Cookie preferences
This website uses cookies, which are necessary for the technical operation of the website and are always set. Other cookies, which increase the comfort when using this website, are used for direct advertising or to facilitate interaction with other websites and social networks, are only set with your consent.
Configuration
Technically required
These cookies are necessary for the basic functions of the shop.
"Allow all cookies" cookie
"Decline all cookies" cookie
CSRF token
Cookie preferences
Currency change
Customer-specific caching
FACT-Finder tracking
Individual prices
Selected shop
Session
Comfort functions
These cookies are used to make the shopping experience even more appealing, for example for the recognition of the visitor.
Note
Show the facebook fanpage in the right blod sidebar
Statistics & Tracking
Affiliate program
Conversion and usertracking via Google Tag Manager
Track device being used
| Item number | Size | Datasheet | Manual | SDS | Delivery time | Quantity | Price |
|---|---|---|---|---|---|---|---|
| IHC-00009-T | 10 µl (1 µg) | - |
2 - 8 business days* |
165.00€
|
|||
| IHC-00009 | 100 µl (10 µg) | - |
2 - 8 business days* |
621.00€
|
If you have any questions, please use our Contact Form.
You can also order by e-mail: info@biomol.com
Larger quantity required? Request bulk
You can also order by e-mail: info@biomol.com
Larger quantity required? Request bulk
Protein function: Acts as component of the MCM2-7 complex (MCM complex) which is the putative... more
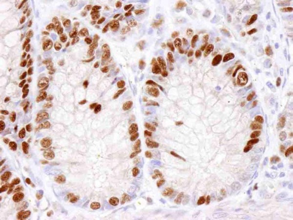
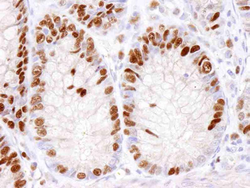
Product information "Anti-MCM2 (IHC)"
Protein function: Acts as component of the MCM2-7 complex (MCM complex) which is the putative replicative helicase essential for 'once per cell cycle' DNA replication initiation and elongation in eukaryotic cells. The active ATPase sites in the MCM2-7 ring are formed through the interaction surfaces of two neighboring subunits such that a critical structure of a conserved arginine finger motif is provided in trans relative to the ATP-binding site of the Walker A box of the adjacent subunit. The six ATPase active sites, however, are likely to contribute differentially to the complex helicase activity. Required for the entry in S phase and for cell division. Plays a role in terminally differentiated hair cells development of the cochlea and induces cells apoptosis. [The UniProt Consortium]
| Keywords: | Anti-BM28, Anti-MCM2, EC=3.6.4.12, Anti-Nuclear protein BM28, Anti-DNA replication licensing factor MCM2, Anti-Minichromosome maintenance protein 2 homolog |
| Supplier: | Bethyl Laboratories |
| Supplier-Nr: | IHC-00009 |
Properties
| Application: | IHC, IHC-IF |
| Antibody Type: | Polyclonal |
| Conjugate: | No |
| Host: | Rabbit |
| Species reactivity: | human, mouse (Expected: orangutan, gorilla, chimpanzee) |
| Immunogen: | synthetic peptide. The epitope recognized by IHC-00009 maps to a region between residue 1 and 50 of human minichromosomal maintenance deficient 2 using the numbering given in entry NP_0045117.2 (GeneID 4171). |
| Format: | Antigen Affinity Purified |
Database Information
| KEGG ID : | K02540 | Matching products |
| UniProt ID : | P49736 | Matching products |
| Gene ID : | GeneID 4171 | Matching products |
Handling & Safety
| Storage: | +4°C |
| Shipping: | +4°C (International: +4°C) |
Caution
Our products are for laboratory research use only: Not for administration to humans!
Our products are for laboratory research use only: Not for administration to humans!
Information about the product reference will follow.
more
You will get a certificate here
Viewed