Cookie preferences
This website uses cookies, which are necessary for the technical operation of the website and are always set. Other cookies, which increase the comfort when using this website, are used for direct advertising or to facilitate interaction with other websites and social networks, are only set with your consent.
Configuration
Technically required
These cookies are necessary for the basic functions of the shop.
"Allow all cookies" cookie
"Decline all cookies" cookie
CSRF token
Cookie preferences
Currency change
Customer-specific caching
FACT-Finder tracking
Individual prices
Selected shop
Session
Comfort functions
These cookies are used to make the shopping experience even more appealing, for example for the recognition of the visitor.
Note
Show the facebook fanpage in the right blod sidebar
Statistics & Tracking
Affiliate program
Conversion and usertracking via Google Tag Manager
Track device being used
| Item number | Size | Datasheet | Manual | SDS | Delivery time | Quantity | Price |
|---|---|---|---|---|---|---|---|
| NSJ-R30994 | 100 µg | - | - |
3 - 10 business days* |
790.00€
|
If you have any questions, please use our Contact Form.
You can also order by e-mail: info@biomol.com
Larger quantity required? Request bulk
You can also order by e-mail: info@biomol.com
Larger quantity required? Request bulk
0.5mg/ml if reconstituted with 0.2ml sterile DI water. RBL1 (Retinoblastoma-like 1), also known... more
Product information "Anti-p107"
0.5mg/ml if reconstituted with 0.2ml sterile DI water. RBL1 (Retinoblastoma-like 1), also known as Cullular Proteins p107, and CP107, is a protein that in humans is encoded by the RBL1 gene. Ewen et al.(1991) used a partial cDNA for human p107 to map the gene to 20q11. by fluorescence in situ hybridization. Huppi et al.(1996)found that the mouse Rbl1 gene maps to the distal end of chromosome 2, as does also the E2f1 gene. The protein encoded by this gene is similar in sequence and possibly function to the product of the retinoblastoma 1 (RB1) gene. The RB1 gene product is a tumor suppressor protein that appears to be involved in cell cycle regulation, as it is phosphorylated in the S to M phase transition and is dephosphorylated in the G1 phase of the cell cycle. Both the RB1 protein and the product of this gene can form a complex with adenovirus E1A protein and SV40 Large T-antigen, with the SV40 large T-antigen binding only to the unphosphorylated form of each protein. In addition, both proteins can inhibit the transcription of cell cycle genes containing E2F binding sites in their promoters. Due to the sequence and biochemical similarities with the RB1 protein, it is though that the protein encoded by this gene may also be a tumor suppressor. Two transcript variants encoding different isoforms have been found for this gene. Protein function: Key regulator of entry into cell division (PubMed:17671431). Directly involved in heterochromatin formation by maintaining overall chromatin structure and, in particular, that of constitutive heterochromatin by stabilizing histone methylation. Recruits and targets histone methyltransferases KMT5B and KMT5C, leading to epigenetic transcriptional repression. Controls histone H4 'Lys-20' trimethylation. Probably acts as a transcription repressor by recruiting chromatin-modifying enzymes to promoters. Potent inhibitor of E2F-mediated trans-activation (PubMed:8319904). May act as a tumor suppressor (PubMed:8319904). [The UniProt Consortium]
| Keywords: | Anti-RBL1, Anti-p107, Anti-pRb1, Anti-Retinoblastoma-like protein 1, Anti-107 kDa retinoblastoma-associated protein, p107 Antibody |
| Supplier: | NSJ Bioreagents |
| Supplier-Nr: | R30994 |
Properties
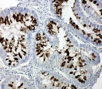
| Application: | WB, IHC (paraffin) |
| Antibody Type: | Polyclonal |
| Conjugate: | No |
| Host: | Rabbit |
| Species reactivity: | human, mouse, rat |
| Immunogen: | An amino acid sequence from the C-terminus of human p107 (QENDDVLLKRLQDVVSERANH) |
| Format: | Purified |
Database Information
| KEGG ID : | K04681 | Matching products |
| UniProt ID : | P28749 | Matching products |
| Gene ID : | GeneID 5933 | Matching products |
Handling & Safety
| Storage: | +4°C |
| Shipping: | +4°C (International: +4°C) |
Caution
Our products are for laboratory research use only: Not for administration to humans!
Our products are for laboratory research use only: Not for administration to humans!
Information about the product reference will follow.
more
You will get a certificate here
Viewed