Cookie preferences
This website uses cookies, which are necessary for the technical operation of the website and are always set. Other cookies, which increase the comfort when using this website, are used for direct advertising or to facilitate interaction with other websites and social networks, are only set with your consent.
Configuration
Technically required
These cookies are necessary for the basic functions of the shop.
"Allow all cookies" cookie
"Decline all cookies" cookie
CSRF token
Cookie preferences
Currency change
Customer-specific caching
FACT-Finder tracking
Individual prices
Selected shop
Session
Comfort functions
These cookies are used to make the shopping experience even more appealing, for example for the recognition of the visitor.
Note
Show the facebook fanpage in the right blod sidebar
Statistics & Tracking
Affiliate program
Conversion and usertracking via Google Tag Manager
Track device being used
If you have any questions, please use our Contact Form.
You can also order by e-mail: info@biomol.com
Larger quantity required? Request bulk
You can also order by e-mail: info@biomol.com
Larger quantity required? Request bulk
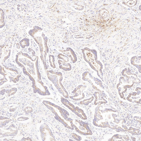
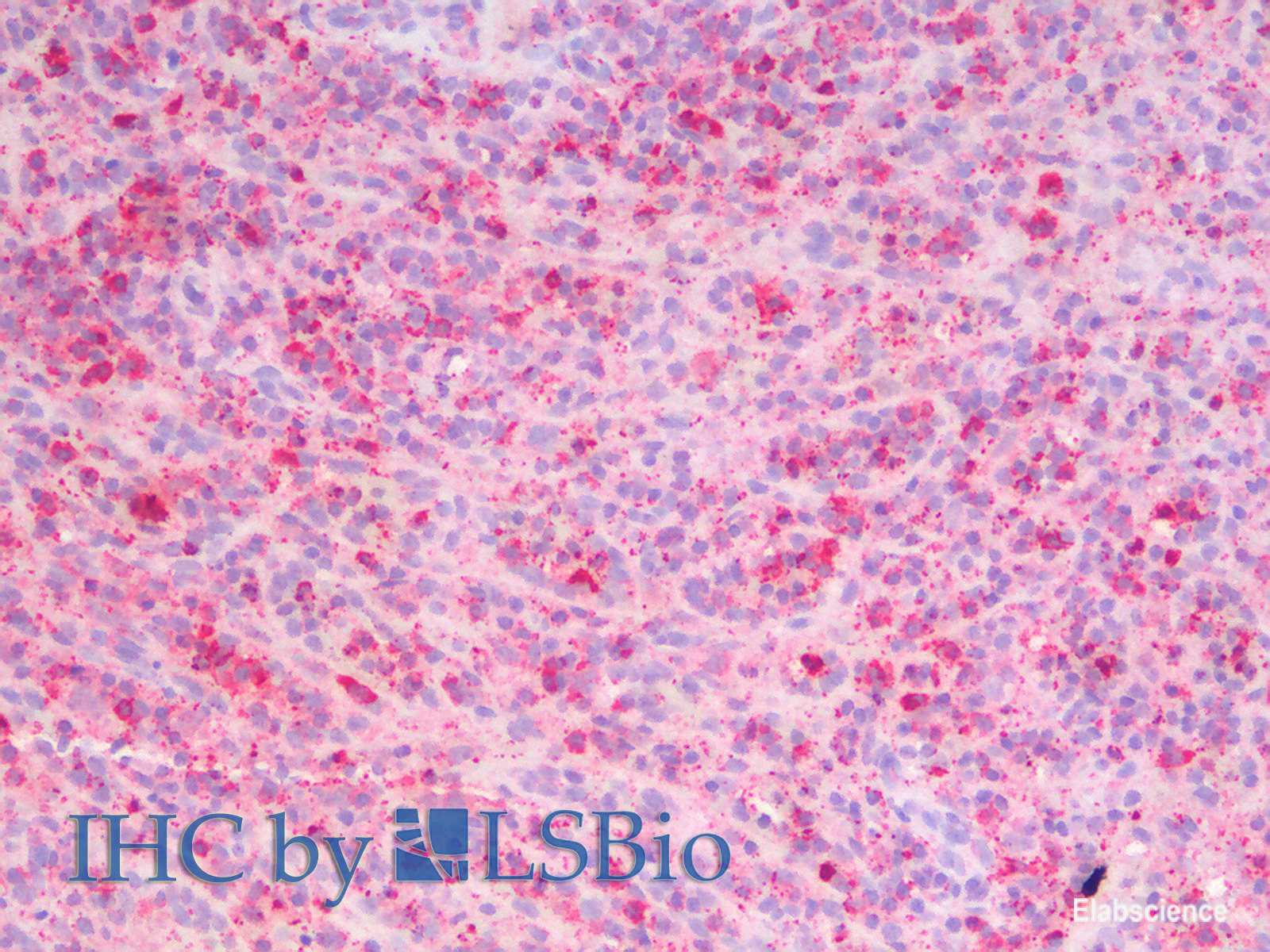
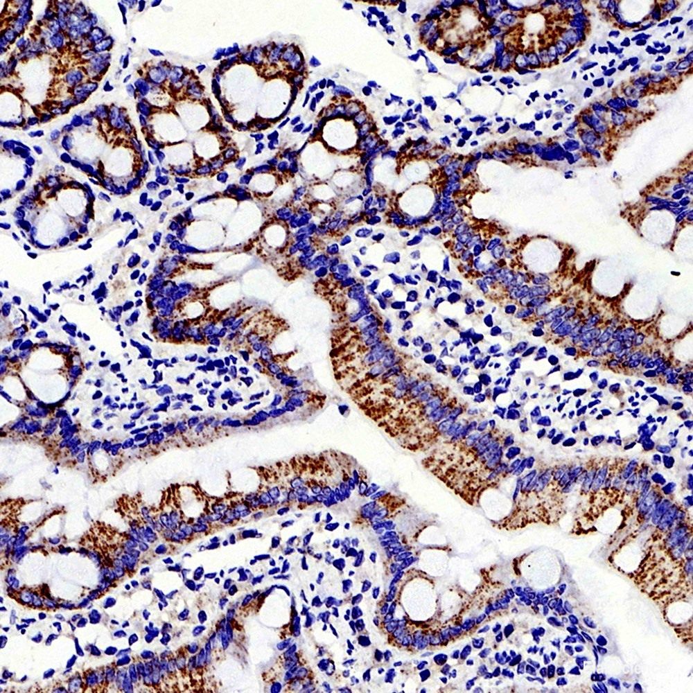
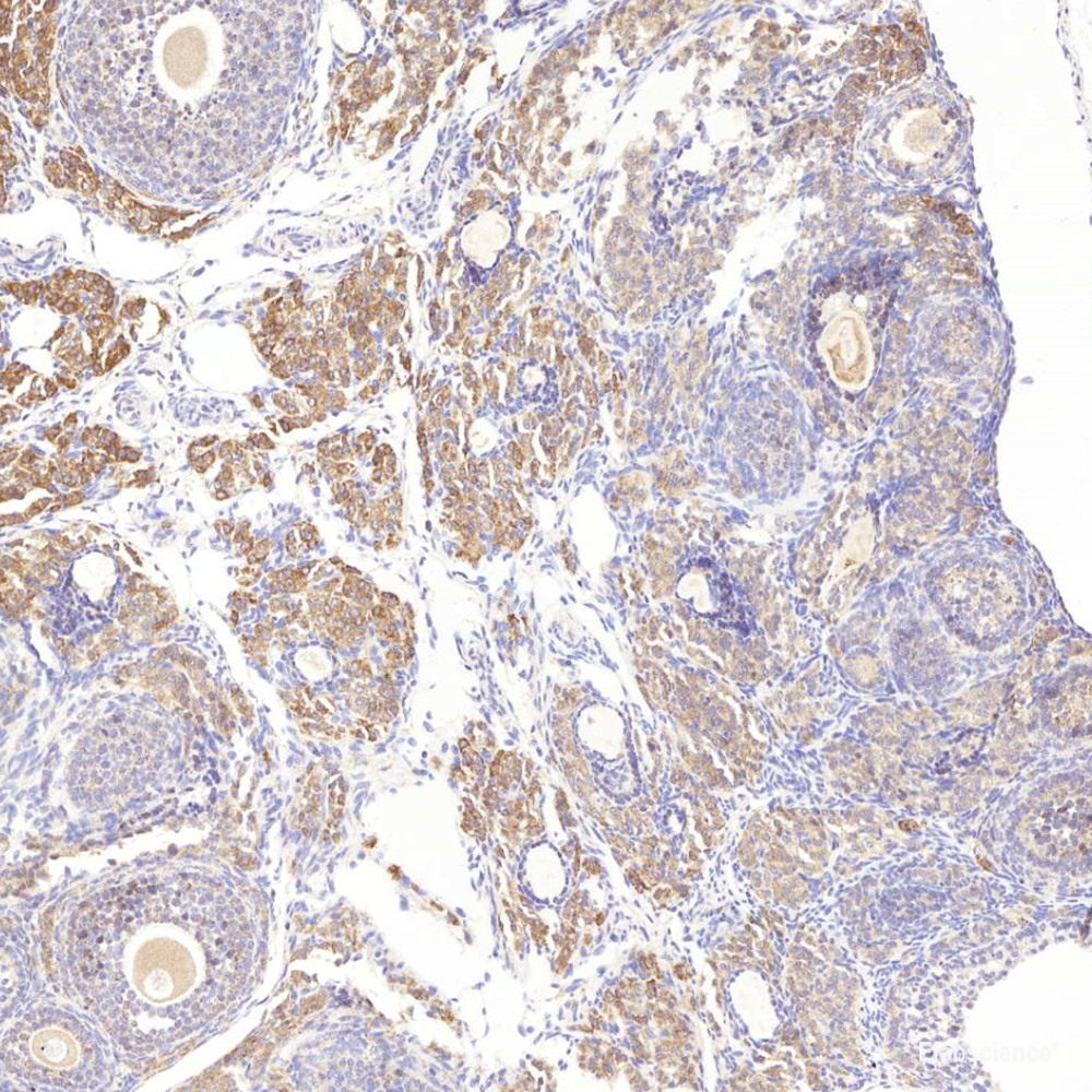
MMP2,also named as CLG4A,Gelatinase Am,TBE-1 and PEX,belongs to the peptidase M10A family. It is... more
Product information "Anti-MMP2"
MMP2,also named as CLG4A,Gelatinase Am,TBE-1 and PEX,belongs to the peptidase M10A family. It is ubiquitinous metalloproteinase that is involved in diverse functions such as remodeling of the vasculature,angiogenesis,tissue repair,tumor invasion,inflammation,and atherosclerotic plaque rupture. MMP2 contributes to myocardial oxidative stress by regulating the activity of GSK3beta. It cleaves GSK3beta in vitro. MMP2 can be cleaved into PEX chain(~60kd).Western blot analysis showed that the 72 kDa and 62 kDa proteinase activities were pro-MMP2 and the active enzyme,respectively. Protein function: Ubiquitinous metalloproteinase that is involved in diverse functions such as remodeling of the vasculature, angiogenesis, tissue repair, tumor invasion, inflammation, and atherosclerotic plaque rupture. As well as degrading extracellular matrix proteins, can also act on several nonmatrix proteins such as big endothelial 1 and beta-type CGRP promoting