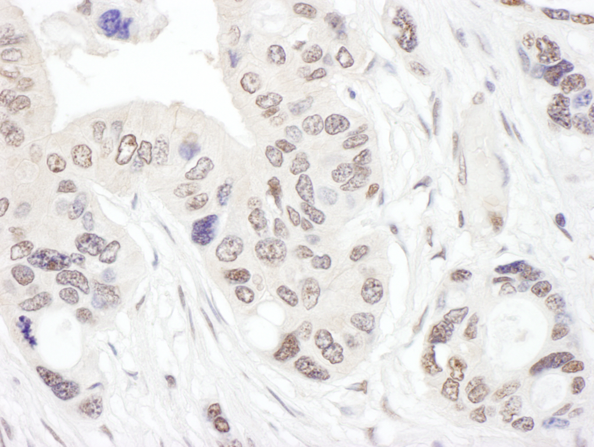
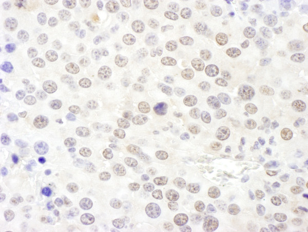
Anti-NHP2L1

Item number Size Datasheet Manual SDS Delivery time Quantity Price
A304-030A-T 10 µl (10 µg) -

2 - 8 business days*

165.00€
A304-030A 100 µl (100 µg) -

2 - 8 business days*

586.00€
 
Protein function: Binds to the 5'-stem-loop of U4 snRNA and may play a role in the late stage of... more
Product information "Anti-NHP2L1"
Protein function: Binds to the 5'-stem-loop of U4 snRNA and may play a role in the late stage of spliceosome assembly. The protein undergoes a conformational change upon RNA-binding. [The UniProt Consortium]
Keywords: Anti-NHP2L1
Supplier: Bethyl Laboratories
Supplier-Nr: A304-030A

Properties

Application: WB, IP, IHC
Antibody Type: Polyclonal
Conjugate: No
Host: Rabbit
Species reactivity: human, mouse (Expected: rat, X. tropicalis, bovine)
Immunogen: synthetic peptide. The epitope recognized by A304-030A-T maps to a region between residue 71 to 121 of human NHP2 Non-Histone Chromosome Protein 2-Like 1 using the numbering given in entry NP_004999.1 (GeneID 4809).
Format: Antigen Affinity Purified

Handling & Safety

Storage: +4°C
Shipping: +4°C (International: +4°C)
Caution
Our products are for laboratory research use only: Not for administration to humans!
You will get a certificate here
or to request a certificate of analysis.
Read, write and discuss reviews... more
Customer review for "Anti-NHP2L1"
Write a review
or to review a product.
Viewed