Cookie preferences
This website uses cookies, which are necessary for the technical operation of the website and are always set. Other cookies, which increase the comfort when using this website, are used for direct advertising or to facilitate interaction with other websites and social networks, are only set with your consent.
Configuration
Technically required
These cookies are necessary for the basic functions of the shop.
"Allow all cookies" cookie
"Decline all cookies" cookie
CSRF token
Cookie preferences
Currency change
Customer-specific caching
FACT-Finder tracking
Individual prices
Selected shop
Session
Comfort functions
These cookies are used to make the shopping experience even more appealing, for example for the recognition of the visitor.
Note
Show the facebook fanpage in the right blod sidebar
Statistics & Tracking
Affiliate program
Conversion and usertracking via Google Tag Manager
Track device being used
| Item number | Size | Datasheet | Manual | SDS | Delivery time | Quantity | Price |
|---|---|---|---|---|---|---|---|
| NSJ-F50314-0.08ML | 80 µl | - | - |
3 - 10 business days* |
361.00€
|
||
| NSJ-F50314-0.4ML | 400 µl | - | - |
3 - 10 business days* |
772.00€
|
If you have any questions, please use our Contact Form.
You can also order by e-mail: info@biomol.com
Larger quantity required? Request bulk
You can also order by e-mail: info@biomol.com
Larger quantity required? Request bulk
In 1X PBS, pH 7.4, with 0.09% sodium azide. MME is a common acute lymphocytic leukemia antigen... more
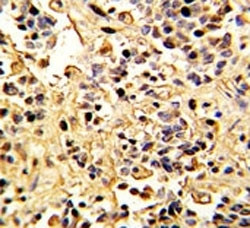
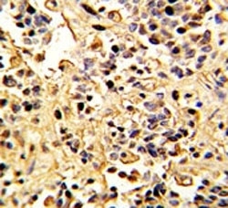
Product information "Anti-Neprilysin"
In 1X PBS, pH 7.4, with 0.09% sodium azide. MME is a common acute lymphocytic leukemia antigen that is an important cell surface marker in the diagnosis of human acute lymphocytic leukemia (ALL). This protein is present on leukemic cells of pre-B phenotype, which represent 85% of cases of ALL. This protein is not restricted to leukemic cells, however, and is found on a variety of normal tissues. It is a oprotein that is particularly abundant in kidney, where it is present on the brush border of proximal tubules and on glomerular epithelium. The protein is a neutral endopeptidase that cleaves peptides at the amino side of hydrophobic residues and inactivates several peptide hormones including glucagon, enkephalins, substance P, neurotensin, oxytocin, and bradykinin. Protein function: Thermolysin-like specificity, but is almost confined on acting on polypeptides of up to 30 amino acids (PubMed:15283675, PubMed:8168535). Biologically important in the destruction of opioid peptides such as Met- and Leu-enkephalins by cleavage of a Gly-Phe bond (PubMed:17101991). Able to cleave angiotensin-1, angiotensin-2 and angiotensin 1-9 (PubMed:15283675). Involved in the degradation of atrial natriuretic factor (ANF) (PubMed:2531377, PubMed:2972276). Displays UV-inducible elastase activity toward skin preelastic and elastic fibers (PubMed:20876573). [The UniProt Consortium]
| Keywords: | Anti-EPN, Anti-MME, Anti-NEP, Anti-SFE, Anti-CD10, Anti-CALLA, Anti-Neprilysin, Anti-Enkephalinase, Anti-Atriopeptidase, Anti-Neutral endopeptidase, Anti-Skin fibroblast elastase, Anti-Neutral endopeptidase 24.11, Neprilysin Antibody |
| Supplier: | NSJ Bioreagents |
| Supplier-Nr: | F50314 |
Properties
| Application: | WB, IHC, FC, ELISA |
| Antibody Type: | Polyclonal |
| Conjugate: | No |
| Host: | Rabbit |
| Species reactivity: | human |
| Immunogen: | A portion of amino acids 506-534 from the human protein was used as the immunogen for this Neprilysin antibody. |
| Format: | Purified |
Database Information
| KEGG ID : | K01389 | Matching products |
| UniProt ID : | P08473 | Matching products |
| Gene ID : | GeneID 4311 | Matching products |
Handling & Safety
| Storage: | -20°C |
| Shipping: | +4°C (International: +4°C) |
Caution
Our products are for laboratory research use only: Not for administration to humans!
Our products are for laboratory research use only: Not for administration to humans!
Information about the product reference will follow.
more
You will get a certificate here
Viewed