Cookie preferences
This website uses cookies, which are necessary for the technical operation of the website and are always set. Other cookies, which increase the comfort when using this website, are used for direct advertising or to facilitate interaction with other websites and social networks, are only set with your consent.
Configuration
Technically required
These cookies are necessary for the basic functions of the shop.
"Allow all cookies" cookie
"Decline all cookies" cookie
CSRF token
Cookie preferences
Currency change
Customer-specific caching
FACT-Finder tracking
Individual prices
Selected shop
Session
Comfort functions
These cookies are used to make the shopping experience even more appealing, for example for the recognition of the visitor.
Note
Show the facebook fanpage in the right blod sidebar
Statistics & Tracking
Affiliate program
Conversion and usertracking via Google Tag Manager
Track device being used
| Item number | Size | Datasheet | Manual | SDS | Delivery time | Quantity | Price |
|---|---|---|---|---|---|---|---|
| A303-121A-T | 10 µl (2 µg) | - |
2 - 8 business days* |
165.00€
|
|||
| A303-121A | 100 µl | - |
2 - 8 business days* |
586.00€
|
If you have any questions, please use our Contact Form.
You can also order by e-mail: info@biomol.com
Larger quantity required? Request bulk
You can also order by e-mail: info@biomol.com
Larger quantity required? Request bulk
Protein function: May facilitate double-stranded RNA-regulated gene expression at the level of... more
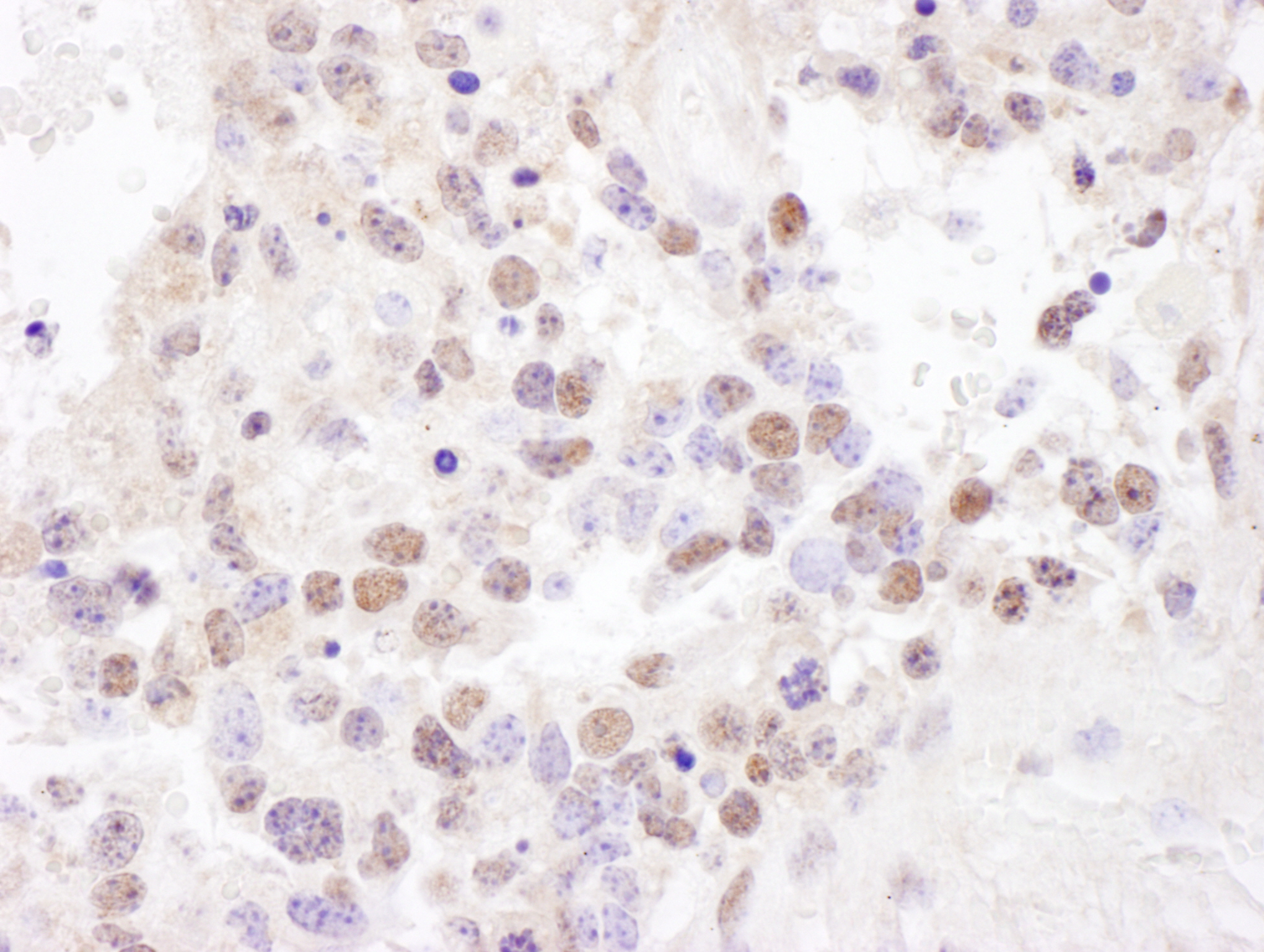
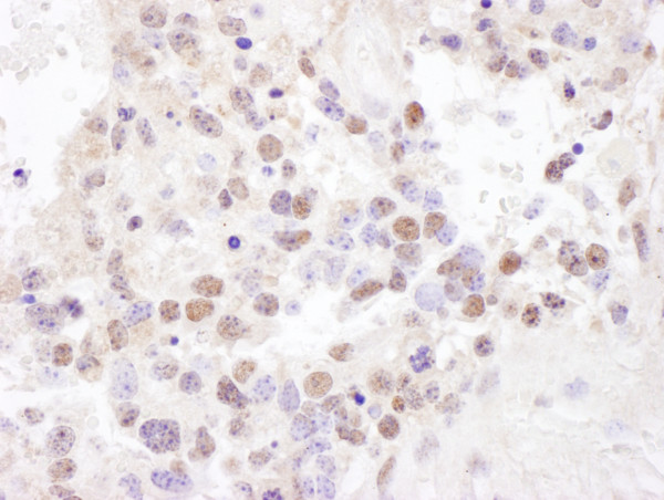
Product information "Anti-NF90/NF110"
