Anti-LDHC

Item number Size Datasheet Manual SDS Delivery time Quantity Price
ATA-HPA045442.25 25 µl -

7 - 10 business days*

246.00€
ATA-HPA045442.100 100 µl -

7 - 10 business days*

491.00€
 
Protein function: Possible role in sperm motility. [The UniProt Consortium] Buffer: 40% glycerol... more
Product information "Anti-LDHC"
Protein function: Possible role in sperm motility. [The UniProt Consortium] Buffer: 40% glycerol and PBS (pH 7.2). 0.02% sodium azide is added as preservative. Highest antigen sequence identity to mouse: 66% and to rat: 66%
Keywords: Anti-CT32, Anti-LDH3, Anti-LDHC, Anti-LDH-C, Anti-LDH-X, EC=1.1.1.27, Anti-LDH testis subunit, Anti-Cancer/testis antigen 32, Anti-L-lactate dehydrogenase C chain
Supplier: Atlas Antibodies
Supplier-Nr: HPA045442

Properties

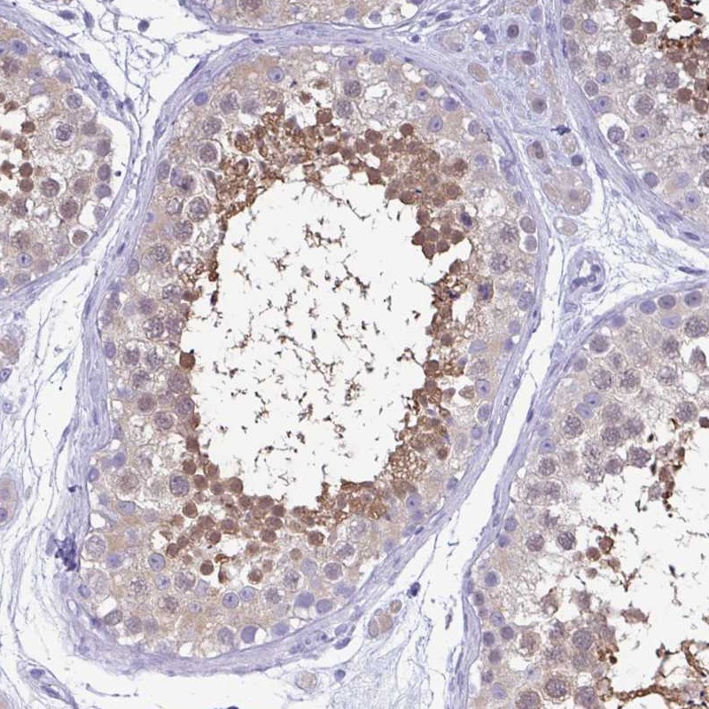
Application: IHC
Antibody Type: Polyclonal
Conjugate: No
Host: Rabbit
Species reactivity: human
Immunogen: Recombinant Protein Epitope Signature Tag (PrEST) antigen sequence: MSTVKEQLIE KLIEDDENSQ CKITIVGTGA VG (ATA-APrEST83254)

Database Information

KEGG ID : K00016 | Matching products
UniProt ID : P07864 | Matching products
Gene ID : GeneID 3948 | Matching products
Protein Atlas Nr. : ENSG00000166796

Handling & Safety

Storage: -20°C
Shipping: +20°C (International: +20°C)
Caution
Our products are for laboratory research use only: Not for administration to humans!
You will get a certificate here
or to request a certificate of analysis.
Read, write and discuss reviews... more
Customer review for "Anti-LDHC"
Write a review
or to review a product.
Viewed