chromatography... more
Product information "Anti-PARP1 (N-term ZF1)"
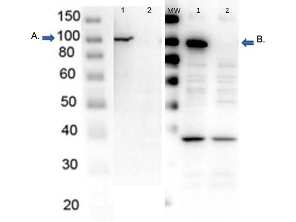
PARP1 (N-term ZF1) was purified from monospecific antiserum by immunoaffinity chromatography using protein A coupled to agarose beads. This antibody is specific for human PARP1 protein. No cross reactivity detected towards other PARP members when using siRNAs against 18 PARP family members. Cross-reactivity with PARP1 from other sources has not been determined. Protein function: Involved in the base excision repair (BER) pathway, by catalyzing the poly(ADP-ribosyl)ation of a limited number of acceptor proteins involved in chromatin architecture and in DNA metabolism. This modification follows DNA damages and appears as an obligatory step in a detection/signaling pathway leading to the reparation of DNA strand breaks. Mediates the poly(ADP- ribosyl)ation of APLF and CHFR. Positively regulates the transcription of MTUS1 and negatively regulates the transcription of MTUS2/TIP150. With EEF1A1 and TXK, forms a complex that acts as a T-helper 1 (Th1) cell-specific transcription factor and binds the promoter of IFN-gamma to directly regulate its transcription, and is thus involved importantly in Th1 cytokine production. Required for PARP9 and DTX3L recruitment to DNA damage sites. PARP1-dependent PARP9-DTX3L-mediated ubiquitination promotes the rapid and specific recruitment of 53BP1/TP53BP1, UIMC1/RAP80, and BRCA1 to DNA damage sites. [The UniProt Consortium]
| Keywords: | Anti-PARP1, Anti-ADPRT, Anti-ARTD1, Anti-PARP-1, Anti-ADPRT 1, EC=2.4.2.30, Anti-Poly[ADP-ribose] synthase 1, Anti-Poly [ADP-ribose] polymerase 1, Anti-NAD(+) ADP-ribosyltransferase 1, Anti-ADP-ribosyltransferase diphtheria toxin-like 1 |
| Supplier: | Rockland Immunochemicals |
| Supplier-Nr: | 200-401-GM8 |
Properties
| Application: | IHC, WB |
| Antibody Type: | Polyclonal |
| Conjugate: | No |
| Host: | Rabbit |
| Species reactivity: | human |
| Immunogen: | n-terminus region of human PARP1 zinc finger domain recombinant protein. |
| Format: | Purified |
Database Information
| KEGG ID : | K24070 | Matching products |
| UniProt ID : | P09874 | Matching products |
| Gene ID : | GeneID 142 | Matching products |
Handling & Safety
| Storage: | -20°C |
| Shipping: | -20°C (International: -20°C) |
Caution
Our products are for laboratory research use only: Not for administration to humans!
Our products are for laboratory research use only: Not for administration to humans!
Information about the product reference will follow.
more
You will get a certificate here
Viewed