Cookie preferences
This website uses cookies, which are necessary for the technical operation of the website and are always set. Other cookies, which increase the comfort when using this website, are used for direct advertising or to facilitate interaction with other websites and social networks, are only set with your consent.
Configuration
Technically required
These cookies are necessary for the basic functions of the shop.
"Allow all cookies" cookie
"Decline all cookies" cookie
CSRF token
Cookie preferences
Currency change
Customer-specific caching
FACT-Finder tracking
Individual prices
Selected shop
Session
Comfort functions
These cookies are used to make the shopping experience even more appealing, for example for the recognition of the visitor.
Note
Show the facebook fanpage in the right blod sidebar
Statistics & Tracking
Affiliate program
Conversion and usertracking via Google Tag Manager
Track device being used
| Item number | Size | Datasheet | Manual | SDS | Delivery time | Quantity | Price |
|---|---|---|---|---|---|---|---|
| ATA-HPA036443.25 | 25 µl | - |
7 - 10 business days* |
330.00€
|
|||
| ATA-HPA036443.100 | 100 µl | - |
7 - 10 business days* |
463.00€
|
If you have any questions, please use our Contact Form.
You can also order by e-mail: info@biomol.com
Larger quantity required? Request bulk
You can also order by e-mail: info@biomol.com
Larger quantity required? Request bulk
Protein function: Nuclear receptor that exhibits a ligand-dependent transcriptional activation... more
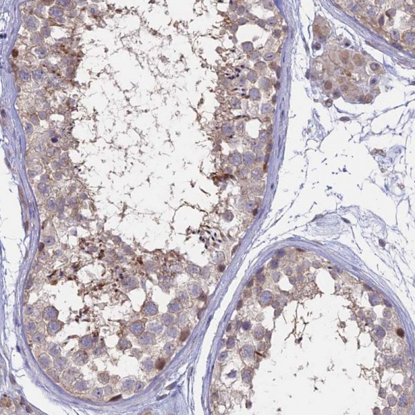
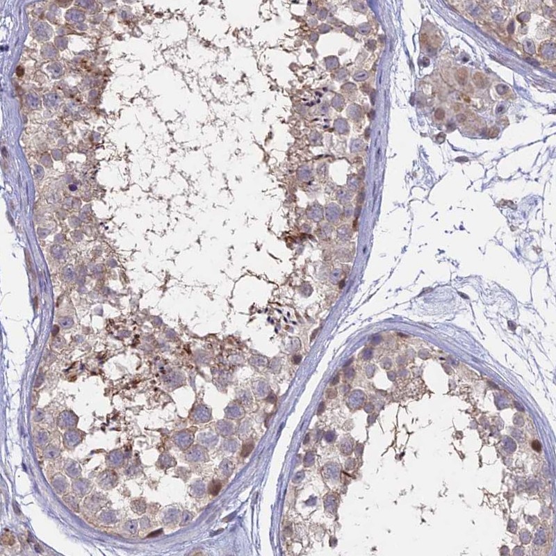
Product information "Anti-NR1H3"
Protein function: Nuclear receptor that exhibits a ligand-dependent transcriptional activation activity (PubMed:19481530, PubMed:25661920). Interaction with retinoic acid receptor (RXR) shifts RXR from its role as a silent DNA-binding partner to an active ligand-binding subunit in mediating retinoid responses through target genes defined by LXRES. LXRES are DR4-type response elements characterized by direct repeats of two similar hexanuclotide half-sites spaced by four nucleotides. Plays an important role in the regulation of cholesterol homeostasis, regulating cholesterol uptake through MYLIP-dependent ubiquitination of LDLR, VLDLR and LRP8 (PubMed:19481530). Interplays functionally with RORA for the regulation of genes involved in liver metabolism. Induces LPCAT3- dependent phospholipid remodeling in endoplasmic reticulum (ER) membranes of hepatocytes, driving SREBF1 processing and lipogenesis. Via LPCAT3, triggers the incorporation of arachidonate into phosphatidylcholines of ER membranes, increasing membrane dynamics and enabling triacylglycerols transfer to nascent very low-density lipoprotein (VLDL) particles. Via LPCAT3 also counteracts lipid-induced ER stress response and inflammation, likely by modulating SRC kinase membrane compartmentalization and limiting the synthesis of lipid inflammatory mediators. [The UniProt Consortium] Buffer: 40% glycerol and PBS (pH 7.2). 0.02% sodium azide is added as preservative. Highest antigen sequence identity to mouse: 68% and to rat: 68%
| Keywords: | Anti-LXRA, Anti-NR1H3, Anti-Liver X receptor alpha, Anti-Oxysterols receptor LXR-alpha, Anti-Nuclear receptor subfamily 1 group H member 3 |
| Supplier: | Atlas Antibodies |
| Supplier-Nr: | HPA036443 |
Properties
| Application: | IHC, WB, ChIP |
| Antibody Type: | Polyclonal |
| Conjugate: | No |
| Host: | Rabbit |
| Species reactivity: | human |
| Immunogen: | Recombinant Protein Epitope Signature Tag (PrEST) antigen sequence: MSLWLGAPVP DIPPDSAVEL WKPGAQDASS QAQGGSSCIL REEARMPHSA GGTAGVGLEA AEPTALLTRA EPPSEPTEIR PQKRK (ATA-APrEST81273) |
Database Information
| KEGG ID : | K08536 | Matching products |
| UniProt ID : | Q13133 | Matching products |
| Gene ID : | GeneID 10062 | Matching products |
| Protein Atlas Nr. : | ENSG00000025434 |
Handling & Safety
| Storage: | -20°C |
| Shipping: | +20°C (International: +20°C) |
Caution
Our products are for laboratory research use only: Not for administration to humans!
Our products are for laboratory research use only: Not for administration to humans!
Information about the product reference will follow.
more
You will get a certificate here
Viewed