Anti-NLRC4

Item number Size Datasheet Manual SDS Delivery time Quantity Price
E-AB-67860.60 60 µl -

7 - 16 business days*

243.00€
E-AB-67860.120 120 µl -

7 - 16 business days*

389.00€
E-AB-67860.200 200 µl -

7 - 16 business days*

645.00€
 
This gene encodes a member of the caspase recruitment domain-containing NLR family. Family... more
Product information "Anti-NLRC4"
This gene encodes a member of the caspase recruitment domain-containing NLR family. Family members play essential roles in innate immune response to a wide range of pathogenic organisms, tissue damage and other cellular stresses. Mutations in this gene result in autoinflammation with infantile enterocolitis. Alternative splicing results in multiple transcript variants. Protein function: Key component of inflammasomes that indirectly senses specific proteins from pathogenic bacteria and fungi and responds by assembling an inflammasome complex that promotes caspase-1 activation, cytokine production and macrophage pyroptosis (PubMed:15107016). The NLRC4 inflammasome is activated as part of the innate immune response to a range of intracellular bacteria. [The UniProt Consortium]
Keywords: Anti-Ipaf, Anti-NLRC4, Anti-CARD12, Anti-Clan protein, Anti-Ice protease-activating factor, Anti-CARD, LRR, and NACHT-containing protein, Anti-NLR family CARD domain-containing protein 4, Anti-Caspase recruitment domain-containing protein 12, NLRC4 Polycl
Supplier: Elabscience
Supplier-Nr: E-AB-67860

Properties

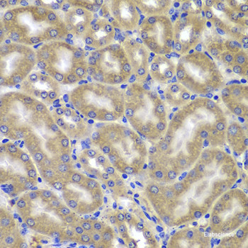
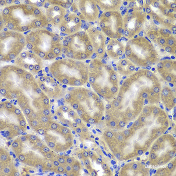
Application: IHC, IF
Antibody Type: Polyclonal
Conjugate: No
Host: Rabbit
Species reactivity: human, mouse, rat
Immunogen: Recombinant fusion protein of human NLRC4 (NP_067032.3).

Handling & Safety

Storage: -20°C
Shipping: 4°C (International: -20°C)
Caution
Our products are for laboratory research use only: Not for administration to humans!
You will get a certificate here
or to request a certificate of analysis.
Read, write and discuss reviews... more
Customer review for "Anti-NLRC4"
Write a review
or to review a product.
Viewed