vasoconstriction. Also cleaves KISS at a Gly-, -Leu bond. Appears to have a role in myocardial cell death pathways. Contributes to myocardial oxidative stress by regulating the activity of GSK3beta. Cleaves GSK3beta in vitro. Involved in the formation of the fibrovascular tissues in association with MMP14. [The UniProt Consortium]
| Keywords: | Anti-MMP2, Anti-CLG4A, EC=3.4.24.24, MMP2 Polyclonal Antibody |
| Supplier: | Elabscience |
| Supplier-Nr: | E-AB-70057 |
Properties
| Application: | IHC |
| Antibody Type: | Polyclonal |
| Conjugate: | No |
| Host: | Rabbit |
| Species reactivity: | human, mouse, rat |
| Immunogen: | KLH conjugated Synthetic peptide corresponding to Mouse MMP2 |
Database Information
| KEGG ID : | K01398 | Matching products |
| UniProt ID : | P08253 | Matching products |
| Gene ID : | GeneID 4313 | Matching products |
Handling & Safety
| Storage: | -20°C |
| Shipping: | 4°C (International: -20°C) |
Caution
Our products are for laboratory research use only: Not for administration to humans!
Our products are for laboratory research use only: Not for administration to humans!
Information about the product reference will follow.
more
You will get a certificate here
Viewed