Cookie preferences
This website uses cookies, which are necessary for the technical operation of the website and are always set. Other cookies, which increase the comfort when using this website, are used for direct advertising or to facilitate interaction with other websites and social networks, are only set with your consent.
Configuration
Technically required
These cookies are necessary for the basic functions of the shop.
"Allow all cookies" cookie
"Decline all cookies" cookie
CSRF token
Cookie preferences
Currency change
Customer-specific caching
FACT-Finder tracking
Individual prices
Selected shop
Session
Comfort functions
These cookies are used to make the shopping experience even more appealing, for example for the recognition of the visitor.
Note
Show the facebook fanpage in the right blod sidebar
Statistics & Tracking
Affiliate program
Conversion and usertracking via Google Tag Manager
Track device being used
If you have any questions, please use our Contact Form.
You can also order by e-mail: info@biomol.com
Larger quantity required? Request bulk
You can also order by e-mail: info@biomol.com
Larger quantity required? Request bulk
This gene encodes a member of the NOX-family of enzymes that functions as the catalytic subunit... more
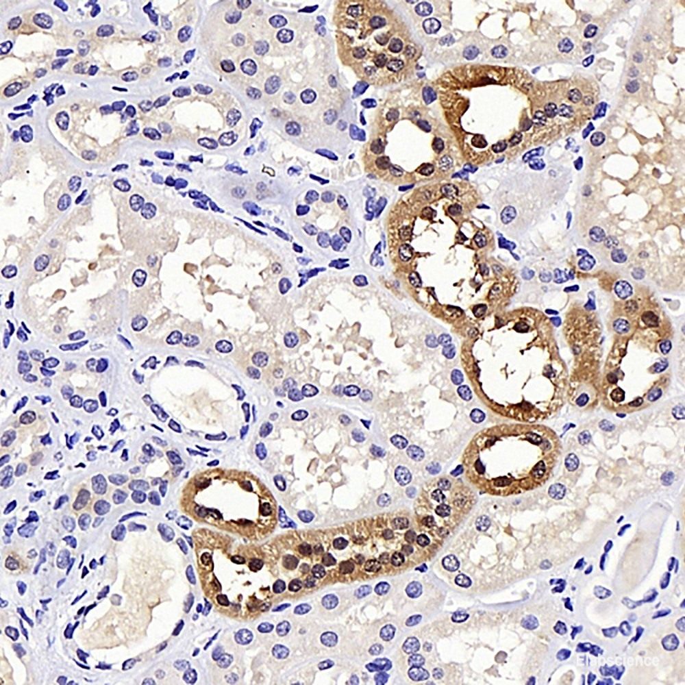
Product information "Anti-NOX4"
This gene encodes a member of the NOX-family of enzymes that functions as the catalytic subunit the NADPH oxidase complex. The encoded protein is localized to non-phagocytic cells where it acts as an oxygen sensor and catalyzes the reduction of molecular oxygen to various reactive oxygen species (ROS). The ROS generated by this protein have been implicated in numerous biological functions including signal transduction, cell differentiation and tumor cell growth. A pseudogene has been identified on the other arm of chromosome 11. Alternative splicing results in multiple transcript variants. Protein function: Constitutive NADPH oxidase which generates superoxide intracellularly upon formation of a complex with CYBA/p22phox. Regulates signaling cascades probably through phosphatases inhibition. May function as an oxygen sensor regulating the KCNK3/TASK-1 potassium channel and HIF1A activity. May regulate insulin signaling cascade. May play a role in apoptosis, bone resorption and lipolysaccharide-mediated activation of NFKB. May produce superoxide in the nucleus and play a role in regulating gene expression upon cell stimulation. Isoform 3 is not functional. Isoform 5 and isoform 6 display reduced activity. [The UniProt Consortium]
| Keywords: | Anti-NOX4, Anti-RENOX, Anti-KOX-1, EC=1.6.3.-, Anti-NADPH oxidase 4, Anti-Kidney oxidase-1, Anti-Renal NAD(P)H-oxidase, Anti-Kidney superoxide-producing NADPH oxidase, NOX4 Polyclonal Antibody |
| Supplier: | Elabscience |
| Supplier-Nr: | E-AB-70215 |
Properties
| Application: | WB, IHC |
| Antibody Type: | Polyclonal |
| Conjugate: | No |
| Host: | Rabbit |
| Species reactivity: | human, mouse, rat |
| Immunogen: | KLH conjugated Synthetic peptide corresponding to Mouse NOX4 |
Database Information
| KEGG ID : | K21423 | Matching products |
| UniProt ID : | Q9NPH5 | Matching products |
| Gene ID : | GeneID 50507 | Matching products |
Handling & Safety
| Storage: | -20°C |
| Shipping: | 4°C (International: -20°C) |
Caution
Our products are for laboratory research use only: Not for administration to humans!
Our products are for laboratory research use only: Not for administration to humans!
Information about the product reference will follow.
more
You will get a certificate here
Viewed