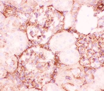
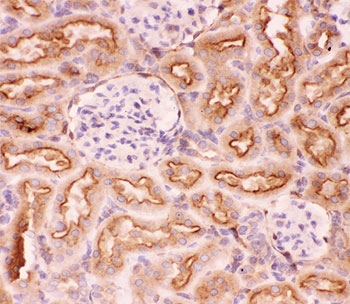
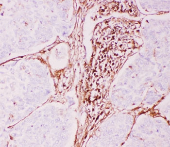
Anti-P Glycoprotein

Item number Size Datasheet Manual SDS Delivery time Quantity Price
NSJ-R30136 100 µg - -

3 - 10 business days*

790.00€
 
0.5mg/ml if reconstituted with 0.2ml sterile DI water. P Glycoprotein, also called MDR1, P-GP,... more
Product information "Anti-P Glycoprotein"
0.5mg/ml if reconstituted with 0.2ml sterile DI water. P Glycoprotein, also called MDR1, P-GP, and PGY1, is a protein that in humans is encoded by the ABCB1 gene. It is mapped to 7q21.12. It is a well-characterized ABC-transporter (which transports a wide variety of substrates across extra- and intracellular membranes) of the MDR/TAP subfamily. It is an important protein of the cell membrane that pumps many foreign substances out of cells. More formally, it is an ATP-dependent drug efflux pump with broad substrate specificity. P Glycoprotein is an ATP-dependent drug efflux pump forxenobiotic compounds with broad substrate specificity. It is responsible for decreased drug accumulation in multidrug-resistant cells and often mediates the development of resistance to anticancer drugs. This protein also functions as a transporter in the bloodûbrain barrier. Protein function: Energy-dependent efflux pump responsible for decreased drug accumulation in multidrug-resistant cells. [The UniProt Consortium]
Keywords: Anti-MDR1, Anti-ABCB1, Anti-CD243, EC=3.6.3.44, Anti-P-glycoprotein 1, Anti-Multidrug resistance protein 1, Anti-ATP-binding cassette sub-family B member 1, P Glycoprotein Antibody
Supplier: NSJ Bioreagents
Supplier-Nr: R30136

Properties

Application: IHC (paraffin), IF
Antibody Type: Polyclonal
Conjugate: No
Host: Rabbit
Species reactivity: human, mouse, rat
Immunogen: Amino acids IYFKLVTMQTAGNEVELENAADESKSEIDA were used as the immunogen for this P Glycoprotein antibody.
Format: Purified

Handling & Safety

Storage: +4°C
Shipping: +4°C (International: +4°C)
Caution
Our products are for laboratory research use only: Not for administration to humans!
You will get a certificate here
or to request a certificate of analysis.
Read, write and discuss reviews... more
Customer review for "Anti-P Glycoprotein"
Write a review
or to review a product.
Viewed