Cookie preferences
This website uses cookies, which are necessary for the technical operation of the website and are always set. Other cookies, which increase the comfort when using this website, are used for direct advertising or to facilitate interaction with other websites and social networks, are only set with your consent.
Configuration
Technically required
These cookies are necessary for the basic functions of the shop.
"Allow all cookies" cookie
"Decline all cookies" cookie
CSRF token
Cookie preferences
Currency change
Customer-specific caching
FACT-Finder tracking
Individual prices
Selected shop
Session
Comfort functions
These cookies are used to make the shopping experience even more appealing, for example for the recognition of the visitor.
Note
Show the facebook fanpage in the right blod sidebar
Statistics & Tracking
Affiliate program
Conversion and usertracking via Google Tag Manager
Track device being used
| Item number | Size | Datasheet | Manual | SDS | Delivery time | Quantity | Price |
|---|---|---|---|---|---|---|---|
| NSJ-RQ4566 | 100 µg | - | - |
3 - 10 business days* |
790.00€
|
If you have any questions, please use our Contact Form.
You can also order by e-mail: info@biomol.com
Larger quantity required? Request bulk
You can also order by e-mail: info@biomol.com
Larger quantity required? Request bulk
0.5mg/ml if reconstituted with 0.2ml sterile DI water. NSE (neuron specific enolase), also known... more
Product information "Anti-NSE / Neuron Specific Enolase"
0.5mg/ml if reconstituted with 0.2ml sterile DI water. NSE (neuron specific enolase), also known as Enolase 2 (ENO2), is found in elevated concentrations in plasma in certain neoplasias. The enolases catalyze the interconversion of 2-phosphoglycerate to phosphoenolpyruvate in the glycolytic pathway. ENO2 gene contains 12 exons distributed over 9,213 nucleotides. Human neurone-specific enolase is mapped to chromosome 12p13. Protein function: Has neurotrophic and neuroprotective properties on a broad spectrum of central nervous system (CNS) neurons. Binds, in a calcium-dependent manner, to cultured neocortical neurons and promotes cell survival. [The UniProt Consortium]
| Keywords: | Anti-NSE, Anti-ENO2, Anti-Enolase 2, EC=4.2.1.11, Anti-Gamma-enolase, Anti-Neural enolase, Anti-Neuron-specific enolase, Anti-2-phospho-D-glycerate hydro-lyase, NSE Antibody / Neuron Specific Enolase |
| Supplier: | NSJ Bioreagents |
| Supplier-Nr: | RQ4566 |
Properties
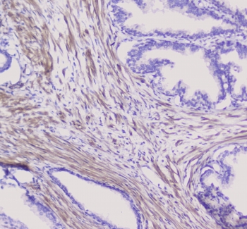
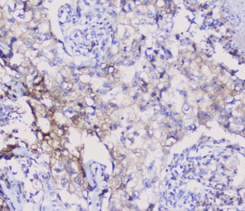
| Application: | WB, IHC (paraffin) |
| Antibody Type: | Polyclonal |
| Conjugate: | No |
| Host: | Rabbit |
| Species reactivity: | human, mouse, rat |
| Immunogen: | Amino acids LKAVDHINSTIAPALISSGLSVVEQEKLDNLMLELDGTENK |
| Format: | Purified |
Database Information
| KEGG ID : | K01689 | Matching products |
| UniProt ID : | P09104 | Matching products |
| Gene ID : | GeneID 2026 | Matching products |
Handling & Safety
| Storage: | +4°C |
| Shipping: | +4°C (International: +4°C) |
Caution
Our products are for laboratory research use only: Not for administration to humans!
Our products are for laboratory research use only: Not for administration to humans!
Information about the product reference will follow.
more
You will get a certificate here
Viewed