Cookie preferences
This website uses cookies, which are necessary for the technical operation of the website and are always set. Other cookies, which increase the comfort when using this website, are used for direct advertising or to facilitate interaction with other websites and social networks, are only set with your consent.
Configuration
Technically required
These cookies are necessary for the basic functions of the shop.
"Allow all cookies" cookie
"Decline all cookies" cookie
CSRF token
Cookie preferences
Currency change
Customer-specific caching
FACT-Finder tracking
Individual prices
Selected shop
Session
Comfort functions
These cookies are used to make the shopping experience even more appealing, for example for the recognition of the visitor.
Note
Show the facebook fanpage in the right blod sidebar
Statistics & Tracking
Affiliate program
Conversion and usertracking via Google Tag Manager
Track device being used
| Item number | Size | Datasheet | Manual | SDS | Delivery time | Quantity | Price |
|---|---|---|---|---|---|---|---|
| NSJ-RQ4754 | 100 µl | - | - |
3 - 10 business days* |
790.00€
|
If you have any questions, please use our Contact Form.
You can also order by e-mail: info@biomol.com
Larger quantity required? Request bulk
You can also order by e-mail: info@biomol.com
Larger quantity required? Request bulk
Antibody in PBS with 0.02% sodium azide, 50% glycerol and 0.4-0.5mg/ml BSA. Histone demethylase... more
Product information "Anti-LSD1 / Lysine-Specific Demethylase 1, clone DID-11"
Antibody in PBS with 0.02% sodium azide, 50% glycerol and 0.4-0.5mg/ml BSA. Histone demethylase that demethylates both 'Lys-4' (H3K4me) and 'Lys-9' (H3K9me) of histone H3, thereby acting as a coactivator or a corepressor, depending on the context. [UniProt] Protein function: Histone demethylase that can demethylate both 'Lys-4' (H3K4me) and 'Lys-9' (H3K9me) of histone H3, thereby acting as a coactivator or a corepressor, depending on the context (PubMed:15620353, PubMed:15811342, PubMed:16140033, PubMed:16079794, PubMed:16079795, PubMed:16223729). Acts by oxidizing the substrate by FAD to generate the corresponding imine that is subsequently hydrolyzed (PubMed:15620353, PubMed:15811342, PubMed:16079794, PubMed:21300290). Acts as a corepressor by mediating demethylation of H3K4me, a specific tag for epigenetic transcriptional activation. Demethylates both mono- (H3K4me1) and di-methylated (H3K4me2) H3K4me (PubMed:15620353, PubMed:20389281, PubMed:21300290, PubMed:23721412). May play a role in the repression of neuronal genes. Alone, it is unable to demethylate H3K4me on nucleosomes and requires the presence of RCOR1/CoREST to achieve such activity (PubMed:16140033, PubMed:16079794, PubMed:16885027, PubMed:21300290, PubMed:23721412). Also acts as a coactivator of androgen receptor (AR)-dependent transcription, by being recruited to AR target genes and mediating demethylation of H3K9me, a specific tag for epigenetic transcriptional repression. The presence of PRKCB in AR-containing complexes, which mediates phosphorylation of 'Thr-6' of histone H3 (H3T6ph), a specific tag that prevents demethylation H3K4me, prevents H3K4me demethylase activity of KDM1A (PubMed:16079795). Demethylates di-methylated 'Lys-370' of p53/TP53 which prevents interaction of p53/TP53 with TP53BP1 and represses p53/TP53-mediated transcriptional activation. Demethylates and stabilizes the DNA methylase DNMT1 (PubMed:29691401). Demethylates methylated 'Lys-42' and methylated 'Lys-117' of SOX2 (PubMed:29358331). Required for gastrulation during embryogenesis. Component of a RCOR/GFI/KDM1A/HDAC complex that suppresses, via histone deacetylase (HDAC) recruitment, a number of genes implicated in multilineage blood cell development. Effector of SNAI1-mediated transcription repression of E-cadherin/CDH1, CDN7 and KRT8. Required for the maintenance of the silenced state of the SNAI1 target genes E-cadherin/CDH1 and CDN7 (PubMed:20389281). [The UniProt Consortium]
| Keywords: | Anti-AOF2, Anti-BRAF35-HDAC complex protein BHC110, Anti-Lysine-specific histone demethylase 1A, Anti-Flavin-containing amine oxidase domain-containing protein 2, Anti-[histone H3]-dimethyl-L-lysine(4) FAD-dependent demethylase 1A, LSD1 Antibody / Lysine- |
| Supplier: | NSJ Bioreagents |
| Supplier-Nr: | RQ4754 |
Properties
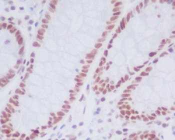
| Application: | IHC (paraffin), WB |
| Antibody Type: | Monoclonal |
| Clone: | DID-11 |
| Conjugate: | No |
| Host: | Rabbit |
| Species reactivity: | human |
| Immunogen: | A synthetic peptide specific to human Lysine-specific histone demethylase 1A |
| Format: | Purified |
Database Information
| KEGG ID : | K11450 | Matching products |
| UniProt ID : | O60341 | Matching products |
| Gene ID : | GeneID 23028 | Matching products |
Handling & Safety
| Storage: | -20°C |
| Shipping: | -20°C (International: -20°C) |
Caution
Our products are for laboratory research use only: Not for administration to humans!
Our products are for laboratory research use only: Not for administration to humans!
Information about the product reference will follow.
more
You will get a certificate here
Viewed