Protein function: May facilitate double-stranded RNA-regulated gene expression at the level of post-transcription. Can act as a translation inhibitory protein which binds to coding sequences of acid beta-glucosidase (GCase) and other mRNAs and functions at the initiation phase of GCase mRNA translation, probably by inhibiting its binding to polysomes. Can regulate protein arginine N- methyltransferase 1 activity. May regulate transcription of the IL2 gene during T-cell activation. Can promote the formation of stable DNA-dependent protein kinase holoenzyme complexes on DNA. The phosphorylated form at Thr-188 and Thr-315, in concert with EIF2AK2/PKR can inhibit vesicular stomatitis virus (VSV) replication. [The UniProt Consortium]
| Keywords: | Anti-ILF3, Anti-MPP4, Anti-NFAR, Anti-DRBF, Anti-TCP80, Anti-DRBP76, Anti-NF-AT-90, Anti-M-phase phosphoprotein 4, Anti-Translational control protein 80, Anti-Nuclear factor associated with dsRNA, Anti-Interleukin enhancer-binding factor 3 |
| Supplier: | Bethyl Laboratories |
| Supplier-Nr: | A303-121A |
Properties
| Application: | WB, IP, IHC |
| Antibody Type: | Polyclonal |
| Conjugate: | No |
| Host: | Rabbit |
| Species reactivity: | human, mouse (Expected: rat) |
| Immunogen: | synthetic peptide. The epitope recognized by A303-121A-T maps to a region between residue 325 and 375 of human Nuclear Factor of Activated T-cells 90 kDa, 110 kDa using the numbering given in entry NP_036350.2 (GeneID 3609). |
| Format: | Antigen Affinity Purified |
Database Information
| KEGG ID : | K13090 | Matching products |
| UniProt ID : | Q12906 | Matching products |
| Gene ID : | GeneID 3609 | Matching products |
Handling & Safety
| Storage: | +4°C |
| Shipping: | +4°C (International: +4°C) |
Caution
Our products are for laboratory research use only: Not for administration to humans!
Our products are for laboratory research use only: Not for administration to humans!
Information about the product reference will follow.
more
You will get a certificate here
Viewed